OSTEOMIELITIS AGUDA.
La Rx no tiene utilidad en esta fase, porque los cambios aparecen entre 2 y 3 semanas, después de la infección. La RM es la modalidad de elección en este periodo. (2, 4, 5, 13).
Los primeros hallazgos son cambios inflamatorios en los tejidos blandos profundos, que oblitera los planos grasos, aunque es un hallazgo inespecífico. (5, 15).
Posteriormente hay pérdida en la nitidez de la cortical de la metáfisis y osteolisis, que solo se detecta cuando hay destrucción entre el 30 y 50% de la esponjosa. (4, 16). (Fig 27 A, 27 B y 28).
La elevación e irritación del periostio, produce formación de una nueva capa de hueso conocida como involucro. Generalmente aparece después de 3 semanas de una infección no tratada. (4). (Fig 29).

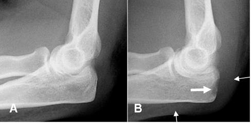
Fig 27 A. Osteomielitis.
A y B: Rx lateral. Inicialmente no se encuentran alteraciones. Después hay prominencia de los tejidos blandos, con obliteración de los planos grasos. (Flechas delgadas) y área de osteolisis en la parte posterior del olécranon, por osteomielitis. (Flecha gruesa).

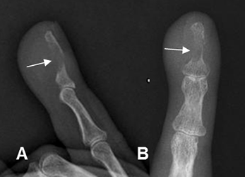
Fig 27 B. Osteomielitis.
A: Rx lateral y B: Rx AP: Prominencia de los tejidos blandos y lesión lítica en la falange distal, por osteomielitis.

Fig 28. Osteomielitis.
A y B: Rx simple. Prominencia de tejidos blandos, irregularidad en la cortical del húmero y alteración en la densidad del hueso, por osteomielitis.
El valor de la ecografía en la osteomielitis es limitado. Permite detectar colecciones o líquido articular asociado. En los casos de involucro, se aprecia una capa hipoecoica que levanta el periostio. (5).
La gamagrafía con tegnesio en 3 fases, galio o leucocitos marcados, permiten detectar la infección desde las primeras horas.
Pueden darse falsos positivos por fracturas, artropatía neuropática, cambios degenerativos o cualquier entidad que produzca neoformación ósea. (Tumores) (3, 4, 13, 17).
El galio es el trazador de elección, ya que se une a las proteínas plasmáticas (transferrina) y se deposita en los sitios de infección, por captación directa de los leucocitos y las bacterias, la hiperemia y el aumento de la permeabilidad vascular. (3). De la misma forma, este trazador sirve como método de seguimiento de la terapia. Con la mejoría, disminuye su depósito en un sitio de infección conocido. (3).
Los leucocitos marcados con Indio, no se depositan en las áreas con aumento del recambio óseo. Es un trazador sensible y específico para la valoración de infecciones secundarias a fracturas o cirugía. (3).

Fig 29. Osteomielitis aguda.
A: Rx AP y B: Rx lateral. Aumento de la densidad en los tejidos blandos del fémur distal, por edema de tejidos blandos. No se detectan alteraciones óseas.
C: Gamagrafía. Depósito anormal del trazador en el fémur distal, por osteomielitis aguda.
D: Rx AP. Después de 20 días de evolución se aprecia reacción perióstica, que corresponde a involucro.
En la TAC se encuentra edema de tejidos blandos, reacción perióstica, disminución de la atenuación medular, áreas de erosión cortical y masa de tejidos blandos, que deben ser diferenciadas de tumores y fracturas. (2, 4). (Fig 30, 30 A, 30 B, 30 C, 31 A y 31 B).
Es útil cuando la Rx es normal, hay mucha sospecha clínica y no se dispone de otras modalidades mas sensibles. (5).
La presencia de niveles extramedulares grasa/líquido son raros, pero específicos de osteomielitis. (2).
La TAC es superior a la RM para determinar la erosión cortical y la presencia de gas e ideal para la detección del secuestro óseo y los cuerpos extraños asociados. (4, 5, 16). (Fig 32 y 33).
También es muy utilizada como guía de punciones percutáneas, sobre todo en lesiones de la columna. (4).

Fig 30. Osteomielitis.
TAC reconstrucción coronal. Edema de tejidos blandos rodeando el hallux, con osteolisis en la parte distal del metatarsiano, por osteomielitis.
Fig 30 A. Osteomielitis aguda.
A: Rx lateral y B: TAC axial. Herida por arma de fuego, con proyectil localizado hacia el lado izquierdo del arco anterior de C1.

Fig 30 B. Osteomielitis aguda.
A y B: TAC axial. Igual paciente anterior. La bala ocasiona lesiones en el arco de C1 y la odontoides.

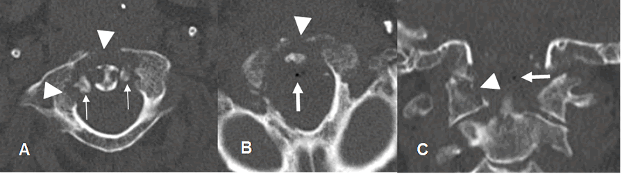
Fig 30 C. Osteomielitis aguda.
A y B: TAC axial. C: TAC reconstrucción coronal. Igual paciente anterior. Mala evolución clínica, con fiebre y sepsis. En el TAC de control se encuentra osteolisis del arco anterior y el lado derecho de C1 y la odontoides, por osteomielitis. (Puntas de flecha). Hay fragmentos óseos libres dentro del canal. (Flechas delgadas). Adicionalmente existen burbujas de aire dentro del canal, por la formación de absceso. (Flechas gruesas).

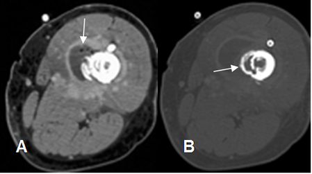
Fig 31 A. Osteomielitis.
A: TAC axial en ventana de tejido. Absceso de tejidos blandos con burbujas de aire y captación de sus paredes, en la parte lateral del muslo.
B: TAC axial en ventana ósea. Destrucción e irregularidad de la cortical, por osteomielitis asociada.

Fig 31 B. Evolución de osteomielitis.
A: TAC axial en ventana de tejido y B: en ventana ósea. Sínfisis púbica de aspecto normal.
B: TAC axial en ventana de tejido y D: en ventana ósea. Erosión en las corticales del pubis, con cambios inflamatorios en los tejidos blandos, por osteomielitis.

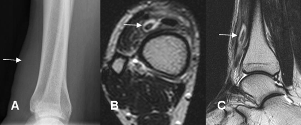
Fig 32. Cuerpo extraño.
A: Rx lateral. Prominencia de los tejidos blandos de la pierna, sin alteraciones óseas.
B: RM axial y C: RM sagital en T2. Se identifica imagen ovalada e hipointensa, rodeada por líquido. El paciente tenía antecedente de trauma y se extrajo un trozo de madera.

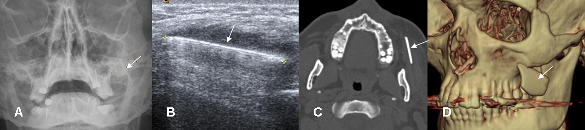
Fig 33. Cuerpo extraño. Paciente con antecedente de trauma abierto en la cara.
A: Rx AP. Imagen lineal y densa en la región malar izquierda.
B: Ecografía. Lesión ecogénica con hiper-refringencia posterior.
C: TAC axial y D: TAC reconstrucción en 3D. Imagen densa proyectada por debajo del hueso malar, que corresponde a cuerpo extraño. (Vidrio).
En la actualidad la RM es considerada como la modalidad de elección para la valoración de la osteomielitis, por su alta sensibilidad y capacidad multiplanar. (4, 14).
Usualmente se encuentra una zona bien definida hipointensa en T1, hiperintensa en T2 y STIR y que realza con el contraste. Hay cambios inflamatorios en los músculos vecinos y la grasa subcutánea. (4, 5, 13, 15). Estos cambios en la señal son secundarios al edema, hiperemia y exudados. (4). (Fig 34 y 35).
El aumento de la señal en T2 y STIR no es específico de osteomielitis. Puede encontrarse en artritis séptica, artropatía neuropática, trauma y fracturas de stress, infarto óseo, sarcoidosis, anemia drepanocítica, tumores, etc. (5, 14, 15).
La presencia de signos secundarios como trayectos fistulosos, erosión cortical, úlceras cutáneas y colección de tejidos blandos, aumentan la especificidad. (14). (Fig 36 y 37).

Fig 34. Osteomielitis.
A: Rx AP. Osteolisis en la parte lateral de la cabeza del 2º metatarsiano.
B: RM axial en T1 y C: RM axial en STIR. Cambios inflamatorios en el tejido celular subcutáneo y rodeando la cabeza del metatarsiano. (Flechas delgadas). El hueso muestra erosión en su parte posterior y edema trabecular, por osteomielitis. (Flechas gruesas).

Fig 35. Osteomielitis.
A: RM coronal en T1 y B: RM coronal en STIR. Edema óseo en la región metafiso-epifisiaria distal del fémur, con cambios inflamatorios en los tejidos blandos, por osteomielitis.

Fig 36. Osteomielitis del calcáneo.
A: TAC axial en ventana de tejido y B: en ventana de hueso. Cambios inflamatorios en los tejidos blandos (Flecha delgada), con orificio de fístula medial. (Flecha gruesa).
C: TAC reconstrucción coronal. Erosión del calcáneo, por osteomielitis. (Punta de flecha).

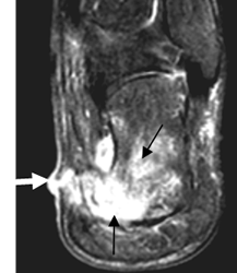
Fig 37. Osteomielitis del calcáneo.
RM coronal en STIR. Osteolisis del calcáneo, con cambios inflamatorios en los tejidos blandos. (Flechas negras). Se identifica trayecto de fístula hiperintensa, hacia la parte interna del pie. (Flecha gruesa).
Otra característica que puede ayudar en la diferenciación: En T1 la osteomielitis produce una zona geográfica y definida de disminución de la señal. Por el contrario el edema no infeccioso muestra un patrón reticular o en nubes. (14).
La administración de gadolinio no ayuda a realizar la diferenciación, porque en todos los casos hay aumento de la permeabilidad capilar. Puede existir realce adicional en los hallazgos secundarios. (Borde de un absceso y tractos fistulosos). (14).
| Fecha de creación | Marzo 1 de 2011 |
| Fecha de actualización | Enero 13, 2014 |