VALORACION RADIOLOGICA:
Como en todas las articulaciones, se debe iniciar la valoración con radiografía (Rx) simple. Con esta modalidad se pueden identificar lesiones focales, calcificaciones anormales, valorar lesiones traumáticas, etc.
El hombro se estudia con principalmente con proyecciones AP y otras especiales como
axial, rotación interna y externa, outlet, etc. (Fig 5 y 6).
Estructuras óseas a tener en cuenta: Cabeza del húmero, glenoides, apófisis coracoides, acromión y clavícula distal. (Fig 7).

Fig 5. Proyecciones del hombro.
A: Rx en rotación interna y B: Rx en rotación externa.
Fig 6. Proyecciones del hombro.
A: Rx en outlet. Permite valorar el intervalo rotador y el tipo de acromión.
Fig 7. Estructuras del hombro.
A: Rx AP y B: Rx outlet. CH: Cabeza del húmero. CL: Clavícula distal. A: Acromión. CR: Coracoides.
La principal indicación de la ecografía del hombro, es evaluar la ruptura del manguito rotador. (9). Esta modalidad tiene la ventaja que permite hacer la comparación con el lado contralateral, pero su principal desventaja es que es muy operador dependiente. (10).
La cabeza larga del biceps se evalúa en el plano axial y sagital, sobre la corredera bicipital. Se identifica como una estructura redondeada y ecogénica conformada por bandas paralelas, tiene localización extrasinovial, pero se comunica con la cavidad articular. (9,10). (Fig 8).

Fig 8. Tendón de la cabeza larga del biceps normal.
A: Ecografía axial y B: Ecografía sagital.
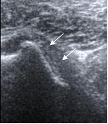
El músculo subescapular, también se evalúa en el plano axial. El tendón se identifica sobre su inserción en la tuberosidad menor, con su borde posterior adyacente a la cortical del húmero. (11). (Fig 9).

Fig 9. Tendón del subescapular normal.
Ecografía vista axial.
El músculo supraespinoso se examina mejor en una vista coronal oblicua, con el brazo en máxima rotación interna y colocado por detrás de la espalda. En el plano transverso, el tendón cubre la parte superior de la cabeza humeral. (11). Se aprecia como una estructura homogénea, que se dirige hacia la tuberosidad mayor. (Fig 10).
El infraespinoso se examina en la fosa de su mismo nombre, por detrás de la articulación acromioclavicular. (11).
Con la ecografía no puede hacerse la distinción entre los tendones del supraespinoso y el infraespinoso. (10).
La zona hipoecoica que se aprecia entre la cortical del humero y el tendón del supraespinoso, corresponde al cartílago articular. (10). (Fig 10).
Por debajo del músculo deltoides, se encuentra grasa y la bursa subacromiosubdeltoidea (10). Corresponde a una estructura ecogénica, con espesor menor de 2 mm. (11). (Fig 10).

Fig 10. Tendón del supraespinoso normal.
Ecografía vista coronal. Cartílago articular (Flecha delgada) y bursa SASD. (Flecha gruesa).
La principal indicación para realizar tomografía axial computarizada (TAC), es el trauma. Las reconstrucciones 3 D de fracturas en la cabeza del húmero, son de mucha utilidad para planear la reconstrucción quirúrgica. (12). (Fig 11).

Fig 11. TAC reconstrucción 3D.
A: Rx AP de hombro y B: TAC reconstrucción coronal. Fractura conminuta y desplazada del
cuello humeral.
C: TAC reconstrucción 3D. Se confirman los hallazgos y permite valorar las relaciones articulares.
Los tendones de todos los grupos musculares, se aprecian como estructuras hipointensas en todas las secuencias, en relación con los sitios de origen e inserción. (Fig 12 a 17).

Fig 12. Tendón del supraespinoso normal.
A: RM axial en FFE y B: RM coronal en T2. Supraespinoso normal, con inserción en la tuberosidad mayor.

Fig 13. Tendón del infraespinoso normal.
A: RM axial en FFE y B: RM coronal en T1.

Fig 14. Tendón del subescapular normal.
A: RM axial en FFE y B: RM coronal en T1. Inserción en la tuberosidad menor. Su relación
con la apófisis coracoides (Flecha gruesa), ayuda a diferenciarlo del redondo menor.

Fig 15. Tendón del redondo menor normal.
RM coronal en T1. Inserción en la tuberosidad mayor.

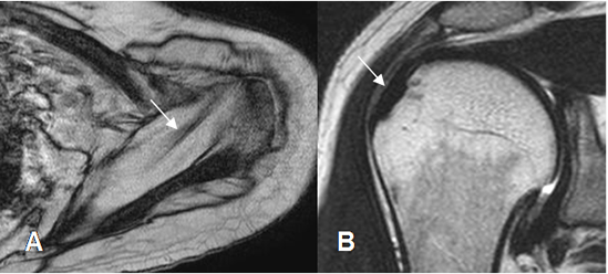
Fig 16. Tendón de la cabeza larga del bíceps normal.
A: RM axial en FFE y B: RM coronal en STIR. Origen del tendón a nivel supraglenoideo y después ocupa la corredera bicipital.

Fig 17. Tendones normales del manguito rotador.
RM sagital en T2. SE: Supraespinoso. IE: Infraespinoso. SB: Subescapular. RM: Redondo menor. BI: Cabeza larga del bíceps.

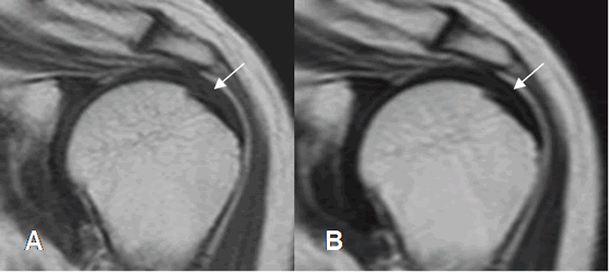
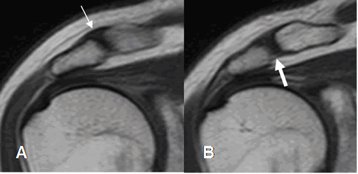
Fig 18. Angulo mágico.
A: RM coronal en T1. Tendón supraespinoso con aumento de su señal.
B: RM coronal en T2. Tendón hipointenso y normal, por el efecto del ángulo mágico.

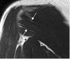
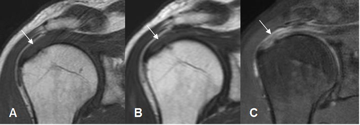
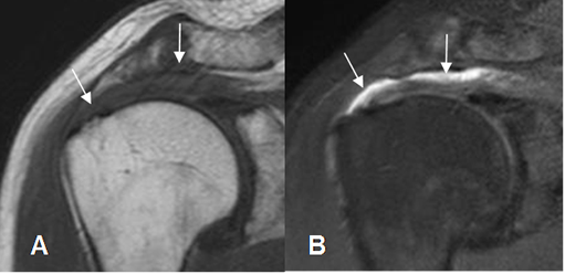
Fig 19. Tendinitis del supraespinoso.
A: RM coronal en T1. Aumento en la señal del tendón supraespinoso.
B: RM coronal en T2 y C: RM coronal en STIR. El supraespinoso es hiperintenso, irregular y rodeado por líquido, por tendinitis
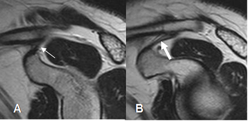
La atrofia del músculo supraespinoso es un signo de cronicidad y se correlaciona con el resultado quirúrgico. (2). Se valora con el signo de la tangente, en un corte sagital. El supraespinoso debe cruzar la línea trazada entre el borde superior de la coracoides y la espina de la escápula. En casos de atrofia, el borde superior del músculo, se localiza inferior a esta línea. (2). (Fig 20).

Fig 20. Signo de la tangente.
A: RM sagital en T2. Supraespinoso normal, cruzando la línea tangente.
B: RM sagital en T2. Supraespinoso atrófico, por debajo de la línea tangente.
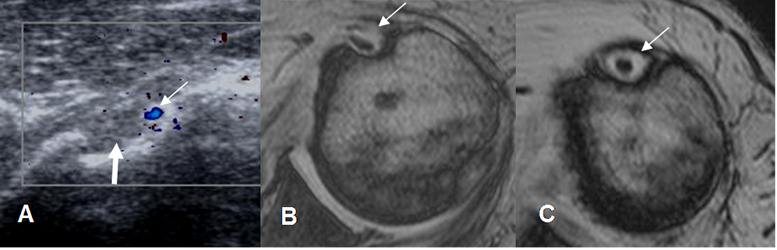
Una pequeña cantidad de líquido puede encontrarse en la parte lateral, rodeando el tendón del bíceps. (12). Corresponden a estructuras vasculares adyacentes al tendón. (Vasos circunflejos humerales anteriores). (12). (Fig 21).
Fig 21. Tendón del biceps.
A: Ecografía doppler. Vasos circunflejos (Flecha delgada), en la parte lateral de la corredera bicipital. Tendón del biceps (Flecha gruesa).
B: RM axial en FFE. Escaso líquido normal, en la parte lateral
C: RM axial en FFE. Tendón completamente rodeado por líquido, secundario a tenosinovitis.
La artroresonancia (ArtroRM) es la mejor técnica para evaluar los ligamentos y el labrum glenoideo. (Fig 23 a 26). La aplicación de la mezcla intra-articular del contraste, puede hacerse mediante guía fluoroscópica o ecográfica. (13). La ecografía se considera la técnica mas fácil, rápida y menos dolorosa. (13). (Fig 22).

Fig 22. Técnica de ArtroRM por ecografía.
A: RM axial en FFE y B: Ecografía vista axial. Abordaje anterior, con trayecto de la aguja en el espacio coracohumeral. Al atravesar el subescapular (Flechas gruesas), se inyecta el contraste.
C: Ecografía axial. Aguja (Flecha delgada) cruzando el músculo subescapular. (Flecha gruesa).

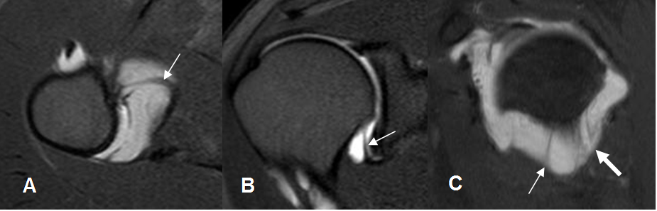
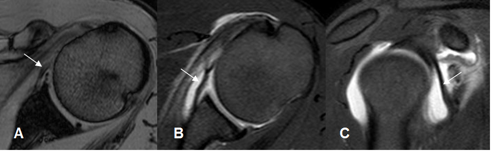
Fig 23. Ligamento glenohumeral superior normal.
A: RM axial en FFE y B: ArtroRM axial. Ligamento GHS normal.
Fig 24. Ligamento glenohumeral medio normal.
A: RM axial en FFE. Ligamento normal entre el labrum anterior y el tendón del subescapular.
B: ArtroRM axial y C: ArtroRM sagital en STIR. Ligamento GHM normal.

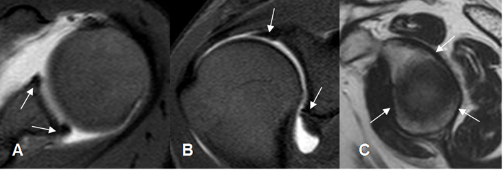
Fig 25. Ausencia del ligamento glenohumeral medio.
ArtroRM axial en STIR. No visualización del LGHM, por ausencia congénita. Tendón del subescapular normal. (Flecha).

Fig 26. Ligamento glenohumeral inferior normal.
A: ArtroRM axial y B: ArtroRM coronal. Banda anterior del ligamento GHI normal.
C: ArtroRM sagital. Banda anterior (Flecha delgada) y banda posterior (Flecha gruesa) normales.

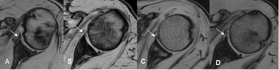
Fig 27. Labrum normal.
A, B, C y D: RM axial en FFE. Distintas configuraciones normales del labrum anterior.
Fig 28. Labrum normal.
A: ArtroRM axial. Rebordes normales anterior y posterior.
B: ArtroRM coronal. Rebordes normales superior e inferior.
C: RM sagital en T2. Labrum adherido a la cavidad glenoidea.
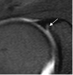
Fig 29. Surco sublabral normal.
ArtroRM coronal. Defecto regular en el labrum superior, que corresponde al surco sublabral.
El intervalo rotador es mejor evaluado con las secuencias sagitales. La presencia de líquido en esta región es el principal signo de patología. (9). (Fig 30 y 31).

Fig 30. Intervalo rotador normal.
A: RM coronal en T1 y B: RM sagital en T2. Intervalo normal con la presencia de grasa.
Contiene el ligamento coracohumeral (Flecha delgada) y la cabeza larga del biceps. (Flecha gruesa).
C: Apófisis coracoides. SE: Músculo supraespinoso. SB: Músculo subescapular.

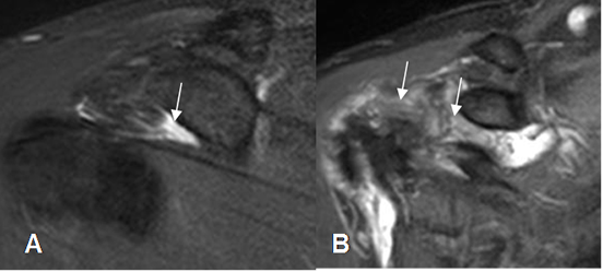
Fig 31. Intervalo anormal.
A y B: RM sagital en STIR. Presencia de líquido y cambios inflamatorios en el intervalo rotador, como hallazgo patológico.
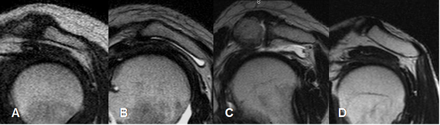
La bursa subacromio-subdeltoidea (SASD) contiene grasa y la presencia de líquido, también indica patología. (Fig 32 y 33).

Fig 32. Bursa SASD normal.
A: RM coronal en T1 y B: RM sagital en T2. Bursa normal, con contenido de grasa. (Flechas delgadas). Músculo deltoides normal. (Flechas gruesas).
C: RM coronal en STIR. Supresión de la grasa, sin encontrar cambios inflamatorios.

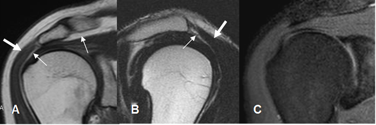
Fig 33. Bursa SASD patológica.
A: RM coronal en T1: Pérdida de la grasa normal en la bursa.
B: RM coronal en STIR. Líquido en la bursa SASD, por proceso inflamatorio.
La clavícula está estabilizada por los ligamentos coracoclaviculares. Tiene 2 componentes, uno medial o ligamento conoides y otro lateral o ligamento trapezoide. (11). También contribuyen los ligamentos coracoacromial y acromioclavicular. (14). (Fig 34 y 35).

Fig 34. Ligamentos coracoclaviculares normales.
A y B: RM sagital en T2. Ligamento conoides (Flecha delgada) y trapezoide. (Flecha gruesa).

Fig 35. Ligamentos acromioclaviculares normales.
A y B: RM coronal en T1. Ligamento acromioclavicular superior (Flecha delgada) e inferior (Flecha gruesa).
La apófisis coracoides de la escápula, ha sido clasificada en 4 tipos, que pueden valorarse con la proyección outlet y secuencia sagital de RM: (2). (Fig 36).

Fig 36. Tipos de acromión.
RM sagital en T2. A: Tipo 1 plano. B: Tipo 2 curvo hacia abajo. C: Tipo 3 con gancho inferior y D: Tipo 4 curvo hacia arriba.
| Fecha de creación | Marzo 1 de 2011 |
| Fecha de actualización | Noviembre 23, 2013 |