CAPSULITIS ADHESIVA.
También conocido como hombro congelado y es un síndrome doloroso, tanto en reposo como en movimiento. (24).
Aparece más frecuentemente en mujeres, en la 5º década de la vida. (10).
Es producida por engrosamiento, fibrosis y retracción de la cápsula articular por causa secundaria o idiopática. (10, 24).
En la ecografía se aprecia aumento de la vascularidad y disminución de la ecogenicidad en el intervalo rotador. (10).
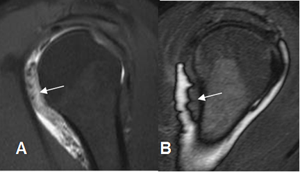
El principal criterio para hacer el diagnóstico, es el engrosamiento de la sinovial mayor de 4 mm, en las secuencias sagitales de RM. (27).
Otros hallazgos en la artroRM son poco o ausencia de llenado del receso axilar o del tendón de la cabeza larga del biceps, irregularidad en la inserción capsular, volumen articular menor de 10 cc y dolor después de la inyección de menos de 10 cc de contraste.(27).

Fig 147. Capsulitis adhesiva.
A y B: ArtroRM sagital en STIR. Engrosamiento de la sinovial mayor de 4 mm, por capsulitis adhesiva.
| Fecha de creación | Marzo 1 de 2011 |
| Fecha de actualización | Septiembre 21, 2011 |