CONTUSION MUSCULAR.
Son ocasionadas por un trauma directo. Se produce edema muscular, sangrado intersticial y ruptura de fibras en un grado variable. (2).
Clínicamente hay limitación funcional y palpación de masa, con el antecedente de trauma. (3).
El principal papel de la radiología en estos casos, es descartar la ruptura muscular. (3). En lesiones mas severas, puede existir la formación de un hematoma. (6).
El aspecto ecográfico varía dependiendo del tamaño y tiempo de evolución.
En las primeras 24 horas la inflamación altera el patrón fibrilar normal. En caso de hematoma, este puede ser hipo, hiper o anecoico. Luego de 2 a 3 días es hipo o anecoico. (3). (Fig 9, 10 y 11).

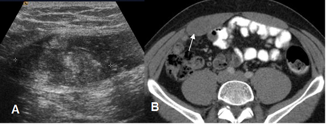
Fig 9. Hematoma muscular.
A: Ecografía. Lesión heterogénea localizada en el músculo recto anterior del abdomen, que corresponde a hematoma.
B: TAC axial. Engrosamiento muscular, con hematoma isodenso.

Fig 10. Hematoma muscular.
A: Rx lateral. Prominencia en los tejidos blandos de la región posterior.
B: Ecografía axial. Colección líquida y heterogénea dentro del músculo gemelo, por hematoma.

Fig 11. Hematoma muscular.
A: TAC axial y B: TAC reconstrucción coronal. Engrosamiento del músculo vasto interno, con formación de colección, que corresponde a hematoma.
En la RM se aprecia edema por la hemorragia y la inflamación. (6). (Fig 12).
Los hematomas pueden ser intra o intermusculares. Los intermusculares son mas frecuentes y secuela de estiramiento. (2). Se aprecian como zonas redondeadas y con señal que depende del tiempo de evolución. Los agudos son iso o hipointensos al músculo en T1 e iso o hiperintenso en T2. (2). (Fig 13).
Puede encontrarse nivel liquido/liquido, por la presencia de sangrado en diferentes estadios. (2). (Fig 22).
Los subagudos son hiperintensos en T1 y T2 por la deoxiehmoglobina y en los casos crónicos hipointensos en ambas secuencias, secundarios a la fibrosis y presencia de hemosiderina. (2). (Fig 14 A).

Fig 12. Contusión muscular.
A: Rx AP. Aumento inespecífico en la densidad de los tejidos blandos.
B: RM axial en T1 y B: RM coronal en STIR. Alteración en la señal del músculo vasto externo, por contusión, siendo hipointenso en T1 e hiperintenso en STIR.

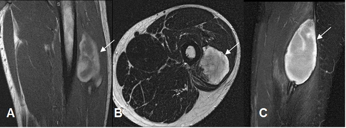
Fig 13. Hematoma muscular agudo.
A: RM coronal en T1. Colección hipointensa sobre los aductores, que corresponde a hematoma agudo.
B: RM coronal en T2 y C: RM coronal en STIR. Colección hiperintensa en ambas secuencias.
D: AngioRM coronal. Hematoma que produce efecto de masa y desplaza los vasos femorales.

Fig 14 A. Hematoma muscular subagudo.
A: RM coronal en T1. Colección heterogénea, con áreas hiperintensas por evolución subaguda, en el músculo vasto externo.
B: RM axial en T2 y C: RM sagital en STIR. Colección intramuscular, definida e hiperintensa.
Se deben distinguir los hematomas de otras masas como los abscesos y los tumores. (Sarcomas). (2).
Algunos hematomas muy grandes se organizan y forma cicatriz después de bastante tiempo. (3). (Fig 14 B).
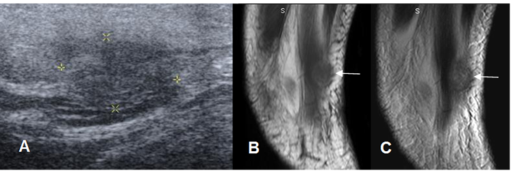
Fig 14 B. Hematoma muscular organizado.
A: Ecografía: Imagen ovalada, hipoecoica y mal definida.
B: RM sagital en T1 y C: RM sagital en T2. La lesión es hipointensa en ambas secuencias y aparición en el lugar de un trauma previo, correspondiendo a fibrosis.
| Fecha de creación | Marzo 1 de 2011 |
| Fecha de actualización | Enero 26, 2012 |