DIENTES SUPERNUMERARIOS.
Los dientes supernumerarios, son dientes que se forman de manera extra y parece que hay tendencia hereditaria a desarrollarlos. (18).
Un diente supernumerario puede ser muy parecido al diente del grupo al que pertenece y cuando esto ocurre, se le puede llamar suplementario. (18). (Fig 79 y 80).
El mesiodens es el diente supernumerario mas común. (18).
Se localiza en la región de los incisivos centrales superiores. Puede presentarse aislado o en pares, estar o no erupcionado e incluso puede aparecer invertido. (18).
Es un diente pequeño, con corona en forma de cono y raíz corta. (18). (Fig 81 a 83).

Fig 79. Dientes supernumerarios.
A y B: Ortopantografías. Gran cantidad de dientes supernumerarios, con predominio en la linea media de la mandíbula. Gran cantidad de piezas muestran alteración de su orientación, estando horizontalizadas.

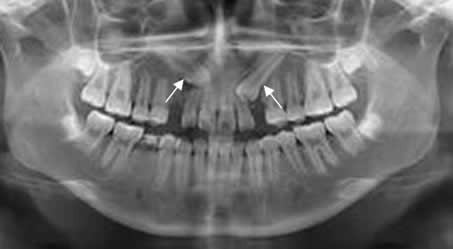
Fig 80. Dientes supernumerarios.
Ortopantografía. Dientes supernumerarios a nivel maxilar bilateral, en relación con los caninos.

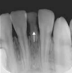
Fig 81. Mesiodens.
Rx periapical. Diente supernumerario, mas pequeño, entre ambos incisivos mediales, que corresponde a mesiodens.

Fig 82. Mesiodens.
Ortopantografía. Dientes supernumerarios hipoplásicos, superiores e inferiores entre los incisivos, por mesiodens.

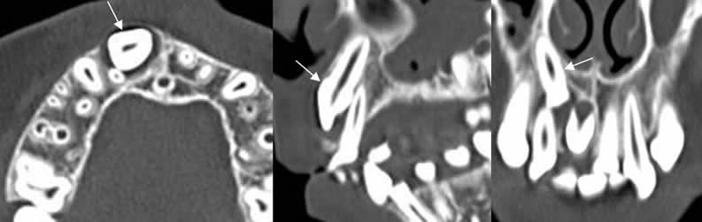
Fig 83. Mesiodens.
A: TAC axial, B: TAC reconstrucción sagital y C: TAC reconstrucción coronal. Diente supernumerario incluido, por mesiodens.
| Fecha de creación | Noviembre 3 de 2014 |
| Fecha de actualización | Noviembre 3, 2014 |