PINZAMIENTO INTERNO.
Es este tipo de pinzamiento, la amplitud del arco coracoacromial es normal. Las estructuras del manguito y la cápsula son comprimidas por un grupo de patologías sobre la glenoides o entre la glenoides y el húmero. Ejemplo la inestabilidad glenohumeral, un troquiter prominente, etc. (1, 22).
Aparece en personas jóvenes con dolor y sin causa reconocida. (22).
Existen 2 tipos de pinzamiento interno, que se asocian con ruptura parcial del manguito: (22).
Ocurre a nivel de la glenoides anterior y no debe ser confundido con el subcoracoideo, que es un tipo de pinzamiento externo.
En la posición de aducción y rotación interna, el subescapular y la cabeza larga del bíceps, chocan contra la parte anterosuperior de la glenoides.
Por imágenes se aprecia líquido en la bursa SASD, en ausencia del ruptura completa del manguito, por ruptura del intervalo. Además hay sub o luxación del bíceps y ruptura asociada del supraespinoso y el subescapular. (Fig 89 a 92).
La presencia de colección en la bursa subcoracoidea, es un signo de pinzamiento anterior y ruptura del intervalo rotador. (Fig 93).
Se ha encontrado un espacio coracohumeral menor de 6 mm, en pacientes sintomáticos. (22). (Fig 94).

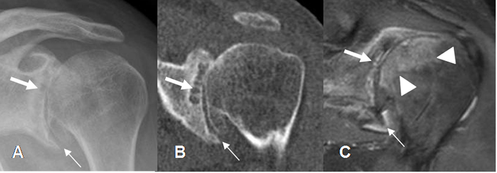
Fig 89. Pinzamiento interno anterior.
A: Rx AP. B: TAC reconstrucción coronal y C: RM coronal en STIR. Cambios degenerativos con pérdida del espacio glenohumeral, formación de osteofitos inferiores (Flechas delgadas), quistes subcondrales (Flechas gruesa) y edema óseo en la cabeza femoral, por microtrauma (Punta de flecha.).

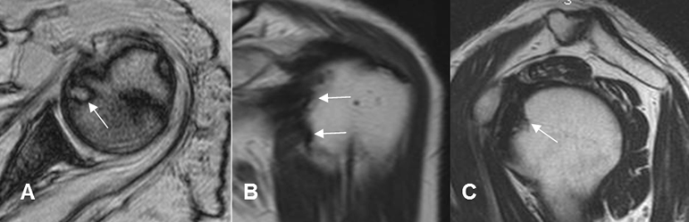
Fig 90. Pinzamiento interno anterior.
A: RM axial en FFE, B: RM coronal en T2 y C: RM sagital en T2. Pinzamiento interno, con erosión en la parte anteromedial del húmero.

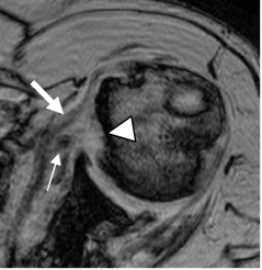
Fig 91. Pinzamiento interno anterior.
RM axial en FFE. Osteofito en la glenoides anterior, que erosiona la cabeza humeral. (Cabeza de Flecha). Hay luxación de la porción larga del bíceps (Flecha delgada), permaneciendo integro el tendón del subescapular. (Flecha gruesa).

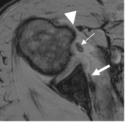
Fig 92. Pinzamiento interno anterior.
RM axial en FFE. Signos de pinzamiento anterior, con disminución del espacio coracohumeral. (Punta de Flecha). Hay luxación de la cabeza larga del biceps (Flecha delgada) y ruptura retraída del tendón del subescapular. (Flecha gruesa).

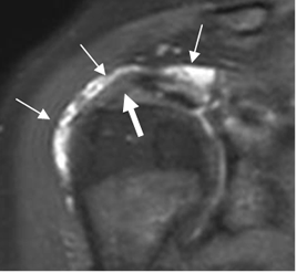
Fig 93. Pinzamiento interno anterior.
RM coronal en STIR. Líquido en la bursa SASD (Flechas delgadas), con hiperintensidad del tendón supraespinoso por tendinitis, pero sin ruptura completa. (Flecha gruesa).

Fig 94. Pinzamiento interno.
A: RM axial en FFE y B: RM coronal en T1. Pérdida del espacio coracohumeral, por proceso degenerativo. (Flecha delgada). Presencia de lesiones osteocondrales en la parte anterior del húmero (Flechas gruesas) y ruptura retraída del subescapular. (Punta de flecha).
Igualmente existe irregularidad, esclerosis y presencia de quistes subcondrales, en la parte posterosuperior de la glenoides. (Fig 95 a 98).
La lesión de Bennet (Calcificación en la parte posterosuperior del labrum), también puede ser observada.

Fig 95. Pinzamiento postero-superior.
A: TAC axial y B: RM axial en FFE. Cambios degenerativos en la parte posterosuperior de la articulación glenohumeral, con pérdida del espacio, esclerosis y quistes subcondrales, por pinzamiento.

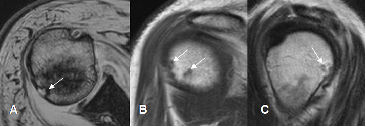
Fig 96. Pinzamiento posterosuperior.
A: RM axial en FFE, B: RM sagital en T1 y C: RM sagital en T2. Lesiones osteocondrales en la parte posterosuperior de la cabeza humeral, por pinzamiento.

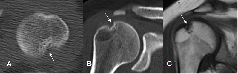
Fig 97. Pinzamiento postero superior.
A: TAC axial: Lesión osteocondral en la parte posterior de la cabeza humeral.
B: TAC reconstrucción coronal y C: RM sagital en T1. Lesión osteocondral en el borde posterosuperior de la cabeza humeral, por pinzamiento.

Fig 98. Pinzamiento interno mixto.
A: Rx AP. Formación de osteofitos en la parte inferior de la articulación glenohumeral.
B: TAC axial y C: TAC reconstrucción sagital. Lesiones osteocondrales en la parte posterior de la articulación glenohumeral (Flechas delgadas), por pinzamiento posterior y osteofitos,
disminución del espacio coracohumeral y erosión de la glenoides (Flechas gruesas), por pinzamiento anterior.
| Fecha de creación | Marzo 1 de 2011 |
| Fecha de actualización | Enero 13, 2014 |