ARTROPATIAS DEL HOMBRO.
Como todas las articulaciones, el hombro puede estar afectado por cualquier tipo de artropatía.
Sus cambios se discuten mejor en el capitulo dedicado a este grupo de enfermedades, pero se muestran algunos ejemplos.
Aspectos claves a tener en cuenta:
Presencia de osteofitos, disminución no uniforme del espacio articular, esclerosis ósea y quistes subcondrales. El compromiso es asimétrico. (Fig 161 A, 161 B y 161 C).

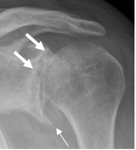
Fig 161 A. Artropatía degenerativa.
A: Rx AP. Cambios degenerativos con pérdida del espacio, formación de
osteofitos inferiores (Flecha delgada) y quistes subcondrales. (Flechas gruesas).

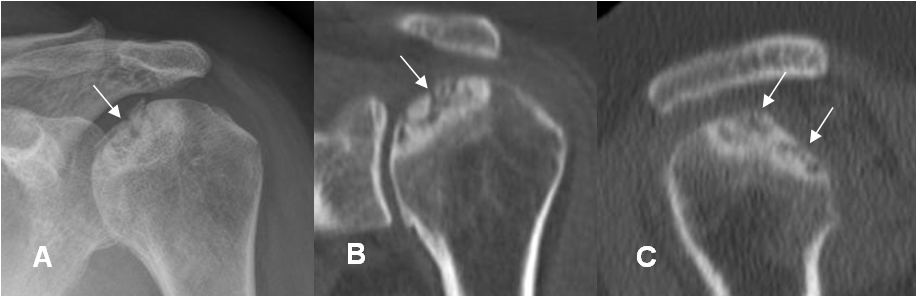
Fig 161 B. Artropatía degenerativa.
A: Rx AP, B: TAC reconstrucción coronal y C: TAC reconstrucción sagital. Cambios degenerativos en la cabeza humeral, con formación de lesiones osteocondrales.

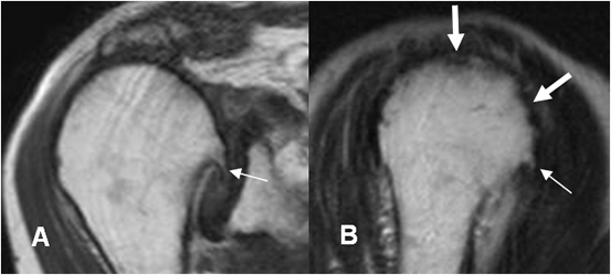
Fig 161 C. Artropatía degenerativa.
A: RM coronal en T1 y B: RM sagital en T2. Cambios degenerativos con formación de osteofitos (Flechas delgadas) y lesiones osteocondrales. (Flechas gruesas).
Osteopenia con erosiones óseas, formación de pannus y deformidad. El compromiso es simétrico. En los casos avanzados, la disminución del espacio articular es uniforme. Es clásica la reabsorción del tercio distal de la clavícula. (Fig 162).

Fig 162. Artritis reumatoidea.
Rx AP de hombro. Osteopenia generalizada. Reabsorción del acromión y el tercio distal de la clavícula, hallazgos típicos de AR.
Secundario a la proliferación y metaplasma sinovial.
Existe derrame articular y otros cambios que dependen del grado de calcificación de los cuerpos libres. (Fig 163).

Fig 163. Condromatosis sinovial.
A: Rx AP de hombro: Cambios degenerativos en la articulación glenohumeral. Hay cuerpo libre calcificado. (Flecha).
B: RM coronal en STIR. Signos de sinovitis, con cuerpo libre calcificado. (Flecha).
Alteración en la propiocepción por lesión de nervio periférico o de la medula osea, como la siringomelia.
Compromete ambos lados de la articulación, con un patrón hipertrófico (Esclerosis y formación de osteofitos) y otro atrófico (Osteopenia y reabsorción ósea). (Fig 164).

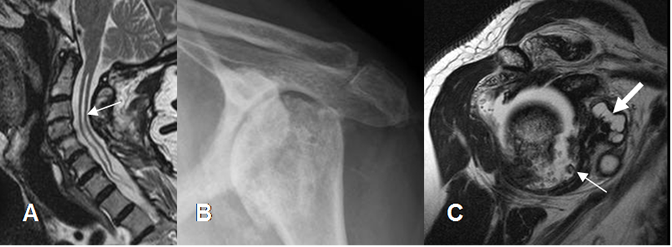
Fig 164. Artropatía neuropática.
A: RM sagital en T2. Cavidad de siringomelia en la medula cervical.
B: Rx AP de hombro. Signos de artropatía degenerativa, con pérdida del espacio articular.
C: RM sagital en T2. Sinovitis con algunos cuerpos libres (Flecha delgada) y líquido en la
bursa (Flecha gruesa).
| Fecha de creación | Marzo 1 de 2011 |
| Fecha de actualización | Diciembre 3, 2013 |