IMPLANTES DENTALES.
El edentulismo completo o parcial, afecta a gran cantidad de personas en todo el mundo.
Esta patología produce alteraciones funcionales, anatómicas, sicológicas y estéticas, de grado variable. (8).
El tratamiento clásico mediante puentes y prótesis removibles, no soluciona estos problemas de forma satisfactoria y la implantología oral ha surgido, como necesidad de mejorar estas opciones terapéuticas. (8).
El objetivo principal del estudio preoperatorio por imágenes, es determinar si existe la suficiente cantidad de hueso alveolar, para colocar el implante. Otros son, conocer la exacta localización del canal mandibular y el foramen incisivo, para evitar su lesión durante la cirugía, saber las características de los senos maxilares y determinar las contraindicaciones o patologías asociadas. (Fig 17, 18, 19 y 20). (5, 3, 13).
El trauma del nervio alveolar inferior, ocasiona parestesias en la cara y la perforación del seno maxilar, aumenta la probabilidad de infección o falla del implante. (5, 13).

Fig 17. Canal mandibular.
A : TAC reconstrucción sagital y B: TAC reconstrucción transversal. Raíz de la pieza 38, en contacto con el canal mandibular, pero sin deformarlo.

Fig 18 A. Canal mandibular.
A : TAC reconstrucción sagital y B: TAC reconstrucción transversal. Raíz de la pieza 48, que deforma el contorno de la parte supero-interna del canal mandibular.

Fig 18 B. Deformidad canal dental.
A: TAC reconstrucción sagital y B: TAC reconstrucción coronal. Canal dentario en contacto con la cortical del hueso y comprimido medialmente por la raíces de la pieza 38.

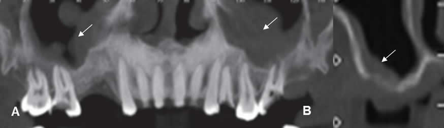
Fig 19. Patología asociada.
A: Dentascan reconstrucción coronal. Pérdida de piezas en ambas arcadas maxilares. Se aprecia engrosamiento en la mucosa de ambos senos maxilares, por sinusopatía, que debe ser tratada antes de colocar el implante.
B: TAC reconstrucción transversal. Sinusopatía maxilar, asociada a gran atrofia ósea.

Fig 20 A. Raíz retenida.
A: TAC axial, B: TAC reconstrucción panorámica y C: TAC sagital.
Ausencia de piezas, en el lado izquierdo del maxilar, con fragmento de raíz retenida.

Fig 20 B. Raíces retenidas.
A y B: TAC reconstrucción panorámica y C: TAC reconstrucción coronal.
Ausencia de molares y premolares a nivel bilateral, con fragmentos de raíces retenidas.
El sitio elegido debe ser lo suficientemente ancho y alto, para recibir el implante mas grande posible y la densidad ósea la mejor, para poder soportarlo. (5).
El resultado final del implante u oseointegración, depende de la ausencia de enfermedad periodontal, la calidad del hueso y el tamaño del implante. El implante entre mas largo, mejor. (2).
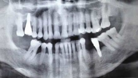
La proyección panorámica u ortopantomografía, es la modalidad mas usada en el estudio preoperatorio de los implantes dentales. (10). Es simple y barata, pero proporciona información insuficiente. Genera distorsión geométrica en el 25% de los casos, por la superposición de estructuras. (2, 7, 10). (Fig 20 C).

Fig 20 C. Ortopantomografía normal
Ausencia de varias piezas dentales. También hay implantes colocados, en el lado derecho del maxilar y el izquierdo de la mandíbula.
El dentascan es el programa aplicado al TAC, mas utilizado en la valoración prequirúrgica y el seguimiento de los implantes dentales. (2, 5, 10)
Puede generar la vista panorámica, reconstrucciones sagitales y 3D, del hueso alveolar y las estructuras vecinas. (10). Adicionalmente elimina la superposición y distorsión, permitiendo realizar con exactitud, las mediciones requeridas. (2, 3, 5). (Fig 21).
Las imágenes coronales oblicuas son las mas importantes del dentascan. Ayudan a identificar la forma y angulación del hueso alveolar y medir su altura y espesor. (2, 10). (Fig 22).
En general los cirujanos consideran que el hueso debe tener al menos 5 mm de ancho y 7 mm de altura, en el lugar del implante (3, 13). (Fig 23 A).
En algunos casos se utilizan impresiones, que contienen marcadores radio-opacos y ayudan a localizar la zona de interés. (2). (Fig 23 B).

Fig 21. Dentascan.
Reconstrucción panorámica, obtenida de un dentascan. Ausencia de varias piezas dentales.

Fig 22. Dentascan.
A: Topograma y B: Reconstrucciones ortogonales. Cortes obtenidos con el programa dentascan, que permite caracterizar la región de interés.

Fig 23 A. Implantes.
A y B: Dentascan reconstrucciones ortogonales. Simulacros del tamaño del implante, que se pueden hacer con el programa dentascan y que orientan al dentista para escoger el tamaño mas apropiado.

Fig 23 B. Marcador.
TAC reconstrucción ortogonal. Marcador metálico, que sirve para localizar la región de interés.
Características que se debe informar, en el sitio de interés: (5).

Fig 24. Altura de la cresta ósea.
A: TAC reconstrucción transversal del maxilar y B: de la mandíbula.
Altura del hueso, entre el borde superior e inferior de la cresta alveolar. En la mandíbula, el borde inferior corresponde al canal mandibular.

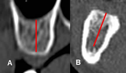
Fig 25. Ancho de la cresta ósea.
A: TAC reconstrucción transversal del maxilar y B: de la mandíbula. Ancho del hueso, medido entre los bordes internos de las corticales, en la región mas estrecha.

Fig 26. Inclinación de la cresta ósea.
TAC reconstrucción transversal de la mandíbula. Angulo de inclinación, trazado entre la vertical y el eje de la cresta ósea.

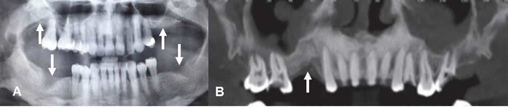
Fig 28. Atrofia ósea.
A: Ortopantografía y B: Panorámica de dentascan. Ausencia de piezas, con atrofia de la cresta alveolar maxilar y mandibular en A y del maxilar en B.

Fig 29. Densidad ósea.
TAC reconstrucción transversal. Varias mediciones de la densidad ósea, sobre el trayecto del implante.

Fig 31. Remodelación del borde alveolar.
TAC reconstrucciones ortogonales.
A: Clase 1. Cresta normal con dientes.
B: Clase 2. Cresta, después de la extracción de una pieza dental.
C: Clase 3. Cresta redondeada, que conservando su altura y espesor.
D: Clase 4. Cresta en filo de navaja, con disminución del espesor, pero conservación de la altura.
E: Clase 5. Cresta plana, con disminución del espesor y la altura.
F: Clase 6. Cresta deprimida, situada entre las raíces de los dientes.
Después de colocado el implante, la oseointegración requiere de al menos 3 meses en la mandíbula y 6 meses en el maxilar. (12). (Fig 32).
Aunque su valoración es principalmente clínica, la radiología puede aportar información adicional. La radiolucencia alrededor del-implante y la pérdida de altura del hueso, de más de un tercio de la longitud del implante o más de 2 mm en cinco años se han postulado como signos de fracaso del implante. (8). (Fig 33 A, B y C).

Fig 32. Seguimiento de implantes.
A y B: TAC reconstrucción sagital. Implantes mandibulares, con adecuada óseo-integración.

Fig 33 A. Complicacion de implante.
A: TAC axial, B: TAC reconstrucción panorámicay C: TAC reconstrucción transversal. Implante con extremo, que rompe el borde inferior del seno maxilar.

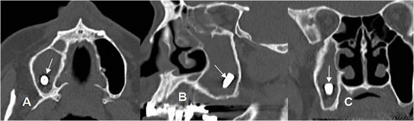
Fig 33 B. Cuerpo extraño.
A: TAC axial, B: TAC reconstrucción sagital y C: TAC reconstrucción coronal. Tornillo de un implante suelto, dentro del seno maxilar.
Fig 33 C. Infección del implante.
A: TAC axial, B: TAC reconstrucción coronal y C: TAC reconstrucción sagital. Infección del implante, el cual se ha caído. Hay gran lesión lítica que destruye el maxilar, por osteomielitis.
| Fecha de creación | Noviembre 3 de 2014 |
| Fecha de actualización | Julio 14, 2016 |