LESIONES QUISTICAS.
Las lesiones quísticas y seudoquísticas de la mandíbula, pueden ser odontogénicas o no odontogénicas. (17).
Las odontogénicas pueden originarse durante o después de la formación del diente y pueden ser mineralizadas o no, con diferentes grados de opacidad. (17).
La mayoría de lesiones son benignas, aunque pueden ser agresivas y destructivas localmente. Usualmente son asintomáticas y se descubren incidentalmente. (17).
LESIONES ODONTOGENICAS SIN MINERALIZACION:
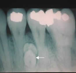
Quiste radicular:
También conocido como quiste periapical y es el estadío final, de una enfermedad inflamatoria periodontal. (6, 17).
Es la lesión quística mas frecuente de la mandíbula, mas común entre los 30 y 50 años y usualmente no produce síntomas. (17).
El quiste se desarrolla en el hueso que rodea las raíces de un diente cariado, por proliferación de los restos epiteliales, del ligamento periodontal. (17).
Aparece en la región periapical, como una lesión redondeada, radiolúcida y unilocular.
Son menores de 1 cm, se asocian a un diente cariado y puede ocasionar reabsorción de la raíz. En el centro de la lesión, se identifica la raíz del diente. (6, 17). (Fig 56 y 57).

Fig 56. Quiste radicular.
Ortopantografía. Imagen radiolúcida, que rodea las raíces de la pieza dental y compatible con quiste radicular.

Fig 57. Quiste radicular.
TAC reconstrucción sagital. Lesiones radiolúcidas y redondeadas, que rodean las raíces y corresponden a quistes radiculares. (Flechas delgadas). Adicionalmente existe aumento del espacio periapical, por enfermedad periodontal. (Flecha gruesa).
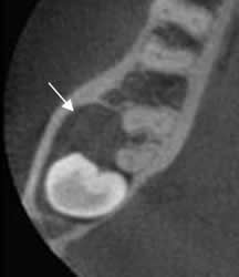
QUISTE DENTIGERO:
El quiste dentígero o folicular, es el 2º tipo de quiste mas frecuente en la mandíbula (6, 14) y es la causa mas común de lucencia periapical, asociada a un diente impactado. (17).
Se desarrolla, por la acumulación de líquido entre el diente y el epitelio folicular. (17).
Son asintomáticos, mas frecuentes en los adolescentes y adultos jóvenes y en relación con el 3º molar. (4, 14, 17).
Se identifica como una lesión redondeada u ovalada, radiolúcida, unilocular y de bordes bien definidos, en relación con la corona de un diente incluido. Las raíces adyacentes, pueden estar en contacto, pero no completamente rodeadas por el quiste. (4, 6, 14, 17). (Fig 58 a 62).
Las lesiones grandes, lobuladas, que producen expansión y alteración de la densidad, son difíciles de diferenciar de un ameloblastoma o un queratoquiste odontogénico. (17).

Fig 58. Quiste dentígero.
A y B: Ortopantografía. Lesiones radiolúcidas, de bordes bien definidos y escleróticos, (Líneas delgadas), en relación a la corona de los dientes incluidos, por quistes dentígeros.

Fig 59. Quiste dentígero.
Ortopantografía. Lesión quística, de bordes escleróticos y bien definidos en la rama mandibular. (Flechas delgadas). En su interior se identifica una pieza dental. (Flecha gruesa).

Fig 60. Quiste dentígero.
TAC axial. Lesión quística y excéntrica a las raíces del molar, secundario a quiste dentígero.

Fig 61. Quiste dentígero.
TAC axial. Quistes dentígeros bilaterales, en relación con las raíces dentales.

Fig 62. Quiste dentígero.
A: Panorámica de dentascan y TAC reconstrucción transversal. Molar incluido y horizontalizado, (Flecha gruesa) con lesión quística, excéntrica y en relación con la corona. (Flechas delgadas).
Ameloblastoma:
Son lesiones benignas, originadas del epitelio odontogénico superficial y localmente agresivas. (4, 17).
Existen 4 formas: el multiquístico o sólido, uniquístico, extra-óseo (periférico) y desmoplásico, siendo el multiquístico el mas frecuente. (4).
Se manifiestan entre la 3º y 5º décadas, con masa dolorosa, que crece lentamente, siendo mas frecuentes en el ramo y la parte posterior del cuerpo. (17).
Estas lesiones tienen una apariencia radiológica variable. Pueden ser imágenes radiolúcidas, de bordes bien definidos y uniloculares, asociadas a la corona de dientes no erupcionados o impactados. (4, 17). Por su apariencia son radiológicamente indistinguibles de un quiste dentígero o queratoquiste odontogénico. (17). (Fig 63).
Otras lesiones son multiloculadas y con septos delgados, dando la apariencia de burbujas de jabón y similares al queratoquiste odontogénico. (17). (Fig 64).
Todas las lesiones son expansivas y pueden romper la cortical del hueso, extendiéndose a los tejidos blandos vecinos. (4, 14, 17). (Fig 65 y 66).
Hasta la mitad de los ameloblastomas, se originan del epitelio de un quiste dentígero y se denominan ameloblastomas murales. (17).
La apariencia uni o multilocular de un ameloblastoma en TAC o RM, no se correlaciona con el grado de invasión. Una lesión recurrente es mas invasiva y destructiva, que la inicial. (17).

Fig 63. Ameloblastoma.
A: Panorámica de dentascan y B: TAC reconstrucción transversal. Lesión lítica, unilocular, bordes mal definidos (Flechas gruesa) y que crece por expansión, a nivel de la línea media y que ocasiona ruptura de la cortical. (Flechas delgadas).

Fig 64. Ameloblastoma.
Ortopantografía. Lesión quística y multilocular, de septos delgados, en el cuerpo de la mandíbula. En la parte superior se aprecia, erosión de la cortical del hueso. (Flecha delgada).

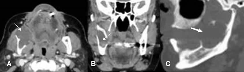
Fig 65. Ameloblastoma.
A: TAC en ventana de hueso, B: TAC axial en ventana de tejido, C: TAC reconstrucción coronal y D: TAC reconstrucción sagital. Lesión lítica y de comportamiento agresivo, que compromete la sínfisis y cuerpo de la mandíbula, con masa asociada de tejidos blandos.

Fig 66. Ameloblastoma.
A: TAC axial y B: TAC reconstrucción coronal en ventana de tejido y C: TAC reconstrucción sagital, en ventana de hueso. Masa de tejidos blandos, que expande el ángulo de la mandíbula. (Flechas delgadas). Esta lesión ocasiona ruptura de la cortical y corresponde a ameloblastoma. (Flecha gruesa).
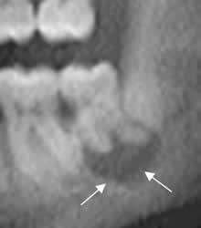
Queratoquiste odontogénico:
Es una patología benigna, que puede asociarse de dientes impactados y es mas frecuente entre los 20 y 40 años. Son lesiones quísticas, que se localizan en los ramos o el cuerpo de la mandíbula. (4, 17).
Se originan de la lámina dental o el epitelio odontogénico y en su interior se encuentra epitelio queratinizado. Este epitelio puede estar por fuera de la lesión, por lo que su tasa de recurrencia es alta. (17).
Se identifica como una lesión unilocular, radiolúcida y de bordes definidos, que se asocia a un diente impactado. Las lesiones son indistinguibles radiológicamente, de un quiste dentígero y si es multilocular o con crecimiento agresivo, no se puede diferenciar de un ameloblastoma. (17). (Fig 67).
Pueden producir adelgazamiento cortical, desplazamiento de dientes o reabsorción de raíces. (17).

Fig 67. Queratoquiste odontogénico.
A: Rx AP y B: Rx oblicua. Imagen ovalada, de bordes bien definidos y escleróticos,
en el ramo de la mandíbula, por queratoquiste odontogénico.
LESIONES ODONTOGENICAS, CON CALCIFICACION DE MINERALIZACION:
Odontoma:
Es el mas común “tumor” odontogénico y corresponde a una malformación hamartomatosa, originadas de células dediferenciadas epiteliales y mesenquimatosas, precursoras de los ameloblastos y odontoblastos, que componen el cemento y la dentina. (4, 17).
Se descubren en la 2º década, durante el estudio de un diente permanente no erupcionado. (17).
Existen 2 tipos el complejo y el compuesto. (17).
El complejo se aprecia en la Rx simple, como lesión bien definida, con calcificaciones amorfas y el compuesto contiene multiples masas irregulares y amorfas, con estructuras radio-opacas pequeñas o parecidas a un diente normal, rodeadas por un fino anillo radiolúcido. (4, 17). (Fig 68 y 69).
Todos miden entre 1 y 3 cm y pueden causar impactación, mal-posición o reabsorción del diente adyacente. (17).

Fig 68. Odontoma.
Rx periapical. Imagen densa y de bordes definidos, entre las raíces de las piezas dentales, por la presencia de odontoma.

Fig 69. Odontoma.
Ortopantografia. Zona densa y calcificaciones mal definidas, sobre la sínfisis mandibular y que corresponde a odontoma.
Mixoma odontogénico:
Es un raro tumor benigno, originado del mesénquima odontogénico. Es localmente agresivo y con extensión a los tejidos blandos adyacentes. (17).
Se encuentra entre los 10 y 30 años y se asocia a ausencia congénita de dientes o no erupcionados. (17).
Produce lesiones líticas y expansivas, de bordes definidos, multiloculares, con septos internos y con calcificaciones. (17).
| Fecha de creación | Noviembre 3 de 2014 |
| Fecha de actualización | Enero 26, 2015 |