TUMORES METASTASICOS.
Las metástasis óseas son los tumores malignos mas frecuentes en los adultos. La columna vertebral es el sitio mas común, por su alta vascularización y el alto contenido de medula ósea roja. (35).
Hasta el 70% de los pacientes con un tumor primario conocido, tienen metástasis óseas. Provienen frecuentemente de tumores de mama, pulmón, próstata, riñón y tiroides. (35).
Las metástasis han sido clasificadas en 3 tipos dependiendo de la reacción ósea: (36).

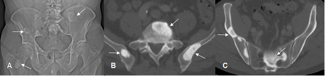
Fig 150. Metástasis blásticas.
A: Rx AP, B y C: TAC axial. Múltiples lesiones densas en los huesos iliacos, columna y fémur derecho, por metástasis blásticas de neoplasia pulmonar.

Fig 151. Metástasis blásticas.
A: RM sagital en T1, B: RM sagital en T2 y C: RM sagital en STIR. Lesiones hipointensas en todas las secuencias de tumor de pulmón, en L4 y el sacro, por alto contenido fibroso. En L4 hay masa de tejidos blandos, que ocupa el canal medular. (Flechas gruesas).

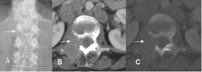
Fig 152. Metástasis líticas.
A: Rx AP. Pérdida en la configuración del pedículo derecho de L1.
B: TAC axial en ventana de tejido y C: en ventana osea. Enfermedad metastásica con destrucción del pedículo vertebral, un hallazgo descrito clásicamente.

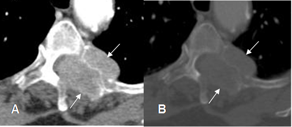
Fig 153. Metástasis líticas.
A: TAC axial en ventana de tejido y B: TAC axial en ventana osea. Lesión lítica que compromete los elementos posteriores en el lado izquierdo, por metástasis de neoplasia renal. Hay masa de tejidos blandos, que se extiende hacia el canal medular.

Fig 154 A. Metástasis lítica.
A: Rx AP y B: Rx lateral. Pérdida en la nitidez de los contornos en D12.
C: RM sagital en T1 y D: RM sagital en STIR. Además de D12, se encuentran lesiones que comprometen otros cuerpos dorsolumbares, por enfermedad metastásica.
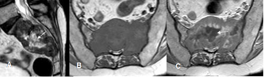
Fig 154 B. Metástasis líticas
A: RM sagital en T2. Lesión neoplásica que compromete el sacro, de señal heterogénea con predominio hipointenso y centro hiperintenso. (Flecha).
B: RM axial en T1 y C: RM axial en T1 con contraste. La lesión compromete el sacro y se extiende hasta el canal medular. Muestra realce heterogéneo, con centro necrótico (Flecha), secundario a lesión metastásica por neoplasia pulmonar.

Fig 155. Metástasis mixtas.
A: TAC reconstrucción sagital en ventana de tejido, B: TAC reconstrucción sagital en ventana ósea y C: TAC axial. Múltiples lesiones líticas (Flechas delgadas) y blásticas (Flechas gruesas), por neoplasia de mama.

Fig 156. Metástasis mixtas.
A: RM sagital en T1, B: RM sagital en T2 y C: RM sagital en STIR. Igual paciente anterior. Alteración en la señal de L2 y L4, hipointensas en T1 y T2 e hiperintensas en STIR, por metástasis mixtas de neoplasia de mama.
Existe otro tipo de metástasis, conocida como lesión intertrabecular, que se encuentra hasta en un tercio de los casos. (36).
Este tipo de lesión no produce alteración ósea y no son detectadas con Rx simple, ni con gamagrafía. (36).
El compromiso de la cortical, es un factor clave para la temprana detección de las lesiones con gamagrafía. (35). Las lesiones aisladas de la medula ósea, pueden dar falsos negativos y detectarse únicamente con la RM. (35, 36).
Hasta la mitad de las micrometástasis o lesiones menores de 3 mm, no son detectadas por ninguna modalidad. (36). (Fig 157).

Fig 157. Micrometástasis.
A: Rx lateral. No se encuentran alteraciones.
B: TAC reconstrucción sagital y C: TAC axial. Múltiples lesiones líticas vertebrales, por micrometástasis secundaria a infiltración leucémica.
| Fecha de creación | Marzo 1 de 2011 |
| Fecha de actualización | Septiembre 7, 2013 |