FASCEITIS NECROTIZANTE.
Aparece por la rápida progresión de una celulitis, que compromete la fascia profunda y ocasiona necrosis del tejido subcutáneo. (2).
Su etiología es polimicrobiana y se asocia a gérmenes formadores de gas.
Es una emergencia quirúrgica, con alta morbimortalidad. (2).
Su aspecto es similar a la celulitis, pero con compromiso de estructuras mas profundas. Un signo clásico es la identificación de burbujas de aire, que no se encuentra en todos los casos. La captación del contraste permite distinguir la forma necrotizante de la no necrotizante. (2). (Fig 14 y 15).

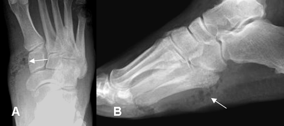
Fig 14. Fasceitis necrotizante.
A: Rx AP y B: Rx lateral. Edema de tejidos blandos en la parte interna del mediopié, con burbujas de aire por fasceitis necrotizante.

Fig 15. Fasceitis necrotizante.
A: TAC axial y B: TAC reconstrucción coronal. Prominencia de tejidos blandos y detección de burbujas de aire, por fasceitis necrotizante.
| Fecha de creación | Marzo 1 de 2011 |
| Fecha de actualización | Octubre 13, 2011 |