TUMORES DE COLUMNA.
Este tipo de lesiones se pueden clasificar según su ubicación, teniendo como punto de referencia a la duramadre. (Fig 231).
Fig 231. Diagrama de la localización de tumores.
Duramadre marcada con flecha y de color rojo.
A: Tumor intradural intramedular. Lesión que ensancha la medula y ocupa todo el saco dural.
B: Tumor intradural extramedular. Lesión que comprime la medula, por dentro del espacio dural.
C: Tumor extradural. Lesión que comprime la medula, por fuera del espacio dural.

Fig 233. Neurofibroma.
A y C: TAC axial y B: TAC reconstrucción coronal. Lesión sólida y extradural, de bordes bien definidos que ensancha el agujero de conjunción derecho. Hay erosión del cuerpo vertebral, con reborde esclerótico. (Flecha en C).

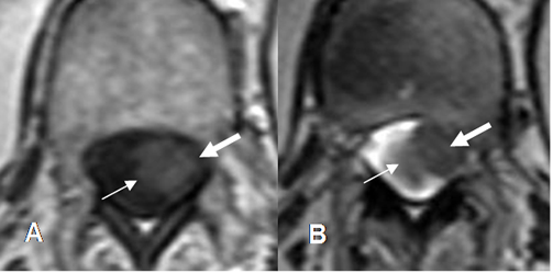
Fig 234. Lesión intradural extramedular.
A: RM axial en T1 y B: RM axial en T2. Imagen isointensa en T1 e hipointensa en T2, que ocupa la región paramediana izquierda.

Fig 235. Lesión intradural extramedular.
A: RM sagital en T2, B: RM sagital en T1 simple y C: RM sagital en T1 con contraste. Igual paciente anterior. Lesión ovalada y de bordes bien definidos, que comprime la medula espinal y realza con el contraste. En C se aprecia cola dural (Flecha gruesa), por meningioma intradural extramedular.
La RM mejoró la caracterización de este tipo de lesiones, ya que antes se requería de procedimientos invasivos como la mielografía y el mieloTAC.
Características de los tumores medulares: (56).
EPENDIMOMA:
Es el mas frecuente tumor intramedular en el adulto. (56).
Afecta principalmente el segmento cervical y aparece en adultos jóvenes.
Produce pocos síntomas inicialmente (Dolor y alteraciones sensitivas), por lo que el diagnóstico es tardío.
El estado neurológico preQx, es el mejor indicador del pronóstico postQx.
En la RM son iso o hipointensos en T1, hiperintensos en T2 y con fuerte realce del contraste. Puede presentar signos de sangrado y un borde hipointenso en T2 a nivel de los extremos, por la presencia de hemosiderina. (56). (Fig 236).
Es frecuente la asociación con quistes.
La variante mixopapilar produce síntomas mas precozmente y tiene predilección por el cono medular y el filum terminal. Puede presentar áreas hiperintensas en T1 y T2, por sangrado o contenido mucoide. (56).

Fig 236. Ependimoma.
A: RM sagital en T1 con contraste y B: RM sagital en T2. Lesión tumoral que expande el cono medular. Muestra porción quística en la parte superior (Flechas delgadas) y porción sólida en la parte inferior. con realce heterogéneo del contraste. (Flecha gruesa). En su interior hay zona hipointensa que corresponde a hemosiderina, por sangrado antiguo.
ASTROCITOMA:
Es el mas común tumor intramedular en los niños. (56).
El compromiso es mas frecuente en la región dorsal y menos común en el cono medular.
La clínica y hallazgos en la RM son similares al ependimoma. Los quistes son muy comunes y el sangrado poco frecuente. (56). (Fig 237 A y B).
Tiene localización excéntrica, por originarse del parénquima medular y produce diseminación leptomeningea. (Fig 238).

Fig 237 A. Astrocitoma.
A: RM sagital en T1 simple, B: RM sagital en T1 con contraste y C: RM sagital en T2. Lesión expansiva en el cono medular, hipointensa en T1, hiperintensa en T2 y que realza con el contraste, sin porción quística, por astrocitoma.

Fig 237 B. Astrocitoma.
A: RM axial en T2. Medula espinal engrosada y ocupando todo el canal medular.
B: RM sagital en T1 simple y C: RM sagital en T1 con contraste. Extenso engrosamiento medular, que realza con el contraste, secundario a astrocitoma.

Fig 238. Diseminación leptomeningea.
A: RM sagital en T2, B: RM sagital en STIR y C: RM sagital en T1 con contraste. Imágenes redondeadas y de defecto de llenado, sobre la medula distal y las raíces de la cola de caballo, que realzan con el contraste y corresponden a diseminación leptomeningea, por un linfoma.
| Fecha de creación | Marzo 1 de 2011 |
| Fecha de actualización | Septiembre 7, 2013 |