ARTRITIS SEPTICA.
Infección articular producida principalmente por diseminación hematógena. (2).
Hay compromiso de articulaciones grandes y muy vascularizadas, con mayor frecuencia en el hombro, la cadera y la rodilla, (2).
La artritis puede clasificarse como séptica y no séptica. La séptica es causada por Estafilococo aureus, Neisseria gonorroeae, Klebsiella pneumoniae, Cándida albicans y Serratia y la no séptica por TBC, hongos, virus, etc. (20).
Se manifiesta con dolor, edema y limitación funcional. Se confirma el diagnóstico, al recuperar líquido sinovial purulento, mediante artrocentesis. (2, 21).
La infección induce la producción de enzimas proteolíticas, que destruyen el cartílago y ocasiona cambios irreversibles, si no se trata rápida y adecuadamente. La afectación de las placas epifisiarias en los niños, puede ocasionar detención del crecimiento. (2).
En la fase inicial el estudio con la Rx simple puede ser normal, pero este hallazgo no descarta la infección. (21).
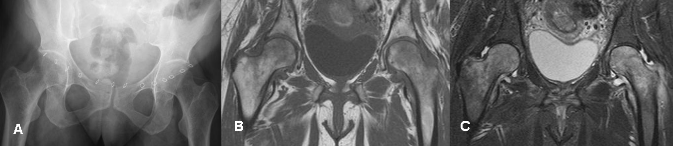
Posteriormente aparece osteoporosis periarticular, edema de tejidos blandos y derrame articular. La comparación con el lado contralateral o articulaciones adyacentes, pueden ayudar. (20, 21). (Fig 53 A).
La ecografía es muy sensible para detectar derrame articular. Adicionalmente sirve para guiar la artrocentesis. (11, 20). (Fig 53 B).
En la fase subaguda hay erosiones óseas e irregularidad de las superficies articulares por destrucción del hueso subcondral y disminución del espacio articular, por daño del cartílago. La aparición de reacción perióstica indica osteomielitis asociada. (20, 21). (Fig 54, 55 y 56).
Con la TAC se aprecia el edema de tejidos blandos y el derrame articular. Las erosiones óseas y la destrucción subcondral son muy bien detectadas. Encontrar un nivel grasa/líquido en ausencia de trauma, es específico de artritis séptica. (2, 20). (Fig 57 A y B).
En fases crónicas hay sub o luxación, cuerpos libres y anquilosis de la cavidad articular. (20, 21). (Fig 58 A y B).
En RM hay aumento del liquido articular que distiende la cápsula, hiperintenso en T2. (Fig 53 A). El líquido infectado y/o con hemartrosis, tiene una señal intermedia y heterogénea. (20).
En los estados tardíos se encuentra destrucción del cartílago y anquilosis articular. (20).

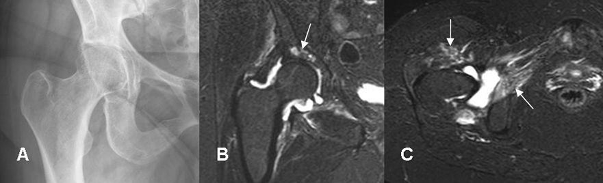
Fig 53 A. Artritis infecciosa.
A: Rx AP. Desplazamiento lateral del cojinete graso glúteo, que hace sospechar derrame articular. Lado derecho normal.
B: RM coronal y C: RM axial en STIR. Se confirma el derrame articular, por artritis infecciosa.

Fig 53 B. Derrame articular.
Ecografía. Presencia de moderada cantidad de líquido articular, por artritis séptica de rodilla.

Fig 54. Artritis séptica.
A: Rx AP. Sin cambios significativos en el espacio. Hay pinzamiento mixto en la cadera.
B: RM coronal y C: RM axial en STIR. Derrame articular, por artritis infecciosa. En B hay cambios inflamatorios en la cavidad acetabular y en C en los músculos vecinos.

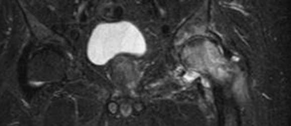
Fig 55. Artritis infecciosa.
A: Rx AP. Disminución del espacio articular en el lado izquierdo, al comparar con el contra-lateral.
B: RM coronal en STIR. Edema óseo en la cabeza femoral y acetábulo, por artritis séptica. Severos cambios inflamatorios en los componentes del cuadriceps y los glúteos, sin formación
de colecciones.

Fig 56. Artritis infecciosa.
RM coronal en STIR. Disminución del espacio articular, con cambios inflamatorios en la cavidad acetabular y la cabeza femoral por artritis.

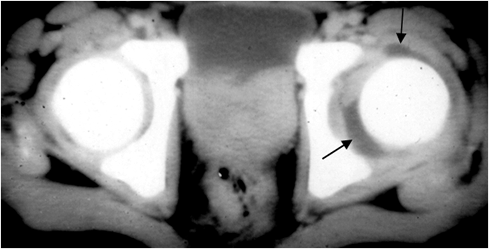
Fig 57 A. Artritis aguda.
TAC axial. Aumento del espacio articular y detección de líquido en la cadera izquierda, por artritis infecciosa.

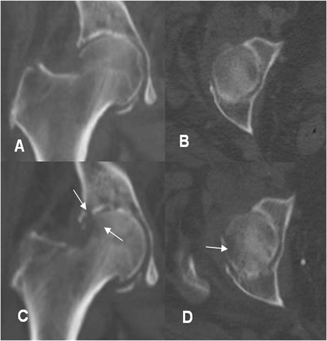
Fig 57 B. Evolución artritis.
A: TAC reconstrucción coronal y B: TAC axial. Disminución del espacio articular y esclerosis del reborde acetabular.
C: TAC reconstrucción coronal y D: TAC axial. Clínica de dolor y limitación funcional. Después de 2 semanas de evolución se identifican lesiones líticas en la cabeza femoral y cavidad acetabular y pérdida del espacio articular, por artritis séptica.

Fig 58 A. Artritis crónica.
A: Rx AP y B: TAC axial. Secuelas de artritis séptica con destrucción de la cabeza femoral y aplanamiento de la cavidad acetabular.

Fig 58 B. Artritis crónica.
A: Rx AP, B: TAC reconstrucción coronal y C: TAC axial. Secuelas de artritis séptica. Pérdida de la cabeza femoral, con luxación posterior del fémur. El espacio articular está ocupado por tejido blando.
El principal diagnóstico diferencial es la osteoporosis transitoria.
Es una entidad de etiología desconocida y su diagnóstico es de exclusión. (22). Aunque fue inicialmente descrita en mujeres embarazadas, es mas frecuente en hombres jóvenes y de edad media. (22).
En la Rx no hay disminución del espacio, ni erosiones óseas.
Con la RM se aprecia disminución uniforme en la SI en T1 y aumento en T2 y derrame articular asociado. (22).
Es autolimitada, con completa resolución de los síntomas y hallazgos radiológicos entre 6 y 12 meses. (21, 22). (Fig 59 y 60).

Fig 59. Osteoporosis transitoria.
A: Rx AP. Paciente post-cesárea, con dolor en ambas caderas. Se aprecia moderada osteopenia, en las cabezas femorales.
B: RM coronal en T1 y C: RM coronal en STIR. Edema en ambas cabezas femorales, con moderado derrame asociado.

Fig 60. Osteoporosis transitoria.
A: RM coronal en T1 y B: RM coronal en STIR. Igual paciente anterior. Normalización de los cambios, después de 3 meses.
ARTRITIS TBC:
Afecta principalmente a los niños y adolescentes y se origina principalmente por diseminación hematógena o continuidad.
El compromiso es monoarticular, con predominio por articulaciones grandes, como la rodilla y la cadera.
Se encuentra disminución del espacio articular, osteoporosis y erosiones periféricas, las cuales son características.
| Fecha de creación | Marzo 1 de 2011 |
| Fecha de actualización | Abril 11, 2013 |