LESION SLAP.
También conocida como lesión SLAP (Superior labral anteroposterior), donde se produce ruptura del labrum superior, orientada de anterior a posterior. (17).
Son lesiones raras de personas jóvenes, donde existe compromiso variable del origen de la cabeza larga del biceps. (7). (Fig 74, 75 y 76).
Inicialmente fueron clasificadas en 4 tipos, con base en los hallazgos artroscópicos: (17, 18).
Posteriormente se agregaron otros 3 tipos: (18).

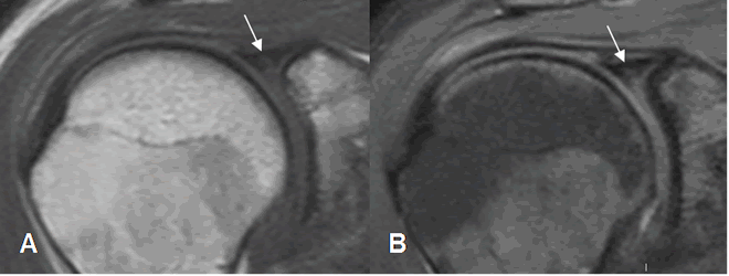
Fig 74. Lesión SLAP.
A: RM coronal en T1 y B: RM coronal en STIR. Imagen hiperintensa y en sentido oblicuo sobre el labrum superior, por lesión SLAP.

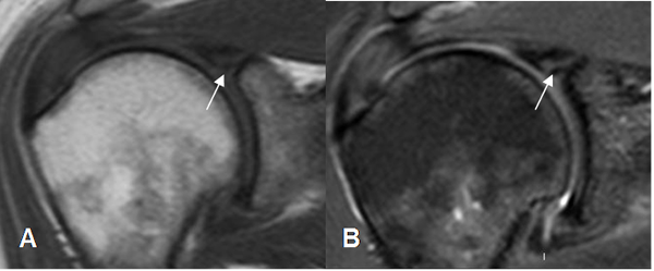
Fig 75. Lesión SLAP.
A: RM coronal en T1 y B: RM coronal en STIR. Imagen hiperintensa y en sentido transverso sobre el labrum superior, por lesión SLAP.

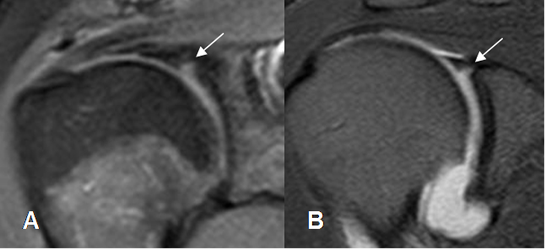
Fig 76. Lesión SLAP.
A: RM coronal en STIR y B: ArtroRM coronal en STIR. Defecto amplio en el labrum superior, por lesión SLAP, que se extiende al origen de la cabeza larga del biceps y confirmada en la ArtroRM.
| Fecha de creación | Marzo 1 de 2011 |
| Fecha de actualización | Septiembre 21, 2011 |