OSTEOMIELITIS TUBERCULOSA (TBC).
La TBC ha incrementado su prevalencia mundia, por el aumento de pacientes inmunodeprimidos y la resistencia a los antibióticos. (2, 18).
La infección generalmente ataca el sistema respiratorio, pero puede comprometer cualquier órgano del cuerpo y de allí se disemina por vía hematógena. (18)
El diagnóstico es difícil y pueden pasar hasta 18 meses, entre la aparición de los síntomas y su confirmación. Solo hay antecedente de exposición o compromiso pulmonar, en la mitad de los casos. (18).
Compromete principalmente la columna dorsolumbar, pelvis, cadera y rodilla. (18).
En los adultos generalmente presenta afectación articular y los niños, lesiona la metafisis de los huesos.
La osteomielitis sin artritis es muy rara. (18).
En los huesos largos la infección empieza en la metáfisis y se extienden a la epífisis. Es característica la ausencia de reacción perióstica. (2). Produce osteopenia y lesiones líticas mal definidas.
Las lesiones expansivas de los huesos cortos en las manos y los pies, son conocidas como espina ventosa. (18).
En la artritis TBC encontramos similares hallazgos, a los causados por otra artritis infecciosa. (18).
La espondilodisquitis por TBC tiene predominio por la columna dorsolumbar. (2, 19).
Causa destrucción de la esquina vertebral anterior, disminución del espacio intervertebral por compromiso del disco, masa de tejidos blandos y formación de abscesos. (2, 18). (Fig 48, 49 y 50).
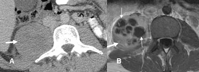
La pared de los abscesos pueden calcificar, siendo un hallazgo típico de etiología TBC y es frecuente el compromiso del músculo psoas. (18). (Fig 51).
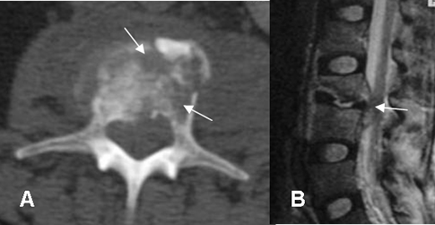
El compromiso de los elementos posteriores es raro, pero específico de osteomielitis TBC y afecta varios niveles. (2, 19). (Fig 52 A).
También es frecuente el colapso y la aparición de cifosis. Posteriormente hay anquilosis y pérdida del espacio intervertebral. (18). (Fig 52 B).

Fig 48. Osteomielitis TBC.
A: B: y C: Rx lateral. Progresión de osteomielitis. Inicialmente no se encuentran alteraciones. Después pérdida de altura en el cuerpo y disminución de la densidad. Finalmente secuelas, con un cuerpo denso y aplanado.

Fig 49. Osteomielitis TBC.
A: TAC axial. Igual paciente anterior. Lesiones líticas en el cuerpo de L3.
B: RM sagital en T2. Pérdida de altura en el cuerpo vertebral, de predominio en la parte anterior y colección epidural asociada, que comprime el saco dural.

Fig 50. Osteomielitis TBC.
A: TAC axial y B: RM sagital en T1 con contraste. Pérdida de altura y lesión osteolítica en la parte anterior del cuerpo vertebral, que realza con el contraste por osteomielitis. Prominencia de los tejidos blandos para espinales, por extensión de la infección. (Flecha gruesa).

Fig 51. Osteomielitis TBC.
A: TAC axial y B: RM sagital en T1 con contraste. Igual paciente anterior. Engrosamiento en el músculo psoas derecho por absceso, como complicación de la osteomielitis. En la RM hay colecciones líquidas, que no realzan con el contraste. (Flechas delgadas).

Fig 52 A. Osteomielitis TBC.
A: RM coronal en T1 y B: RM sagital en T1 con contraste. Infección tuberculosa, con compromiso de 3 cuerpos vertebrales. Hay masa de tejidos blandos, con comprime el saco dural.

Fig 52 B. Osteomielitis TBC.
A: Rx AP y B: RM sagital en T2. Osteomielitis con pérdida de altura en el cuerpo de D11 (Flecha delgada) y masa de tejidos blandos paraespinal. (Flecha gruesa). En la RM se aprecia adicionalmente formación de cifosis.
| Fecha de creación | Marzo 1 de 2011 |
| Fecha de actualización | Agosto 19, 2012 |