CELULITIS.
Es la infección aguda de la dermis y el tejido celular subcutáneo. Se caracteriza por dolor, eritema y edema. Es ocasionada principalmente por el Stafilococo Aureus. (2, 11).
La mayoría de infecciones de tejidos blandos se inicia como una celulitis y luego permanece localizada o se disemina. (12).
Es muy común en diabéticos y pacientes con enfermedad arterial oclusiva y se desarrolla después de heridas en la piel o procedimientos MD (Cirugía, colocación de catéteres, material ortopédico, punciones, etc). En los ancianos se puede complicar con flebotrombosis. (2).
Los cambios en Rx simple son muy pocos y se puede encontrar edema de tejidos blandos. (12). (Fig 10).
En ecografía hay engrosamiento y aumento de la ecogenicidad de la piel y el tejido celular subcutáneo. Se identifican imágenes lineales y anecoicas que representan líquido en los septos interlobulares, que rodean la grasa hiperecoica, dando el aspecto de mosaico. Este hallazgo es inespecífico y no puede diferenciarse de otras causas. (11, 12). (Fig 11).

Fig 10. Celulitis.
Rx AP. Prominencia de los tejidos blandos en el 2º dedo, por celulitis. No hay lesiones óseas asociadas.

Fig 11. Celulitis.
A y B ecografía. Engrosamiento y aumento de la ecogenicidad del tejido celular subcutáneo, por celulitis en A. En B existe patrón de mosaico, con líquido que ocupa los septos interlobulares.
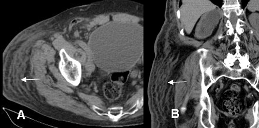
En la infección no complicada se encuentra engrosamiento de la piel, la fascia muscular, septación de la grasa subcutánea y captación variable del contraste, tanto en la TAC como la RM. (2, 12). (Fig 12 y 13).
Las lesiones son hipointensas en T1, hiperintensas en T2 y STIR. (12).
También pueden detectarse cuerpos extraños y el compromiso de estructuras mas profundas, que se asocia a la formación de abscesos. (2).

Fig 12. Celulitis.
A: TAC axial y B: TAC coronal. Engrosamiento y trabeculación de la grasa subcutánea en la región glútea derecha, la cual capta el contraste, por celulitis.
Fig 13. Celulitis.
A: RM coronal en T1 y B: RM coronal en STIR. Edema de tejidos blandos en el dorso del pie, por celulitis. No hay compromiso óseo.
| Fecha de creación | Marzo 1 de 2011 |
| Fecha de actualización | Enero 13, 2014 |