RUPTURA DEL SUPRAESPINOSO.
Es la mas frecuente causa de dolor del hombro y la 3º mas común de dolor corporal, después de la cefalea y el dolor lumbar. (12).
Puede ser secundario a una luxación de la articulación glenohumeral o una abducción súbita del brazo, contra resistencia. (21).
La edad es importante, porque su prevalencia aumenta con el tiempo. Hasta
el 40% de pacientes asintomáticos sobre los 50 años, tienen una ruptura completa del manguito rotador. Más del 60% de pacientes sintomáticos y mayores de 60 años, tienen una ruptura parcial o completa. (24). Con frecuencia se encuentran rupturas del manguito en pacientes asintomáticos, especialmente después de los 60 años. Esta patología debe ser tratada, para evitar una artropatía degenerativa severa.
Se caracteriza por dolor e incapacidad muscular.
La patogénesis es controvertida y se han propuesto 2 teorías: (2).
En la proyección outlet puede encontrarse un acromión tipo 3, que se relaciona con ruptura del manguito rotador. (24). Igualmente se pueden encontrar calcificaciones y osteofitos. (Fig 99 y 100).
El húmero puede migrar superiormente y se reduce el espacio glenohumeral a menos de 7 mm. En los casos crónicos aparece una artropatía con remodelación, esclerosis y quistes subcondrales. (24).

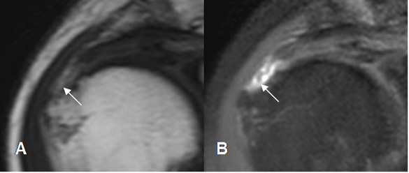
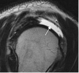
Fig 99. Ruptura del supraespinoso.
A: RM sagital en T2. No visualización del supraespinoso por debajo de la articulación acromioclavicular, secundario a ruptura,
B: RM sagital en T2. Ruptura del supraespinoso, en asocio a un acromión tipo 3.

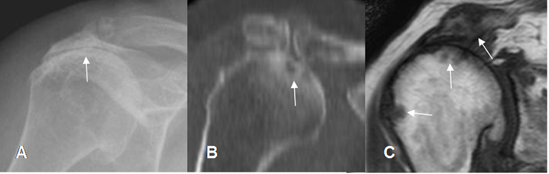
Fig 100. Ruptura del supraespinoso.
A: Rx AP. Cambios degenerativos con pérdida del espacio acromiohumeral y esclerosis asociada, por ruptura del supraespinoso.
B: TAC reconstrucción sagital y C: RM coronal en T1. Ruptura del supraespinoso, con pérdida del espacio acromiohumeral y lesiones osteocondrales.
La ecografía de hombro, es una modalidad muy utilizada. Existen muchos factores que influyen, pero se reporta sensibilidad y especificidad, mayor del 90%, para la detección de rupturas completas y parciales. (9).
Con la ecografía no se puede diferenciar los estados 1 y 2 del síndrome de pinzamiento. (1).
La ruptura parcial se manifiesta como alteración del patrón fibrilar, con un defecto focal y bien definido del tendón hipo o anecoico, en la superficie humeral, bursal o intrasustancia. (9, 10, 24). (Fig 101 y 102).
En los casos crónicos, existe una zona ecogénica por fibrosis reparativa o calcificación, con sombra acústica. (10). (Fig 103 y 104).
Otros hallazgos asociados son la irregularidad en la cortical humeral y la pérdida de la convexidad el tendón. (3, 9). (Fig 105 y 106).
Los cambios intrasustancia producen un alto porcentaje de falsos positivos, porque no pueden ser comprobados por artrografía, artroscopia o cirugía. (3). (Fig 107).

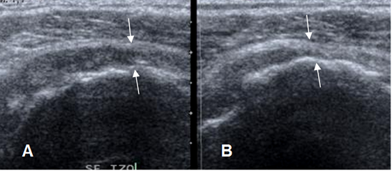
Fig 101. Ruptura parcial del supraespinoso.
Ecografía coronal. Area hipoecoica en el tendón, por ruptura parcial.

Fig 102. Ruptura parcial del supraespinoso.
A y B: Ecografía coronal. Zonas hipoecoicas en la superficie humeral, por ruptura parcial.

Fig 103. Fibrosis del supraespinoso.
A, B y C: Ecografía coronal. Imágenes hiperecoicas dentro del tendón del supraespinoso, que no producen sombra acústica, por fibrosis.

Fig 104. Calcificación del supraespinoso.
A y B: Ecografía coronal. Zonas hiperecoicas y con sombra acústica en el tendón del supraespinoso, por calcificación.

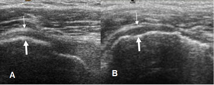
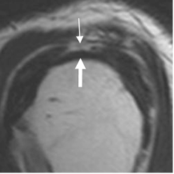
Fig 105. Irregularidad en la cortical.
A: Rx AP y B: Ecografía coronal. Irregularidad en el borde superior de la cabeza humeral, que se traduce en la ecografía, como imágenes ecogénicas. (Flechas delgadas). El tendón del supraespinoso ha perdido su convexidad superior, por ruptura parcial. (Flecha gruesa).

Fig 106. Pérdida de la convexidad del tendón.
Ecografía coronal. Pérdida de la concavidad superior del tendón supraespinoso, por ruptura parcial. (Flecha delgada). Normalmente el reborde del tendón es paralelo, a la cabeza del húmero. (Flecha gruesa).

Fig 107. Ruptura intrasustancia.
A y B: Ecografía coronal. Lesiones anecoicas dentro del tendón supraespinoso, por ruptura parcial. Como no se comunican con la superficie bursal o humeral, no son detectables con otros procedimientos, excepto la RM.
En la ecografía hay 2 signos mayores de ruptura completa: (9, 24).
Otros hallazgos asociados son presencia de líquido rodeando la cabeza larga del bíceps, liquido en la bursa SASD y la atrofia muscular. (9, 24).

Fig 108. Ruptura del supraespinoso.
A, B y C: Ecografía coronal. Solución de continuidad de espesor completo en el tendón del supraespinoso, que está ocupada por líquido, secundario a ruptura completa. Extremo del tendón retraído. (Flecha gruesa).

Fig 109. Ruptura del supraespinoso.
A y B: Ecografía coronal. No visualización del tendón supraespinoso, por ruptura retraida. Bursa SASD (Flecha delgada) y cabeza humeral (Flecha gruesa).

Fig 110. Compresión en ruptura completa del supraespinoso.
A: Ecografía coronal. Ruptura del supraespinoso. Espacio ocupado por líquido, con ecos internos.
B: Ecografía coronal. El mismo paciente con compresión del transductor. Disminución del espacio entre la bursa SASD y el húmero (Flechas), que confirman la ruptura completa.
La RM es el gold estándar para valorar los síndromes de pinzamiento y la ruptura del manguito rotador.
En ocasiones es difícil distinguir entre degeneración, tendinitis o ruptura parcial. Sin embargo este detalle es poco importante clínicamente, porque todos reciben inicialmente manejo médico y no quirúrgico (1, 25).
Los signos de lesión del manguito rotador en RM son:

Fig 111. Tendinitis del supraespinoso.
A: RM coronal en T1 y B: RM coronal en STIR. Cambios inflamatorios en la articulación acromioclavicular, que producen pinzamiento externo. Pérdida de la grasa SASD (Flechas delgadas) y tendinitis del supraespinoso (Flechas gruesas), el cual es hipointenso en T1 e hiperintenso en STIR.

Fig
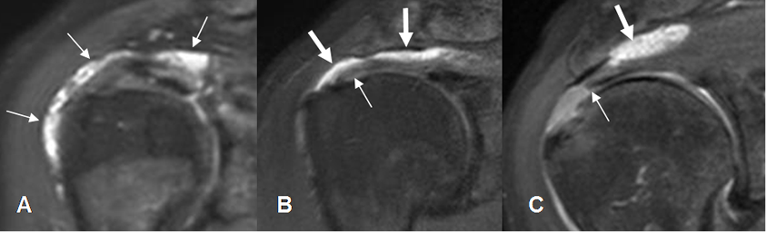
112. Líquido en la bursa SASD.
A: RM coronal en STIR. Presencia de líquido con sinovitis asociada, por bursitis.
B: RM coronal en STIR. Tendinitis del supraespinoso (Flecha delgada), con líquido en la bursa SASD. (Flechas gruesas).
C: RM coronal en STIR. Ruptura retraída del supraespinoso (Flecha delgada), con líquido a nivel subacromial. (Flecha gruesa).
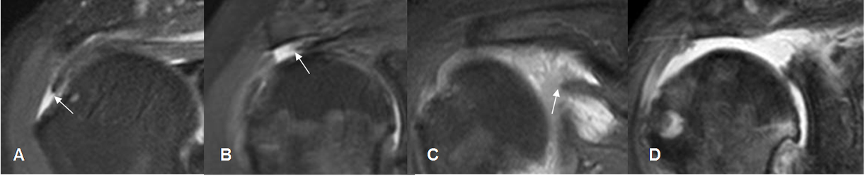
Fig 113. Alteración en la señal del supraespinoso.
A, B, C y D: RM coronal en T2. Distintos hallazgos patológicos, en el tendón del supraespinoso. Grado 0: Tendón normal en A. Grado 1: Tendinitis en B. Grado 2: Ruptura parcial en C y Grado 3: Ruptura completa en D.

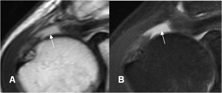
Fig 114. Ruptura parcial del supraespinoso.
A y B: RM coronal en STIR. Ruptura parcial del supraespinoso en la superficie humeral, con retracción de algunas fibras. (Flechas).
Las rupturas parciales del manguito se caracterizan porque no existe una comunicación entre el liquido articular y la bursa SASD. Pueden comprometer la superficie bursal, humeral o ser intrasustancia y aparecen en la zona crítica. (10). (Fig 115 a 118).
En las rupturas completas, existe comunicación entre la superficie bursal y humeral. (24).
La ArtroRM mejora la sensibilidad, sobre todo en las rupturas parciales que comprometen la superficie articular. (1).

Fig 115. Ruptura intrasustancia del supraespinoso.
A y B: RM coronal en T2. Rupturas intrasustancia del supraespinoso, que no se comunican con las superficies bursal, ni humeral.

Fig 116. Ruptura parcial del supraespinoso.
A: RM coronal en T2 y B: RM coronal en STIR. Ruptura parcial del tendón supraespinoso hacia la superficie humeral (Flechas delgadas), con fibras íntegras en la superficie bursal. (Flechas gruesas).

Fig 117. Ruptura parcial del supraespinoso.
A: RM coronal en T2 y B: RM coronal en STIR. Ruptura parcial del tendón supraespinoso hacia la superficie bursal (Flechas delgadas), con fibras íntegras en la superficie humeral. (Flechas gruesas).

Fig 118. Ruptura parcial del supraespinoso.
RM sagital en T2. Ruptura parcial del tendón supraespinoso en la superficie bursal (Flechas delgadas), con fibras íntegras en la superficie humeral. (Flechas gruesas).
Las rupturas parciales pueden clasificarse de acuerdo a su profundidad en: (2). (Fig 119).
El adelgazamiento del tendón supraespinoso, también es considerado como ruptura parcial grado III. (2). Se diagnostica cuando el espesor del tendón en su parte distal, es menor de 4 mm, en una longitud de 1 cm o mas. (1). (Fig 120 y 121).

Fig 119. Ruptura parcial del supraespinoso.
A, B y C: RM coronal en T2. Diferentes grados de ruptura parcial del supraespinoso.
En A menor de 3 mm, B entre 3 y 6 mm y C, mayor de 6 mm.

Fig 120. Ruptura parcial del supraespinoso.
Ecografía coronal. Adelgazamiento del tendón supraespinoso en A, por ruptura parcial.
Tendón normal, en el lado contralateral, foto B.

Fig 121. Ruptura parcial del supraespinoso.
A y B: RM coronal en STIR. Tendón supraespinoso adelgazado y rodeado por líquido, por ruptura parcial.
Una ruptura completa del manguito, debe ser reportada únicamente si es muy clara. (16). Es muy importante informar el tamaño de la ruptura, el grado de retracción y atrofia muscular, para planificar el tratamiento. (16). (Fig 122, 123 y 124).
Las rupturas completas se ha clasificado, de acuerdo al grado de retracción en: (2). (Fig 125).

Fig 122. Ruptura del supraespinoso.
A: RM coronal en T2: No visualización del tendón supraespinoso a nivel de su inserción, con presencia de líquido.
B: RM coronal en STIR. Se confirma la ruptura completa, con un tendón muy adelgazado y levemente retraído.

Fig 123. Ruptura del supraespinoso.
A: RM coronal en T2y B: RM coronal en STIR. Ruptura completa del tendón, con espacio ocupado por líquido.
Fig 124. Ruptura completa del supraespinoso.
RM sagital en T2. Ausencia del tendón supraespinoso, por ruptura completa. El espacio está ocupado por líquido.
Fig 125. Retracción en las rupturas del supraespinoso.
A, B, C y D: RM coronal en STIR. Diferentes grados de retracción, en rupturas completas del supraespinoso. A: Pequeña, B: Mediana,
C: Larga y D: Masiva.
La reparación de una ruptura no tiene un buen resultado, si se pierde la capacidad de contracción del músculo. Esta pérdida de contracción, es secundaria a la presencia de atrofia. (2).
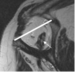
La atrofia se identifica con el signo de la tangente. (2). Normalmente en un corte sagital, el músculo supraespinoso cruza la línea que une el borde superior de la espina de la escápula y la coracoides. En casos de atrofia, el borde superior del músculo, se localiza inferior a esta línea. (Fig 126 y 127).

Fig 126. Atrofia del supraespinoso.
RM sagital en T2. Ruptura de evolución crónica, con atrofia del supraespinoso. El músculo se sitúa por debajo de la línea tangente.

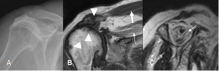
Fig 127. Degeneración grasa del supraespinoso.
A: RX AP. Pérdida del espacio acromiohumeral con cambios degenerativos asociados, por ruptura del supraespinoso.
B: RM coronal en T1 y C: RM sagital en T2. Ausencia del supraespinoso y cambios degenerativos en la cabeza femoral y la articulación acromioclavicular. (Puntas de flecha). El músculo supraespinoso presenta degeneración grasa de sus fibras, por lesión crónica. (Flechas delgadas). Comparar con el músculo trapecio normal. (Flecha gruesa).
| Fecha de creación | Marzo 1 de 2011 |
| Fecha de actualización | Diciembre 2, 2013 |