AVULSION MUSCULAR.
Las avulsiones corresponden al desplazamiento de los núcleos de crecimiento no fusionados, sobre los sitios de inserción tendinosa. (7).
Ocurren en personas jóvenes, después de una contracción muscular violenta. (7).
En los adultos como ya se han cerrado los núcleos de crecimiento, en vez de avulsión, se produce lesión de la unión musculotendinosa. (7).
El sitio mas frecuente es la tuberosidad isquiática, donde se originan los tendones de hamstring. (8).
Como las avulsiones son muy frecuentes en los músculos que se originan en la pelvis, en el capítulo dedicado a la cadera, se revisan mas extensamente estas lesiones.
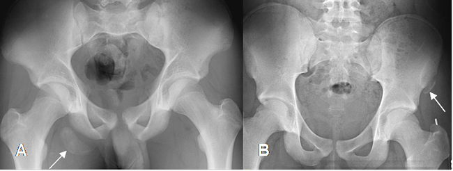
Con la Rx simple se puede detectar una avulsión, que puede estar desplazada o no. (Fig 27 y 28). (7).
Los casos dudosos se pueden complementar con TAC o RM.
En algunos pacientes con lesiones crónicas, se pueden calcificar, debiendo diferenciarlas de procesos neoplásicos. (7).

Fig 27. Avulsión.
A: Rx AP. Avulsión de la tuberosidad isquiática derecha.
B: Rx AP. Avulsión de la espina iliaca anterior superior izquierda.

Fig 28. Avulsión.
A: RM coronal en T1 y B: RM coronal en STIR. Cambios inflamatorios sobre la tuberosidad isquiática izquierda por avulsión. Hay retracción en el origen de los isquiotibiales.
| Fecha de creación | Marzo 1 de 2011 |
| Fecha de actualización | Octubre 17, 2011 |