TRAUMA DE ESCAPULA.
Son hallazgos muy raros y ocurren por traumas de alta energía. Están asociadas a otras lesiones y en ocasiones su diagnostico es tardío. (11).
Una proyección de tórax u hombro AP, puede ser suficiente, pero en ocasiones es necesaria una proyección en Y, para aclarar imágenes dudosas. (11). (Fig 57 a 60).

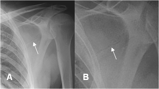
Fig 57. Fractura de escápula.
A: Rx AP de hombro y B: Magnificación. Fractura transversa, en el tercio medio de la escápula.

Fig 58. Fractura de escápula.
Rx oblicua de hombro. Fractura angulada del tercio medio de la escápula.

Fig 59. Fractura de escápula.
A: Rx AP de hombro y B: RM coronal en STIR. Fractura oblicua de la glenoides.

Fig 60. Fractura de escápula.
A: Rx AP de hombro, B: Rx lateral de escápula, C: TAC axial y D: TAC reconstrucción sagital. Fractura conminuta y cabalgada en el tercio medio de la escápula. (Flechas delgadas). En A y B, se aprecia luxación de la articulación acromioclavicular. (Flechas gruesas).
| Fecha de creación | Marzo 1 de 2011 |
| Fecha de actualización | Septiembre 21, 2011 |