PATOLOGIA DE LA CABEZA LARGA DEL BICEPS.
Esta estructura es muy importante, porque hasta el 52% de los casos de dolor crónico del hombro, es debido a tendinopatía aislada de la cabeza larga del biceps o asociada con lesiones del manguito rotador. (28).

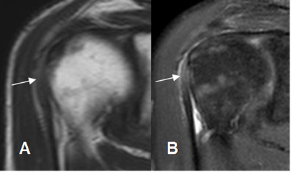
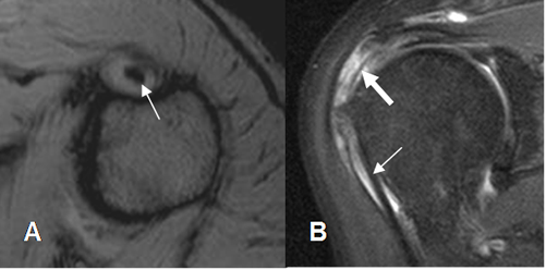
Fig 148. Tendinitis aguda de la cabeza larga del bíceps.
A: RM coronal en T1 y B: RM coronal en STIR. Tendón de la cabeza larga del biceps hiperintenso en T1 y STIR, por inflamación aguda.

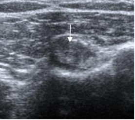
Fig 149. Tendinitis crónica de la cabeza larga del bíceps.
Ecografía coronal. Engrosamiento de la cabeza larga del biceps, por tendinitis crónica.

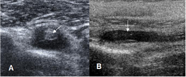
Fig 150. Tenosinovitis de la cabeza larga del bíceps.
A: Ecografía coronal. Cabeza larga del biceps completamente rodeada por líquido, secundario a tenosinovitis.
B: Ecografía sagital. Presencia de líquido en la corredera bicipital, por tenosinovitis.

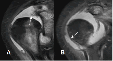
Fig 151. Tenosinovitis de la cabeza larga del bíceps.
A: RM axial en FFE y B: RM coronal en STIR. Tendón de la cabeza larga del biceps completamente rodeado por líquido, por tenosinovitis.

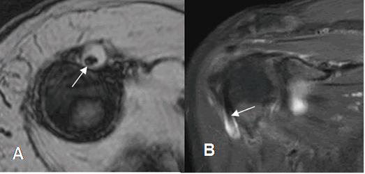
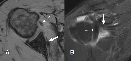
Fig 152. Tenosinovitis de la cabeza larga del bíceps.
A: RM axial en FFE y B: RM coronal en STIR. El tendón de la cabeza larga del biceps está rodeado por líquido, por tenosinovitis. En B hay adelgazamiento del tendón del supraespinoso y cambios inflamatorios, por ruptura parcial. (Flecha gruesa).

Fig 153. Ruptura del biceps.
A: RM coronal en STIR: Ruptura retraída de la cabeza larga del biceps, con el extremo en la corredera bicipital.
B: RM axial en FFE. Corredera bicipital vacía y ocupada por líquido.

Fig 154. Ruptura del biceps.
A: y B: RM sagital en STIR. Ruptura retraída de la cabeza larga del bíceps en su origen, con el extremo distal a nivel de la corredera.
Fig 155. Luxación del biceps.
A: RM axial en FFE y B: ArtroRM axial en STIR. Corredera bicipital vacía (Flechas delgadas),
con “luxación” medial, de la cabeza larga del biceps. (Flechas gruesas).

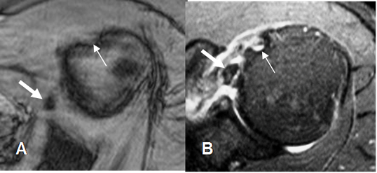
Fig 156. Luxación del biceps.
A: RM axial en FFE y B: RM coronal en STIR. “Luxación” medial de la cabeza larga del biceps. (Flecha delgada), con ruptura retraída del tendón del subescapular. (Flecha gruesa).
| Fecha de creación | Marzo 1 de 2011 |
| Fecha de actualización | Diciembre 2, 2013 |