OSTEOMIELITIS SUBAGUDA.
La progresión de la infección aguda, ocasiona en el hueso una lesión intraosea conocida como absceso de brodie.
Se caracteriza por ser una imagen lítica generalmente metafisiaria, redondeada y de bordes bien definidos y escleróticos. (4, 5). (Fig 38).
En RM se encuentra como lesión bien definida, hipointensa en T1 e hiperintensa en T2, rodeada por hueso esclerótico hipointenso, que realza con el contraste. (4, 5). (Fig 39).
La imagen de tunelización, es específica de absceso de brodie. (4).

Fig 38. Osteomielitis subaguda.
A: Rx AP y B: Rx lateral. Defecto óseo en la diáfisis tibial, por absceso de brodie.

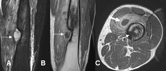
Fig 39. Osteomielitis subaguda.
A: RM coronal en STIR y B: RM coronal en T1 con contraste. Defecto óseo en la tibia ocupado por colección líquida, cuyos bordes realzan con el contraste y corresponde a absceso de brodie.
C: RM axial en T1 con contraste. Adicional al absceso de brodie (Flecha delgada), se encuentra colección de tejidos blandos. (Flecha gruesa).
| Fecha de creación | Marzo 1 de 2011 |
| Fecha de actualización | Septiembre 21, 2011 |