OSTEOMIELITIS POST-TRAUMATICA.
El retardo o no unión de una fractura, puede ser secundaria a una infección. (16).
En las fijaciones la infección se descubre por la aparición de zona lítica y mal definida, rodeando el material de osteosíntesis. Debe diferenciarse del aflojamiento del material, el cual presenta bordes irregulares y escleróticos. (16). (Fig 47A y 47B).
En la RM la fibrosis reparativa de la osteosíntesis en una fractura y el realce del contraste, pueden persistir hasta 12 meses. (16).

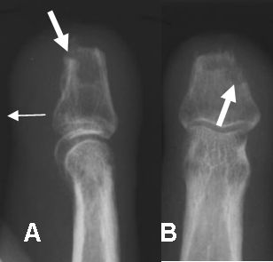
Fig 47 A. Osteomielitis PostQx.
A: Rx lateral y B: Rx AP. Amputación traumática de la falange media en el 3 dedo. Por persistencia del dolor se toma Rx encontrando gran edema de tejidos blandos (Flechas delgadas), irregularidad de los bordes óseos y área de osteolisis, por osteomielitis. (Flecha gruesa).

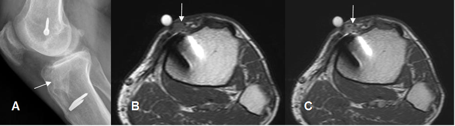
Fig 47 B. Osteomielitis asociada a Qx.
A: Rx lateral. PostQx por reconstrucción del LCA. Hay supuración intermitente en relación con el material de fijación y aumento de la densidad de la tibia, por osteomielitis crónica.
B: RM axial en T1 simple y C: RM axial en T1 con contraste. Marca en el orificio de supuración, encontrando cambios inflamatorios en los tejidos blandos que realzan con el contraste, en relación con la grapa metálica.
| Fecha de creación | Marzo 1 de 2011 |
| Fecha de actualización | Octubre 16, 2011 |