TRAUMA CLAVICULA.
Las fracturas de la clavícula son comunes en los niños y ocurren como consecuencia de una caída sobre el hombro, el brazo o por un trauma directo. (1).
Son mas frecuentes en el tercio medio, por ser la parte mas delgada. (11).
Se aprecia desplazamiento superior del extremo proximal, por contracción del esternocleidomastoideo e inferior del extremo distal, por el peso del brazo. (11). (Fig 37).
Algunas fracturas muy desplazadas pueden ocasionar lesiones neurovasculares, como complicación temprana o tardía, por la compresión que puede ejercer un callo óseo muy prominente. (1, 11). (Fig 38).

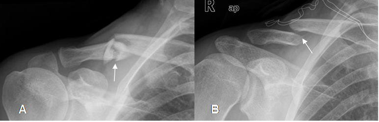
Fig 37. Fractura de clavícula.
A: Rx AP. Fractura conminuta del tercio medio, con leve angulación superior.
B: Rx AP. Fractura cabalgada del tercio medio, con desplazamiento superior del extremo proximal y diastasis de la articulación acromioclavicular.

Fig 38. Fractura de clavícula.
Rx AP. Fractura consolidada con callo óseo hipertrófico, en la parte inferior.
| Fecha de creación | Marzo 1 de 2011 |
| Fecha de actualización | Octubre 6, 2011 |