LACERACION MUSCULAR.
Son producidas por un trauma penetrante, que rompe las fibras musculares.
Por imágenes se encuentra el defecto muscular o del tendón, rodeado por edema y sangre. (2). (Fig 6, 7 y 8).
La parte distal queda poco inervada, observándose atrofia e infiltración grasa, en las fases crónicas.

Fig 6. Laceración.
A: RM sagital en T1, B: RM sagital en T2 y C: RM sagital en STIR. Herida cortante en el dorso del 3º dedo, con solución de continuidad en el tendón extensor, por ruptura no retraída. Adicionalmente hay contusión en el tercio medio del metacarpiano. (Flecha gruesa).

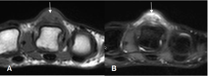
Fig 7. Laceración.
A: RM axial en T1 y B: RM axial en STIR. Igual paciente anterior. Cambios inflamatorios, con ausencia del tendón extensor, por ruptura completa.

Fig 8. Retracción muscular.
A: Rx lateral. Fractura marginal de la tibia, secundaria a lesión por objeto cortopunzante.
B: RM axial en T1 y C: RM sagital en T2. Tendón del tibial anterior engrosado y retraído, por ruptura completa.
| Fecha de creación | Marzo 1 de 2011 |
| Fecha de actualización | Octubre 17, 2011 |