TRAUMA DE ARTICULACION ESTERNOCLAVICULAR.
Las luxaciones son de difícil detección, por lo que se necesita del TAC para hacer el diagnóstico. (1).
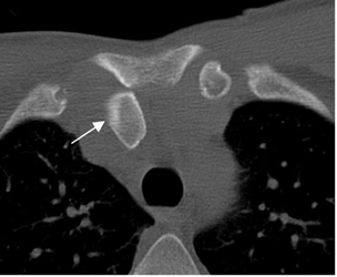
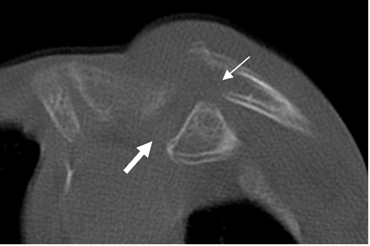
Las posteriores son menos frecuentes pero mas graves, por las complicaciones neurovasculares que ocasionan. (1). (Fig 56 A y B).

Fig 56A. Luxación de articulación esternoclavicular.
TAC axial. Desplazamiento posterior del tercio proximal de la clavícula, por luxación.

| Fecha de creación | Marzo 1 de 2011 |
| Fecha de actualización | Octubre 6, 2011 |