DOMS. (Delayed Onset Muscle Soreness).
Corresponde al dolor muscular tardío o mialgia diferida (Agujetas).
Se presenta en personas sanas, luego de realizar una actividad física fuerte. (2).
Es ocasionado por un daño estructural y reversible de las fibras musculares, con aumento del líquido intracelular, inflamación y daño del tejido conectivo. (2).
Los síntomas aparecen sobre las uniones musculotendinosas, después de 1 a 2 días de haber realizado el ejercicio, con un máximo al 2º o 3º día y persiste por 1 semana. (2).
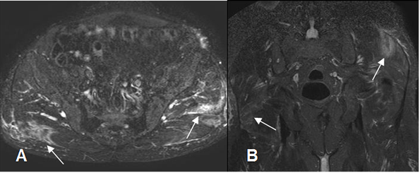
Los cambios radiológicos con ecografía y RM, son semejantes a los de las lesiones por estiramiento grado 1. (2, 5) y pueden permanecer hasta por 80 días. (Fig 26 A y B).
En casos muy severos puede producirse necrosis muscular. (2).

Fig 26 A. DOMS.
A: TAC axial, B: TAC reconstrucción coronal y C: RM coronal en STIR. Engrosamiento y pérdida de los planos grasos, en los grupos musculares del muslo, después de un esfuerzo exigente. En La RM se identifica hiperintensidad de las fibras musuculares del recto anterior y vasto interno, por DOMS.

Fig 26 B. DOMS.
A: RM axial y B: RM coronal en STIR. Edema muscular en el glúteo mayor derecho y glúteo mediano izquierdo secundario a DOMS, luego de una practica deportiva extrema.
| Fecha de creación | Marzo 1 de 2011 |
| Fecha de actualización | Julio 14, 2016 |