LESIONES LIGAMENTARIAS.
Pueden lesionarse los ligamentos glenohumerales superior, medio o inferior. (Fig 77 A y B).

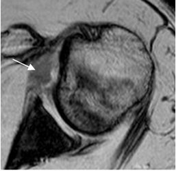
Fig 77A. Engrosamiento del LGHM.
RM axial en GE. Engrosamiento del LGHM, por lesión residual.

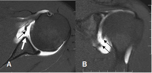
Fig 77 B. Ruptura del LGH medio.
A: ArtroRM axial en STIR. Lesión de Bankart (Flecha gruesa), en asocio con ruptura del LGHM. (Flecha delgada).
B: ArtroRM sagital en STIR. Ruptura del LGHM, con los extremos señalados con las flechas.
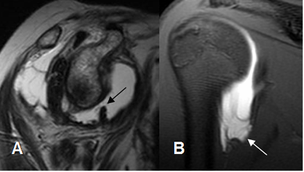
Para su diagnóstico se requiere de ArtroRM. En los cortes coronales, el receso axilar adquiere forma de “J” invertida. (Fig 78 A).

Fig 78 A. Ruptura del LGH inferior.
A: RM sagital en T2. Ruptura en la banda posterior del LGHI.
B: ArtroRM coronal en STIR. Ausencia de la banda anterior del LGHI, por ruptura.
Hay alteración en la configuración del receso axilar. (Flecha).

Fig 78 B. Lesión BHGLA.
A: Rx AP y B: Rx axial. Fragmento óseo en la parte interna del brazo, que corresponde a avulsión, por ruptura del ligamento glenohumeral inferior.
| Fecha de creación | Marzo 1 de 2011 |
| Fecha de actualización | Septiembre 28, 2015 |