MIOSITIS Y ABSCESO DE TEJIDOS BLANDOS.
Aunque puede ser producida por bacterias, virus, hongos y parásitos, el agente mas frecuente es el Stafilococo Aureus. (2).
Puede comprometer cualquier grupo muscular, aunque típicamente un solo músculo es afectado. Existe predominio por las extremidades inferiores, con lesiones en el cuadriceps, glúteos e iliopsoas. (2).
Durante su evolución encontramos 3 estados: Inicialmente hay invasión y edema muscular. Posteriormente la fase supurativa, con formación de absceso y finalmente la curación. (2).
En la fase aguda de un absceso cuando aún no hay licuefacción, se debe denominar flemón y si compromete un músculo, miositis infecciosa. (12). (Fig 16 y 17).
Los abscesos pequeños no son detectables con Rx simple. Los mas grandes producen obliteración de los planos grasos y fasciales. Pueden detectarse burbujas de aire o niveles hidroaereos. Los cuerpos extraños que sirven de nido a la infección, también pueden identificarse. (12).

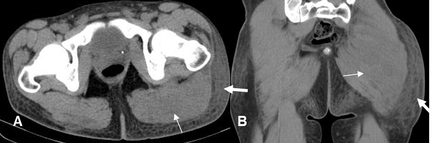
Fig 16. Flemón de tejidos blandos.
A: TAC axial y B: TAC coronal. Prominencia de los músculos en la región glútea izquierda, sin identificar colecciones, por flemón. (Flechas delgadas). Igualmente hay trabeculación y aumento en la densidad de la grasa, por celulitis. (Flechas gruesas).

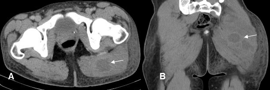
Fig 17. Absceso de tejidos blandos.
A: TAC axial y B: TAC coronal. Igual paciente anterior. Días después se detectan colecciones dentro del músculo, cuyos bordes captan el contraste, por la formación de absceso. Estos hallazgos ya se insinuaban en el estudio inicial.
En la ecografía hay aumento del volumen del músculo, con o sin colección. El absceso se aprecia como zona hipoecoica y mal definida. Posteriormente aparece una lesión hipo o anecoica, de bordes irregulares y con reforzamiento posterior. Su ecogenicidad varía deacuerdo con su contenido. Si hay mucho material semilíquido y detritus, es isoecoico y puede confundirse con una lesión sólida. La compresión y los cambios de posición del paciente, permiten demostrar la movilización de estructuras internas ecogénicas y la consistencia líquida. (11, 12).
También pueden existir niveles liquido/líquido, septos o ecos internos, por la formación de detritus o gas. Las burbujas de aire se identifican como imágenes ecogénicas, con sombra acústica sucia. (11, 12). (Fig 18).
En un absceso organizado la lesión puede ser anecoica y con bordes bien definidos.
Con el doppler hay aumento de la vascularización en los bordes y los tejidos vecinos. Este hallazgo permite diferenciar los abscesos, de otras colecciones no inflamatorias como linfoceles o seromas. (11, 12). (Fig 19).

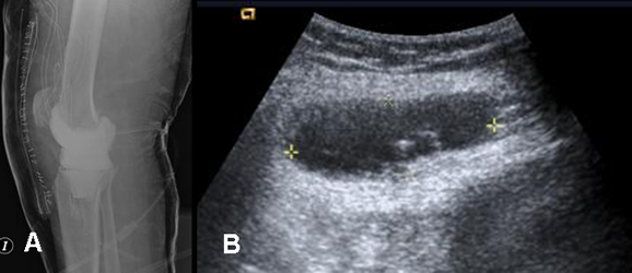
Fig 18. Absceso.
A: Rx lateral y B: Ecografía. PostQx reemplazo de rodilla. El paciente presenta mala evolución con dolor y limitación funcional, encontrando colección hipoecoica con ecos internos en los tejidos blandos.

Fig 19. Absceso.
A: Ecografía. Lesión ovalada e hipoecoica con relación a la grasa, en los tejidos blandos.
B: Ecografía doppler. Los bordes de la lesión tienen aumento de su vascularización y corresponde a la formación de un absceso, en su fase inicial.
Con la TAC se encuentra disminución en la densidad del músculo y cambios inflamatorios que borran los planos grasos. (2).
Cuando aparecen colecciones líquidas, se forma una seudocápsula de paredes gruesas e irregulares y septos que captan el contraste. (2, 12). (Fig 20 y 21).
El contenido de la colección puede ser denso para la presencia de sangrado o alto contenido de proteínas. También se pueden encontrar niveles líquido/líquido o hidroaéreos. (12). (Fig 22).
La administración de contraste permite diferenciar el tejido viable, del necrótico. (2).

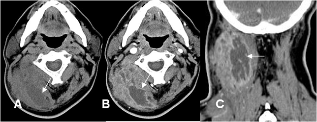
Fig 20. Absceso.
A: TAC axial simple, B: TAC axial con contraste y C: TAC reconstrucción coronal con contraste. Prominencia de los tejidos blandos en la región posterolateral derecha del cuello, con pérdida de los planos grasos entre los grupos musculares. Con el contraste se identifica imagen ovalada e hipodensa cuyos bordes captan y que corresponde a absceso.

Fig 21. Absceso.
TAC axial. Colección encapsulada de tejidos blandos, que corresponde a absceso. Sus bordes captan el contraste (Flechas delgadas) y existen burbujas de aire en su interior. (Flecha gruesa).

Fig 22. Absceso.
A: Rx AP. PostQx prótesis de cadera. Edema de tejidos blandos, con pérdida de los planos grasos. Se encuentra aire rodeando el hueso en la parte externa del muslo. (Flechas).
B: TAC axial. Formación de absceso con la presencia de nivel hidroaéreo. No se aprecia compromiso en la cortical del hueso.
La RM permite demostrar muy bien la colección y la extensión de los cambios inflamatorios. Estas alteraciones en los tejidos blandos, no indican necesariamente infección. (12).
El absceso produce colección hipointensa o de señal intermedia en T1, hiperintensa en T2 y STIR y realce periférico del contraste. (Fig 23, 24, 25, 26 A y B).
También puede existir edema reactivo en la medula osea. Debe existir destrucción osea, secuestro o colección dentro del hueso, para diagnosticar osteomielitis asociada. (12).

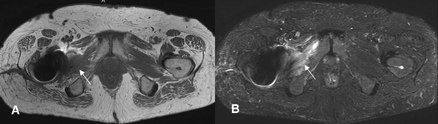
Fig 23. Miositis.
A: RM axial en T1 y B: RM axial en STIR. Cambios inflamatorios en los músculos pectíneo y obturador externo, los cuales son hipointensos en T1, hiperintensos en STIR y rodeados por líquido, por miosistis. Hay prótesis en la cadera, que produce artefactos.

Fig 24. Absceso.
A: RM axial en T1, B: RM coronal en T2 y C: RM coronal en STIR. Igual paciente anterior. Se encuentra gran colección en la parte lateral del fémur, de bordes bien definidos y señal heterogénea e intermedia en T1, hiperintensa en T2 y STIR, que corresponde a absceso. Prótesis metálica en la cabeza femoral, que produce artefactos.
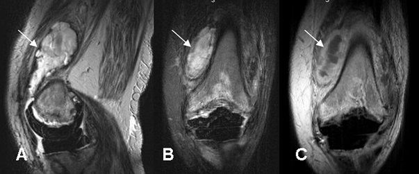
Fig 25. Absceso.
A: RM sagital en T2, B: RM coronal en STIR y C: RM coronal en T1 con contraste. Igual paciente de la figura 18, con prótesis metálicas hipointensas en todas las secuencias. Colección en la parte anteromedial del muslo, de señal heterogénea y predominio hiperintenso en T2 y STIR, cuyos bordes realzan con el contraste, por la formación de absceso.

Fig 26 A. Miositis necrotizante.
A: RM coronal en T1, B: RM coronal en STIR y C: RM axial en STIR. Cambios inflamatorios en la sínfisis púbica, (Flechas delgadas) que se extiende a los músculos pectineos y obturadores a nivel bilateral y el vasto intermedio en el lado derecho. En la imagen axial se aprecia pequeña colección, con burbuja de aire en la parte superior. (Flecha gruesa).

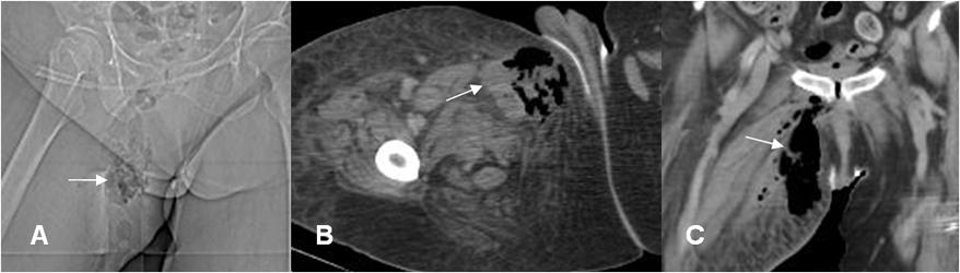
Fig 26 B. Miositis necrotizante.
A: Rx digital, B: TAC axial y C: TAC reconstrucción coronal. Igual paciente anterior, con mala evolución clínica. Se encuentra colección y abundante cantidad de aire en los tejidos blandos de la parte medial del muslo, por proceso infeccioso.
Hay prominencia de los tejidos blandos adyacentes.
| Fecha de creación | Marzo 1 de 2011 |
| Fecha de actualización | Enero 13, 2014 |