GENERALIDADES DENTASCAN.
En la práctica diaria se obtienen imágenes de los dientes y las estructuras vecinas, cuando realizamos estudios de cráneo, cuello, senos paranasales, columna cervical, etc.
Un buen número de variantes o patologías pueden ser detectadas, pero no reconocidas.
Lo ideal sería informarlas, para que el paciente sea referido al odontólogo y se tomen las acciones necesarias, para su tratamiento. (1).
La dentición está compuesta por 2 “juegos” de dientes. Uno primario y otro permanente: (1).

Fig 1. Dentición primaria.
A: TAC reconstrucción coronal y B: TAC reconstrucción sagital. Los dientes permanentes se identifican en el interior del maxilar y la mandíbula. (Estrellas). Estos van migrando gradualmente cuando se caen los primarios, hasta ocupar su posición usual.

Fig 2. Dentición permanente.
TAC reconstrucción sagital. Dientes en contacto con su opuesto, con lo que termina la migración.

Fig 3. Dentición permanente.
A: TAC axial, B y C: TAC reconstrucción 3D. Dentición compuesta por 32 piezas, 8 en cada cuadrante. 2 incisivos (I), 1 canino (C), 2 premolares (P) y 3 molares, (M).

Fig 4. Dientes normales.
Los últimos molares (Piezas 8 de los 4 cuadrantes), aún no están erupcionados.
Esto es normal en los adolescentes y adultos jóvenes.
Los dientes se incrustan en la cresta ósea en forma de herradura, de la mandíbula o el
maxilar, conocida como el proceso alveolar. (1, 3).
El revestimiento cortical de la cavidad ósea para el diente, es conocido como la lámina dura y la superficie exterior de la raíz del diente, como cemento. (3).
Entre la lámina dura y el cemento, se localiza el ligamento periodontal, que fija el diente a la cresta ósea. (1, 3). (Fig 5).
Las raíces o parte de los dientes incrustadas en los huesos, están cubiertas por cemento. (4).
El cemento se continúa sobre la corona del diente y se engruesa, para convertirse en el esmalte. Debajo del esmalte y el cemento, se encuentra la dentina, que es una zona mas suave. En el centro del diente se identifica la cámara pulpar y el conducto radicular, que contienen el paquete neurovascular. (1, 3). (Fig 5).
El paquete neurovascular entra por la raíz del diente, a través del foramen apical y asciende, para entrar en la cámara pulpar. (3).

Fig 5. Diagrama del diente.
E: Esmalte.
D: Dentina.
C: Cámara pulpar.
CA: Cresta alveolar.
CR: Conducto radicular
PV: Paquete vasculonervioso.
Flecha delgada: Ligamento periodental.
Flecha gruesa: Cemento.
La mandíbula es un hueso plano, compuesto por el cóndilo, el cuello, ramo, cuerpo y sínfisis. (5). La superficie interna se denomina lingual y la externa bucal. (Fig 7 y 8).
Contiene el canal mandibular, que se origina en la parte interna del ramo y sale en la parte lateral del cuerpo, a nivel del 1º-2º premolar. (2, 3, 5). En su interior cruza el nervio alveolar inferior o dental, rama del trigémino y que es el responsable de la sensibilidad de la mandíbula. (2, 7). (Fig 9).
La lesión del canal mandibular durante la colocación de implantes o extracción del 3º molar, representan una de las principales causas de reclamación legal, para los dentistas. (6).
El maxilar tiene una compleja anatomía tridimensional, con extensión a los huesos frontal, cigomático y palatino. (5).

Fig 7. Mandíbula normal.
A, B y C: TAC reconstrucción 3D. Mandíbula normal, compuesta por el cóndilo (CO), el cuerpo (CU), el ángulo (A), el ramo (R) y la sínfisis (S).

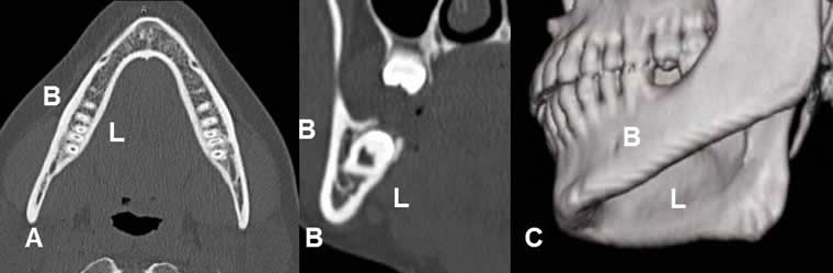
Fig 8. Mandíbula normal.
A: TAC axial y B: TAC coronal y C: TAC reconstrucción 3D. Superficie interna de la mandíbula o lingual (L) y externa o bucal. (B).

Fig 9. Canal mandibular normal.
A: TAC axial, B: TAC coronal y C: TAC reconstrucción 3D. Orificio de salida del canal mandíbular, entre el 1º y 2º premolar.
| Fecha de creación | Noviembre 3 de 2014 |
| Fecha de actualización | Noviembre 3, 2014 |