LESION DEL LABRUM POSTERIOR.
El Bankart invertido tiene similares características que el Bankart clásico, pero con lesión del labrum posterior. (6).
(Fig 72 A, 72 B y 72 C).
En la variante de POLSA, hay ruptura del labrum y permanece integro el periostio. (6). (Fig 73 A y B).
En la lesión de Bennet se encuentra avulsión de la cápsula posterior, lesión del labrum posterior y ruptura del manguito rotador. (6). Produce calcificación y esclerosis del labrum. (6).

Fig 72 A. Bankart invertido.
A: Rx AP. Incremento del espacio glenohumeral, por luxación posterior.
B: TAC axial y C: TAC reconstrucción sagital. Luxación glenohumeral posterior, con fractura impactada de la cabeza humeral, en la glenoides posterior.

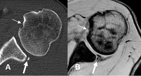
Fig 72 B. Lesión de Bankart posterior.
A: TAC axial. Fractura en la glenoides posterior.
B: RM axial en FFE. Ruptura del labrum y la glenoides posterior por Bankart óseo invertido.

Fig 72 C. Lesión Bankart óseo y Hill Sachs invertido.
A: TAC axial y B: RM axial en FFE T2. Aplanamiento de la parte anteromedial de la cabeza humeral, por lesión de Hill Sachs invertido. (Flechas delgadas). Adicionalmente hay defecto óseo en la parte posterior de la glenoides, por lesión de Bankart invertido.(Flechas gruesas).

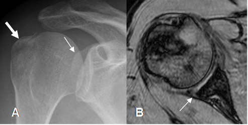
Fig 73 A. Lesión de Bankart posterior.
A: Rx AP. Luego de la reducción de una luxación posterior, se encuentra fragmento suelto en la parte posterior de la glenoides (Flecha delgada) y fractura de la tuberosidad menor (Flecha gruesa).
B: RM axial en FFE. Desprendimiento del labrum posterior permaneciendo integro el periostio, por lesión POLSA.

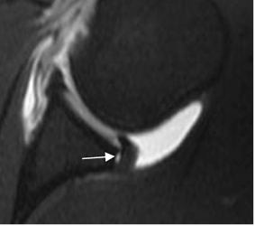
Fig 73 B. Lesión POLSA.
ArtroRM axial en STIR. Defecto en el labrum posterior, el cual se llena de contraste y sin ruptura del periostio, por lesión POLSA.
| Fecha de creación | Marzo 1 de 2011 |
| Fecha de actualización | Julio 11, 2016 |