TRAUMA.
El trauma puede ocasionar fracturas o subluxación de los dientes o fracturas de la mandíbula o el maxilar. (4). (Fig 74 y 75).
Las fracturas de los dientes, son fáciles de detectar clínicamente, aunque pueden pasar desapercibidas, en el contexto de un trauma facial severo. (1). (Fig 76).
Si no están desplazadas, se aprecian como imágenes lineales e hipodensas, que cruzan el diente. Las verticales, son mas difíciles de diagnosticar. (1). (Fig 77 y 78).
Si están desplazadas se visualiza el fragmento y la irregularidad del diente roto. (1).
Después de un trauma antiguo, se puede desarrollar un quiste radicular. (4).

Fig 74 A. Fractura dental.
TAC reconstrucción coronal. Defecto en la parte interna del incisivo, por fractura.

Fig 74 B. Fractura dental.
A: TAC reconstrucción coronal y B: TAC reconstrucción 3D. Fractura en la parte
infero-medial de ambos incisivos.

Fig 74 C. Trauma.
Dentascan reconstrucción transversal. Fractura en sentido oblicuo, de la mandíbula. (Flecha delgada). Pasa por encima del canal dental, el cual permanece íntegro. (Flecha gruesa).

Fig 75. Trauma.
A: TAC axial, B: TAC reconstrucción coronal y C: TAC reconstrucción 3 D. Fractura conminuta, que afecta el borde inferior de la sínfisis mandibular. Por su localización, debe sospecharse lesión del canal dentario.

Fig 76. Fracturas dentales.
A: TAC reconstrucción coronal y B: TAC reconstrucción 3 D. Trauma directo, que produjo fractura en la parte medial, de ambos incisivos. (Flechas).

Fig 77. Trauma.
Panorámica de dentascan. Fractura en sentido transverso, que compromete el lado izquierdo de la mandíbula. A nivel de los premolares, hay fractura no desplazada de las raíces.

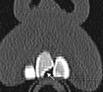
Fig 78. Fractura dental.
A: TAC reconstrucción coronal y B: TAC reconstrucción sagital. Fractura no desplazada y en sentido transverso,
sobre la parte media del incisivo.
| Fecha de creación | Noviembre 3 de 2014 |
| Fecha de actualización | Diciembre 11, 2016 |