TENDINITIS DEL MANGUITO.
La tendinosis corresponde a una degeneración del tendón, con o sin cambios inflamatorios asociados. (24).
No se aprecian cambios en la Rx simple.
Con la ecografía, se encuentra líquido rodeando el tendón en los casos agudos.
(Fig 128). Tardíamente el tendón se aprecia heterogéneo y engrosado al comparar con el contralateral, con zonas hipoecoicas y neovascularización en el estudio doppler. (10, 25).
Se considera un tendón engrosado cuando el espesor es mayor de 2 mm, al comparar con el contralateral. (23). (Fig 129, 130 y 131).

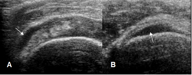
Fig 128. Tendinitis del supraespinoso.
A y B: Ecografía coronal. Cambios inflamatorios del supraespinoso, con líquido en la superficie bursal en A y sobre la superficie humeral en B.

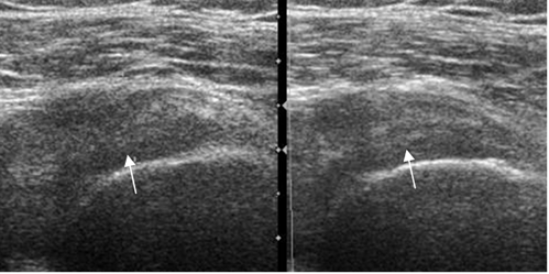
Fig 129. Tendinitis crónica del supraespinoso.
Ecografía coronal. Tendón del supraespinoso engrosado, por inflamación crónica.

Fig 130. Tendinitis crónica del supraespinoso.
A y B: Ecografía coronal. Tendón del supraespinoso engrosado y con alteración de su ecogenicidad, con áreas hipoecoicas (Flechas delgadas) e hiperecoicas (Flechas gruesas), por inflamación crónica.

Fig 131. Tendinitis crónica del supraespinoso.
Ecografía doppler coronal. Neoformación vascular (Flechas), secundario a tendinitis crónica.
En la RM se encuentra líquido rodeando el manguito rotador e hiperintensidad del tendón en los casos agudos. Alteración grado 1, en la señal del tendón en DP y T2. (1). (Fig 132, 133 y 134).
En las alteraciones crónicas existe fibrosis y engrosamiento del tendón. Estas lesiones pueden reagudizarse, existiendo nuevamente hiperintensidad del tendón y lesiones por ruptura parcial. (Fig 135 a 138).

Fig 132. Tendinitis aguda del supraespinoso.
A: RM coronal en T1 y B: RM coronal en STIR. Tendón del supraespinoso hiperintenso y rodeado por líquido, por inflamación aguda.

Fig 133. Tendinitis aguda del supraespinoso.
A: RM coronal en T1, B: RM coronal en T2 y C: RM coronal en STIR. Hiperintensidad sobre la inserción del supraespinoso en todas las secuencias, por inflamación aguda.

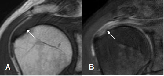
Fig 134. Tendinitis aguda del supraespinoso.
RM sagital en T2. Tendón supraespinoso hiperintenso, (Flecha gruesa), con líquido en la bursa SASD. (Flechas delgadas).

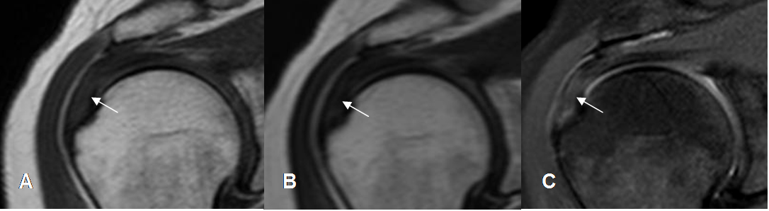
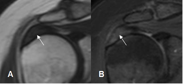
Fig 135. Tendinitis crónica del supraespinoso.
A: RM coronal en T1 y B: RM coronal en T2. Engrosamiento del tendón supraespinoso, el cual es hipointenso en ambas secuencias, por fibrosis secundaria a inflamación crónica. (Flechas gruesas). Además hay lesiones osteocondrales en la cabeza del húmero. (Flechas delgadas).

Fig 136. Tendinitis crónica del supraespinoso.
RM sagital en T2. Tendón supraespinoso engrosado e hipointenso, por fibrosis secundaria a inflamación crónica.

Fig 137. Tendinitis crónica reagudizada del supraespinoso.
A: RM coronal en T1 y B: RM coronal en STIR. Tendón engrosado por patología crónica. Muestra alteración de su señal, con hiperintensidad en STIR, por inflamación aguda.

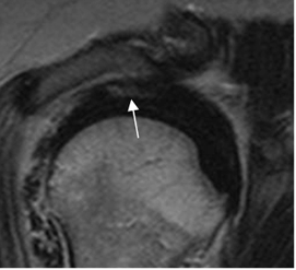
Fig 138. Tendinitis crónica reagudizada del supraespinoso.
RM sagital en T2. Tendón del supraespinoso engrosado por patología crónica. Hacia la superficie bursal hay zona hiperintensa, por tendinitis o ruptura parcial. (Flecha).
TENDINITIS CALCIFICADA:
Consiste en un depósito de cristales de calcio, en el tendón del supraespinoso. (24).
En la Rx se identifica la calcificación medial o superior a la tuberosidad mayor.
Con la ecografía, se aprecia zona ecogénica dentro del tendón que produce sombra acústica, imagen densa en el TAC y en la RM, cambios inflamatorios, con área de ausencia de señal. (24). (Fig 139, 140 y 141).

Fig 139. Tendinitis crónica del supraespinoso.
Rx AP. Calcificación alargada sobre la topografía del tendón del supraespinoso, por tendinitis crónica.

Fig 140. Tendinitis calcificada del supraespinoso.
A: Rx AP. Calcificación proyectada sobre la inserción del supraespinoso, por tendinitis crónica.
B: Ecografía coronal. Lesiones hiperintensas sobre el tendón, que producen sombra acústica, por inflamación crónica.

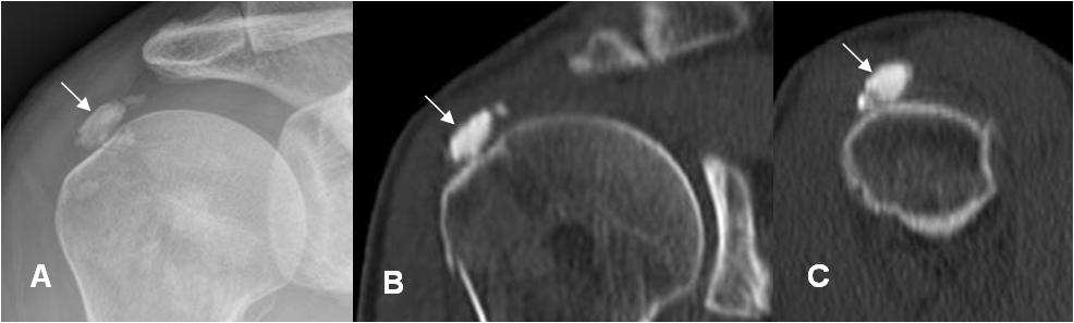
Fig 140 A. Tendinitis calcificada.
A: Rx AP, B: TAC reconstrucción coronal y C: TAC reconstrucción sagital. Imagen ovalada y densa, en el tendón del supraespinoso, que corresponde a tendinitis calcificada.

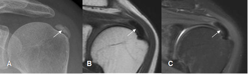
Fig 141. Tendinitis calcificada del supraespinoso.
A: Rx AP de Hombro. Calcificación sobre el tercio distal del tendón del supraespinoso, por tendinitis crónica.
B: RM coronal en T1 y C: RM coronal en STIR. Zona con ausencia de señal en el tercio distal del supraespinoso, que corresponde a la calcificación gruesa.
| Fecha de creación | Marzo 1 de 2011 |
| Fecha de actualización | Septiembre 28, 2015 |