TRAUMA DE HUMERO.
Este tipo de fracturas son muy comunes en mujeres postmenopáusicas y afectan frecuentemente el cuello quirúrgico, tuberosidad mayor o menor. (1). Es común la asociación de estas fracturas, con luxaciones y rupturas del manguito rotador. Se pueden manifestar como una impactación o fragmentación de la cabeza. (1). (Fig 39 a 43).
El TAC se utiliza para evaluar la extensión de la lesión y las reconstrucciones 3D, permiten hacer la planificación de la técnica quirúrgica. (1). (Fig 44).

Fig 39. Fractura de húmero.
A y B: Rx AP. Fracturas impactadas y con diferente grado de desplazamiento de la cabeza humeral.

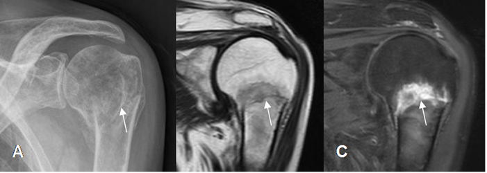
Fig 40. Fractura de húmero.
A: Rx AP, B: RM coronal en T1 y C: RM coronal en STIR. Fractura no desplazada y en sentido transverso, en el cuello del húmero.
Fig 41. Fractura de la tuberosidad mayor.
A: Rx AP y B: TAC axial. Fractura conminuta y con desprendimiento de la tuberosidad mayor.

Fig 42. Fractura de la tuberosidad menor.
A: Rx AP de hombro. Fractura conminuta e impactada de la cabeza del húmero.
B: TAC axial. Desprendimiento de la tuberosidad menor y subluxación glenohumeral posterior.

Fig 43. Fractura de húmero con cuerpo libre intra-articular.
A: Rx AP de hombro. Fractura impactada y conminuta de la cabeza humeral.
B: TAC axial y C: TAC reconstrucción coronal. Fragmento oseo libre intra-articular, en la parte postero-inferior de la glenoides.

Fig 44. Fractura de húmero reconstrucción 3 D.
A: Rx AP, B: TAC reconstrucción sagital y C: TAC reconstrucción 3 D. Fractura de la cabeza del húmero, con gran desplazamiento y angulación.
| Fecha de creación | Marzo 1 de 2011 |
| Fecha de actualización | Octubre 6, 2011 |