PIE DIABETICO.
En los pacientes diabéticos por múltiples factores vasculares y neuropáticos, existe una isquemia crónica y alteración en la sensibilidad, que facilitan la infección.
Estos factores se suman a la deformidad, que predisponen a la formación de callos y ulceras, que se pueden sobreinfectar. (23).
Las infecciones son polimicrobianas, de difícil manejo y generalmente terminan con la amputación.
La RM ha mostrado alta sensibilidad para la detección y estadiaje de infecciones en este tipo de pacientes, incluyendo la celulitis, los abscesos y la osteomielitis. (24). (Fig 61 a 64).
Los callos se forman en los sitios de presión como la base del 1º y 5º metatarsianos, la falange distal del hallux y el calcáneo. Se identifican como lesiones hipointensas o de señal intermedia en T1 y T2, hiperintensas en STIR y realzan con el contraste. Cuando se ulcera, se pierde la continuidad de la piel y el tejido subcutáneo. (14, 23).

Fig 61. Pie diabético. Celulitis.
A: RM coronal en T1 y B: RM coronal en STIR. Edema de tejidos blandos en el dorso del pie, por celulitis. No hay compromiso óseo.

Fig 62. Pie diabético. Absceso.
A: RM coronal en T1 y B: RM coronal en STIR. Cambios inflamatorios en la parte posterior del 2º metatarsiano, con formación de pequeño absceso.

Fig 63. Pie diabético. Osteomielitis.
A: RM coronal en T1 y B: RM coronal en STIR. Osteomielitis del 4º metatarsiano hipointenso en T1 e hiperintenso en STIR (Punta de flecha), con cambios inflamatorios en los tejidos blandos. (Flechas delgadas). También hay cambios inflamatorios en el dorso del pie y sobre el 1º dedo. (Flechas gruesas).

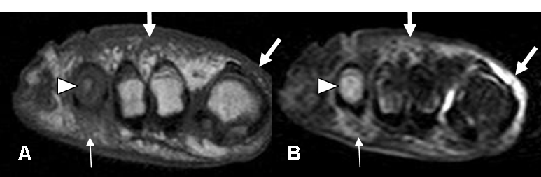
Fig 64. Pie diabético. Osteomielitis.
A: RM axial en T1 y B: RM axial en STIR. Osteomielitis del metatarsiano y la falange proximal del 5º dedo, los cuales son hipointensos en T1 e hiperintensos en STIR (Flechas delgadas). Importantes cambios inflamatorios en los tejidos blandos del mediopié, sin colecciones.
Es común encontrar edema de tejidos blandos de los diabéticos, pero eso no implica inflamación asociada. También se puede encontrar edema muscular por isquemia o atrofia, los cuales son hiperintensos en T2.
Ante la sospecha de celulitis, hipointensa en T1 e hiperintensa en T2, se debe administrar contraste. La celulitis realza y el edema no. (23).
La utilización de contaste en los diabéticos es de mucha importancia, porque sirve para reconocer el tejido desvitalizado y hacer la planificación quirúrgica. (23).
La osteomielitis del pie, produce cambios radiológicos similares a los descritos anteriormente.
La presencia de tractos fistulosos por donde drena material purulento, se asocia a osteomielitis o artritis séptica. Se identifican como imágenes lineales con señal de agua y cuyos bordes realzan con el contraste. Este hallazgo es el principal signo para diferencias la artropatía neuropática, de la osteomielitis. (14, 23). (Fig 65 y 66).

Fig 65. Osteomielitis del calcáneo.
A: TAC axial en ventana de tejido y B: en ventana de hueso. Cambios inflamatorios en los tejidos blandos (Flecha delgada), con orificio de fístula medial. (Flecha gruesa).
C: TAC reconstrucción coronal. Erosión del calcáneo, por osteomielitis. (Punta de flecha).

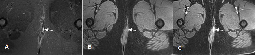
Fig 66. Fístula.
A: RM axial en STIR. Fístula perianal izquierda.
B: Thriveax T1 simple y C: Thriveax T1 con contraste. El trayecto fistuloso realza con el contraste.
| Fecha de creación | Marzo 1 de 2011 |
| Fecha de actualización | Octubre 16, 2011 |