BURSTITIS DE HOMBRO.
En la articulación del hombro hay varias bursa que se pueden inflamar y producir sintomatología.
Fig 142. Bursitis subacromial.
Ecografía coronal. Colección líquida irregular y con ecos internos sobre la bursa SASD,
por bursitis.

Fig 143. Bursitis subacromial.
RM coronal en STIR. Colección a nivel subacromial, por bursitis. (Flecha delgada). En tendón del supraespinoso es hiperintenso, por tendinitis asociada. (Flecha gruesa).
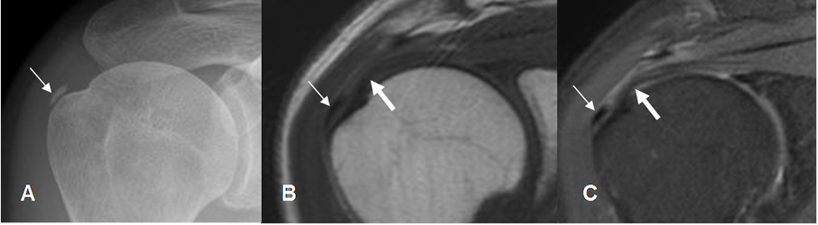
Fig 144. Bursitis subdeltoidea crónica.
A: Rx AP. Calcificación gruesa por encima de la tuberosidad mayor, por tendinitis o bursitis crónica.
B: RM coronal en T1 y C: RM coronal en STIR. Ausencia de señal por calcificación gruesa (Flecha delgada), por encima del tendón del supraespinoso el cual conserva su señal. (Flecha gruesa). Los cambios son compatibles con bursitis crónica.

Fig 145. Bursitis subcoracoidea.
A: RM sagital en T2. Colección líquida por delante del músculo subescapular (Flecha delgada) y por debajo de la coracoides (Flecha gruesa), que corresponde a bursitis subcoracoidea.
B: RM coronal en STIR. Colección líquida por debajo de la coracoides (Flecha delgada), que corresponde a bursitis subcoracoidea.

Fig 146. Bursitis subescapular.
A: y B: RM sagital en T2. Colección líquida entre el músculo subescapular (Flechas
delgadas) y la apófisis coracoides (Flechas gruesas).
| Fecha de creación | Marzo 1 de 2011 |
| Fecha de actualización | Octubre 8, 2011 |