LUXACION DE HOMBRO.
El hombro es una de las articulaciones grandes del organismo, que mas se luxa. (7). Es muy vulnerable a este tipo de patología, por la discrepancia entre la gran cabeza humeral y la pequeña cavidad glenoidea. (7).
Ocasiona varias lesiones óseas y labroligamentosas, que serán discutidas en el capítulo de inestabilidad.
Luxación anterior:
Es la mas frecuente y vista en hombres jóvenes. (1). Existen varios tipos y la recidiva es muy común.
Se diagnostica cuando la cabeza humeral, se localiza por debajo de la apófisis coracoides. (11). (Fig 45 A y B, 46 y 47).

Fig 45 A. Luxación anterior.
Rx AP. Cabeza humeral por debajo de la coracoides, por luxación anterior.

Fig 45 B. Luxación anterior.
A: Rx AP. Luxación glenohumeral anterior.
B: TAC axial. Se confirma la luxación. Adicionalmente hay un fragmento libre intra-articular.

Fig 46. Subluxación anterior.
A: Rx AP y B: TAC axial. Desalineación anterior de la articulación glenohumeral, con pérdida parcial de la relación articular.

Fig 47. Luxación anterior.
A: Rx AP, B: TAC reconstrucción coronal y C: TAC reconstrucción 3D. Hombro reducido después de una luxación anterior, donde se identifican fragmentos óseos por debajo de la glenoides, por fractura.
Durante la luxación, la glenoides choca contra el borde superior-posterior de la cabeza del húmero y produce la fractura de Hill Sachs o rompe el labrum anterior, ocasionando una lesión de Bankart. (1). (Fig 48 y 49).
En los pacientes jóvenes se produce la lesión de Bankart y en los mayores de 40 años, se lesiona la cápsula articular o los músculos del manguito. (1). (Fig 50 A y B).
En muchas luxaciones anteriores, se lesiona el nervio axilar. (6).

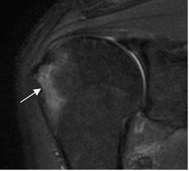
Fig 48. Contusión ósea, por luxación anterior.
RM coronal en STIR. Zona hiperintensa en la parte superior de la cabeza del húmero, después de una luxación del hombro, por contusión ósea.

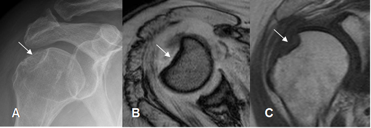
Fig 49. Fractura de Hill Sachs.
A: Rx AP, B: RM axial en FFE y C: RM coronal en T1. Zona deprimida en la parte superoexterna de la cabeza del húmero, por fractura de Hill Sachs.

Fig 50 A. Lesión de Bankart.
A: Rx AP. Luxación anterior del hombro.
B: Rx AP. Después de la reducción, se aprecian fragmentos óseos por debajo de la glenoides.
C: TAC axial. Fractura del borde anterior de la glenoides, por Bankart oseo.
D: TAC reconstrucción coronal. Fractura de la glenoides inferior, con fragmentos desplazados.

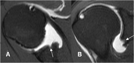
Fig 50 B. Bankart óseo.
A: ArtroRM axial en STIR y B: ArtroRM sagital en STIR. Defecto del reborde anterior inferior de la glenoides y el labrum articular, por lesión de Bankart óseo. (Flechas).
Luxación posterior:
Puede ser producida por una contracción muscular violenta secundaria a convulsión o shock eléctrico. También es común por microtrauma continuo en nadadores y practicantes de tiro. (6).
En ocasiones suelen pasar desapercibida en la Rx AP. Una distancia mayor de 6 mm entre el borde anterior de la glenoides y la cabeza humeral, es muy sugestivo de esta lesión. (11). (Fig 51 A).También puede encontrarse la fractura por impactación anterior del húmero, conocida como Bankart invertido o deformidad de Mac Laughlin. (1). (Fig 51 B y 51 C).
Siempre que se encuentre una avulsión de la tuberosidad menor, se debe sospechar la luxación posterior. (1).

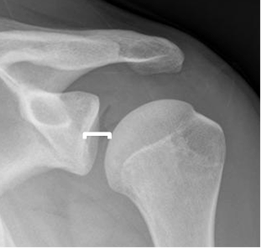
Fig 51 A. Luxación posterior.
Rx AP. Aumento del espacio glenohumeral, por luxación posterior.

Fig 51 B. Bankart invertido.
TAC axial. Luxación posterior, con fractura conminuta de la cabeza humeral. (Flecha gruesa). Adicionalmente hay fractura de la escápula. (Flecha delgada).

Fig 51 C. Bankart invertido.
A: RM axial en GE y B: RM sagital en T2. Fractura por impactación en la parte anterior de la cabeza humeral, después de una luxación posterior.
| Fecha de creación | Marzo 1 de 2011 |
| Fecha de actualización | Diciembre 3, 2013 |