VALORACION RADIOLOGICA:
Como en todas las patologías, se pueden valorar las infecciones con radiografía (Rx) simple, ecografía, tomografía axial computarizada (TAC) y resonancia magnética
(RM).
Iniciar el estudio con Rx simple. Con esta modalidad se puede valorar el espacio articular, el grado de destrucción ósea o reacción perióstica, lesiones traumáticas, calcificaciones anormales, etc.
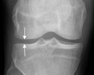
El cartílago y la cavidad articular son radiotransparentes y forman el espacio articular radiológico. (Fig 3).
El derrame articular y laxitud ligamentaria, producen distensión de la cápsula y aumento del espacio. Por el contrario el daño del cartílago, ocasiona disminución del espacio. (3).

Fig 3. Espacio articular normal.
Rx AP. Espacio articular, entre las estructuras óseas.
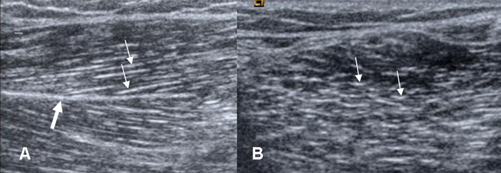
En la ecografía se identifica el tejido celular subcutáneo, compuesto por tejido adiposo hipoecoico. Por debajo se ubican las fibras musculares, con el epimisio y perimisio. (Ver valoración radiológica de las lesiones musculares). (Fig 4 y 5).
Esta modalidad permite identificar colección de tejidos blandos y presencia de derrame articular. Igualmente sirve de guía para el drenaje percutáneo de colecciones, realizar punciones articulares o toma de muestra para estudio bacteriológico.

Fig 4. Tejido celular subcutáneo normal.
Ecografía. Tejido celular subcutáneo hipoecoico. (Flechas delgadas). Está separado del músculo por la fascia, que se aprecia como imagen lineal e hipercoica. (Flecha gruesa).

Fig 5. Músculo normal.
A: Ecografía corte longitudinal y B: corte transversal. Arquitectura normal, con perimisio ecogénico (Flechas delgadas). También se identifica un septo intramuscular ecogénico (Flecha gruesa).
La TAC no es un estudio de primera línea. Es útil en algunos casos, para valorar el grado de destrucción cortical o reacción perióstica. (3).
Es la modalidad de elección para el diagnóstico del secuestro óseo y detectar cuerpos extraños asociados. (4, 5). (Fig 6).
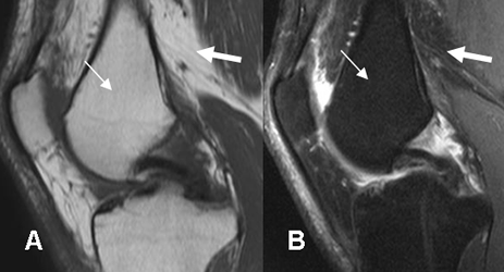
La RM es la técnica de elección para valorar el cartílago articular. Igualmente es un excelente método, para el estudio de la medula ósea, los tejidos blandos y las alteraciones sinoviales. (3).
La señal de intensidad (SI) de la medula depende del contenido de agua y grasa, la presencia de trabéculas óseas y la utilización de contraste. (6) El componente graso es el principal responsable de la señal de la medula, en las secuencias de T1 y T2. (7).
La secuencia T1 es la más comúnmente utilizada, para la valoración de las alteraciones de la medula ósea y la combinación con STIR, aumenta la sensibilidad. (8).
En la secuencia T1 la SI de la MO amarilla es hiperintensa, similar a la grasa subcutánea y la de la roja es intermedia, menor que la de la grasa, pero mayor que la del músculo. (6). En STIR la SI de la medula amarilla es similar a la grasa subcutánea y cualquier lesión es hiperintensa. (6). (Fig 7).
La medula roja tiene una señal intermedia en T1 y T2. (Fig 8).

Fig 6. Cartílago articular normal.
RM T1 sagital. Cartílago normal, cubriendo el cóndilo femoral.

Fig 7. Medula ósea en adulto normal
A: RM sagital en T1 y B: RM sagital en STIR. La señal de la medula osea amarilla (Flecha delgada), es similar a la de la grasa (Flecha gruesa).

Fig 8. Medula ósea roja normal en adulto.
A: RM sagital en T1 y B: RM sagital en T2. Medula con señal intermedia en ambas secuencias.
La SI del músculo normal es un poco mas hiperintensa que el agua e hipointensa en relación a la grasa en T1 e hipointensa al agua y la grasa en T2. (9). En STIR la SI es hipointensa en relación con el agua y la grasa. (10). (Fig 9).

Fig 9. Señal normal del músculo.
A: RM coronal en T1. Músculo algo hiperintenso en relación al agua e hipointenso, con la grasa.
B: RM coronal en T2. Músculo hipointenso en relación con el agua y la grasa.
C: RM coronal en STIR. Músculo hipointenso en relación al agua y la grasa.
| Fecha de creación | Marzo 1 de 2011 |
| Fecha de actualización | Enero 13, 2014 |