LESION DE BANKART Y VARIANTES.
La inestabilidad glenohumeral es una causa común de hombro doloroso y pérdida de la función. Se relaciona con luxación o subluxación sintomática y sus secuelas. (15).
Hay varios tipos y la antero-inferior es responsable del 95% de los casos. El 5% restante corresponde a inestabilidad posterior, inferior, superior o multidireccional. (15).
Puede clasificarse en: (6, 15, 16).
En los pacientes jóvenes los estudios van dirigidos a evaluar la extensión de la lesión labral y ósea y en los mayores, el objetivo es determinar la integridad del manguito rotador. (16).
Lesion del labrum antero-inferior:
La lesión de Bankart, es la alteración traumática mas común asociada a la inestabilidad. (6,15). En el Bankart clásico, se aprecia ruptura del complejo capsulolabral antero-inferior y el periostio escapular, con o sin fractura de la glenoides. (7). (Fig 61 a 66).

Fig 61. Diagrama de Bankart clásico.
Ruptura del labrum anterior y el periostio.

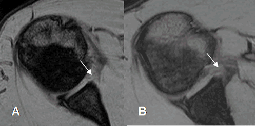
Fig 62. Lesión de Bankart.
A y B: RM axial en FFE. Alteración en la parte antero-inferior del labrum por lesión de Bankart.

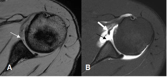
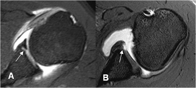
Fig 63. Lesión de Bankart.
A: RM axial en FFE y B: ArtroRM axial. Signos de lesión de Bankart, que se confirma en la ArtroRM. (Flecha delgada). Adicionalmente hay ruptura del LGH medio. (Flecha gruesa).

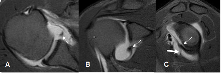
Fig 64. Lesión de Bankart.
A: ArtroRM axial y B: ArtroRM coronal en STIR. Desprendimiento del labrum antero-inferior, por lesión de bankart.
C: ArtroRM sagital en STIR. El desprendimiento del labrum, se presenta sobre la inserción del LGH medio. (Flecha gruesa).

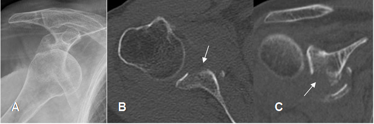
Fig 65. Lesión de Bankart óseo.
A: Rx AP. Signos de luxación anterior.
B: TAC axial y C: TAC reconstrucción coronal. Fractura del reborde antero-inferior de la glenoides, con fragmentos sueltos, por bankart óseo.

Fig 66 A. Lesión de Bankart óseo.
A: Rx AP. Después de la reducción de una luxación anterior, existe alteración en el borde inferior de la glenoides.
B: RM axial en FFE. Lesión del labrum anterior y reborde anterior de la glenoides, por Bankart óseo.

Fig 66 B. Lesión de Bankart óseo.
RM axial en FFE T2. Fractura de la glenoides anterior, por lesión de Bankart óseo. (Flecha delgada). Adicionalmente hay signos de tenosinovitis de la cabeza larga del bíceps (Flecha gruesa) y signos de sinovitis.
Existen 2 variantes de este tipo de lesión: (15).
El diagnóstico de estas lesiones se hace con RM y la ArtroRM es el estudio de elección.
Se aprecia alteración en la señal y configuración del labrum, con ruptura o no del periostio. La presencia de líquido o contraste dentro del labrum, es el mejor indicador de ruptura. (6).

Fig 67. Diagrama de lesión GLAD.
Ruptura no desplazada del labrum anterior.

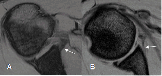
Fig 68. Lesión GLAD.
A y B: ArtroRM axial en STIR. Defectos en el labrum anterior, por lesión tipo GLAD. (Flechas).

Fig 69. Diagrama de lesión ALPSA.
Ruptura desplazada del labrum anterior, conservándose íntegro el periostio.

Fig 70. Lesión ALPSA.
Ay B: RM axial en FFE. Desprendimiento del labrum anterior, pero permanece unido al periostio íntegro. (Flechas).

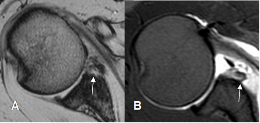
Fig 71. Lesión ALPSA.
A: RM axial en FFE. Signos de lesión de Bankart óseo.
B: ArtroRM axial en STIR. Con esta prueba se confirma la lesión de Bankart, pero el periostio (Flecha) permanece intacto por variante ALPSA.
| Fecha de creación | Marzo 1 de 2011 |
| Fecha de actualización | Mayo 19, 2016 |