MIOSITIS OSIFICANTE.
La miositis osificante es un término mal usado, porque no existen cambios inflamatorios en el músculo. (6).
Es una alteración de etiología desconocida, que puede aparecer después del trauma, quemadura o inmovilización. (2).
Su diagnóstico es difícil cuando no hay un claro antecedente y puede ser confundido radiológica o patológicamente con un sarcoma. (3).
Aparece principalmente en el músculo cuadriceps y en pacientes jóvenes. (3).
Clínicamente hay dolor en la zona afectada y limitación funcional (2), con un aumento rápido en el tamaño de la lesión, lo que puede ayudar a diferenciarla de un sarcoma. (3).
Hay una fase precalcificación, donde se encuentra una masa de consistencia sólida y muy vascularizada en la periferia y la zona central con la ecografía doppler, lo que permite diferenciarla de un absceso. (3).
En fases tardías se aprecia lesión heterogénea o hipoecoica, con zonas hiperecoicas periféricas que corresponden a calcificación, las cuales son detectadas antes que la radiología simple. (3).
En la lesión madura las calcificaciones producen una sombra acústica, paralela al eje del hueso. (3)
Las calcificaciones aparecen entre las 6 y 8 semanas después de la lesión inicial (6) y se pueden identificar en Rx o TAC como imágenes densas, rodeadas por un halo radiolúcido y paralelas al eje del hueso (2, 3). (Fig 30).
La apariencia con la RM, depende del tiempo de evolución. En las fases iniciales es similar a otra lesión muscular y en las tardías existe edema muscular, rodeando las imágenes hipointensas, que corresponden a calcio o fibrosis densa. (2). (Fig 31 y 32).

Fig 30. Miositis osificante.
A: Rx AP y B: TAC axial. 2 casos diferentes donde existe calcificación de tejidos blandos en relación con los grupos musculares, por miositis osificante.

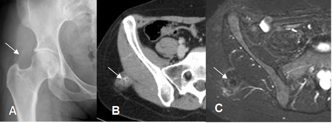
Fig 31. Miositis osificante.
A: Rx AP. Incipiente calcificación en sentido oblicuo, sobre la región glútea derecha.
B: TAC axial y C: RM axial en STIR. Prominencia de tejidos blandos en relación con el músculo glúteo. Hay área densa en el TAC e hipointensa en la RM, que corresponde a calcificación, por miositis osificante.

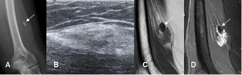
Fig 32. Miositis osificante.
A: Rx de brazo. Calcificación de tejidos blandos, en la parte lateral.
B: Ecografía longitudinal. Imagen ovalada, ecogénica y de tejidos blandos, dentro de las fibras musculares.
C: RM coronal en T1 y D: RM coronal en STIR. Imagen ovalada dentro del músculo vasto externo, hipointensa en T1 e hiperintensa en STIR, con calcificación gruesa hacia la parte superior (Flecha delgada), compatible con miositis osificante.
| Fecha de creación | Marzo 1 de 2011 |
| Fecha de actualización | Enero 18, 2014 |