PINZAMIENTO EXTERNO.
El pinzamiento subacromial es la causa mas común y responsable de la mitad de los casos de hombro doloroso. Ocurre por atrapamiento del manguito rotador, en un arco coracoacromial estrecho. (1, 23).
Es ocasionado por osteofitos en la articulación acromioclavicular, el borde inferior del acromión, las tuberosidades humerales y la os acromial (Centro de osificación no fusionado). La configuración del acromión tipo 3 y en ocasiones el tipo 2, también están asociados a esta alteración. (2, 21).
El arco acromial es valorado en proyección AP y outlet. Se puede identificar osteoartrosis acromioclavicular, esclerosis, formación de osteofitos y quistes subcondrales. Se debe tener en cuenta que estos hallazgos pueden verse en pacientes asintomáticos y sin enfermedad del manguito rotador. (23). (Fig 81 a 86).

Fig 81. Pinzamiento externo.
A: Rx AP. Formación de osteofito en la parte inferior del acromión.
B: Rx AP. Presencia de osteofitos, sobre la topografía de las tuberosidades.

Fig 82. Cambios degenerativos en articulación acromioclavicular.
A: Rx AP y B: Rx AP con angulación caudal a 30·. Presencia de osteofitos en la parte inferior de la articulación acromioclavicular, que producen sindrome de pinzamiento.

Fig 83. Cambios degenerativos en articulación acromioclavicular.
A y B: Ecografía coronal. Osteofitos en la articulación acromioclavicular (Flechas delgadas), con la presencia de líquido (Flechas gruesas) por cambios degenerativos.

Fig 84. Cambios degenerativos.
A: Rx AP. Se observan osteofitos en el borde inferior del acromión (Flecha gruesa) y sobre la tuberosidad mayor (Flecha delgada).
B: Ecografía coronal. Zona ecogénica en el borde superior del húmero, que corresponde a osteofito, (Flecha delgada), el cual comprime y adelgaza el tendón del supraespinoso. (Flecha gruesa).

Fig 85. Cambios degenerativos.
A: TAC reconstrucción coronal y B: TAC reconstrucción sagital. Ruptura del tendón supraespinoso, con pérdida del espacio del arco coracoacromial.

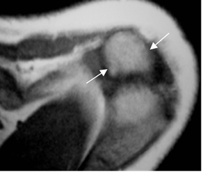
Fig 86. Os acromial.
RM axial en T1. Centro de osificación no fusionado, a nivel del acromión.
Con la RM se pueden valorar adicionalmente los tejidos blandos: Tendones, ligamentos y bursas.
Los cambios degenerativos en la articulación acromioclavicular son muy frecuentes, pero poco específicos de síndrome de pinzamiento. (23). (Fig 87 y 88).
La bursitis subacromio-subdeltoidea asociada, puede visualizarse con ecografía y RM. Se diagnostica por la presencia de líquido o aumento de su tamaño. (23).

Fig 87. Cambios degenerativos en articulación acromioclavicular.
A: RM coronal en T1 y B: RM coronal en T2. Cambios degenerativos en la articulación acromioclavicular, que comprimen el tendón del supraespinoso. (Flechas).

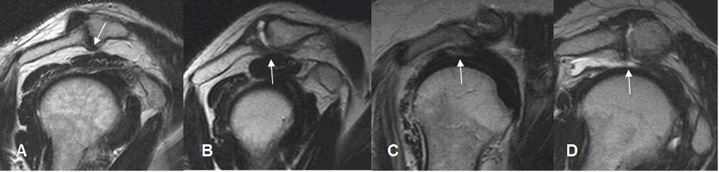
Fig 88. Cambios degenerativos en articulación acromioclavicular.
A, B, C y D: RM sagital en T2. Cambios degenerativos en la articulación acromioclavicular, en diferentes grados. En A sin contactar con el tendón del supraespinoso. En B, en contacto con el tendón, pero sin producir cambios. En C pinzamiento, con zona hiperintensa del tendón, por tendinitis o ruptura parcial y en D ausencia del tendón, por ruptura completa.
| Fecha de creación | Marzo 1 de 2011 |
| Fecha de actualización | Octubre 8, 2011 |