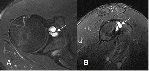
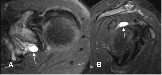
QUISTE PARALABRAL.
Se forma por salida de líquido articular que se acumula en los tejidos blandos, luego de una ruptura labrocapsular. (6).
Su mas común localización es postero-superior.
Puede ocasionar síndrome de hombro doloroso, al comprimir el nervio supraescapular en la parte superior o el axilar en la inferior. (6). (Fig 79 y 80).

Fig 79. Quiste paralabral.
A: RM axial en STIR y B: RM sagital en STIR. Imagen ovalada y de consistencia líquida, en la parte anterosuperior de la glenoides, que corresponde a quiste paralabral.

Fig 80. Quiste paralabral.
A: RM axial en STIR y B: RM sagital en STIR. Imagen ovalada y de consistencia líquida, en la parte posterosuperior de la glenoides, que corresponde a quiste paralabral.
| Fecha de creación | Marzo 1 de 2011 |
| Fecha de actualización | Septiembre 21, 2011 |