TRAUMA ARTICULACION ACROMIOCLAVICULAR.
En la mayoría de las personas, el borde inferior de la clavícula y el acromión están alineados. En algunos pacientes esto no ocurre, siendo una variante normal, que se confirma haciendo un estudio comparativo y con carga. (1,11). (Fig 52).
El espacio acromioclavicular normal mide entre 3 a 5 mm. También puede existir una variación, pero con una diferencia menor de 2 mm. (11). (Fig 53).
Se puede diagnosticar una luxación acromioclavicular, cuando el espacio es mayor de 6 mm y el espacio de la articulación coracoclavicular es mayor de 12 mm. (1). (Fig 54 y 55).

Fig 52. Articulación acromioclavicular.
A: Rx AP. Alineación normal de la articulación acromioclavicular.
B: Rx AP. Desalineación de la articulación acromioclavicular, que puede ser un hallazgo normal o patológico.
Fig 53. Articulación acromioclavicular.
Rx AP. Aumento del espacio en la articulación acromioclavicular. Puede corresponder a un hallazgo normal o patológico.

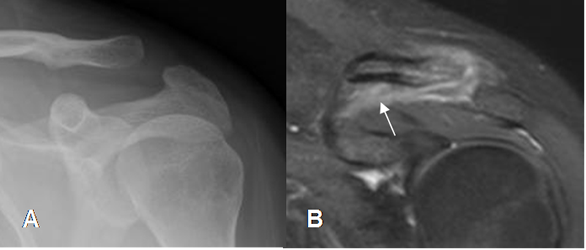
Fig 54. Esguince de articulación acromioclavicular.
A: Rx AP. Aumento y desalineación de la articulación acromioclavicular.
B: RM coronal en STIR. Hiperintensidad y ruptura de los ligamentos acromioclaviculares, por esguince G III.

Fig 55. Esguince de articulación acromioclavicular.
A: Rx AP. Aumento patológico en el espacio acromioclavicular, por esguince.
B: RM coronal en STIR. Hiperintensidad y ausencia de los ligamentos coracoclaviculares, por esguince G III.
| Fecha de creación | Marzo 1 de 2011 |
| Fecha de actualización | Octubre 6, 2011 |