LESIONES TRAUMATICAS ESPECIALES.
LUXACION ATLANTO-OCCIPITAL:
Es una lesión fatal por la sección del bulbo y ocurre mas frecuentemente en los niños, que en adultos. (1, 10).
Se produce ruptura de los ligamentos y la placa tectorial, con aumento de la distancia entre el clivus y las masas laterales de C1. (10).
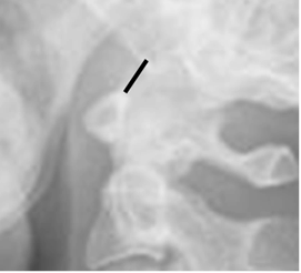
Para evaluar la alineación de la unión cráneo espinal, se mide la distancia entre el basión (Parte mas anterior del agujero occipital) y el borde superior de la odontoides y no debe ser mayor de 12 mm. (38). (Fig 188).
También se debe dibujar la línea clivus-odontoidea. Se traza a lo largo del clivus, por detrás del dorso de la silla turca.Normalmente debe pasar entre el tercio medio y anterior, de la punta de la odontoides. (2). (Fig 189).

Fig 188. Alineación de la unión craneoespinal.
Rx lateral. Distancia entre el basion y la punta de la odontoides, menor de 12 mm.

Fig 189. Alineación unión craneoespinal.
Rx lateral. Línea sobre el dorso del clivus, que cruza la odontoides.
FRACTURA DE JEFFERSON:
En la proyección de odontoides las masas laterales del atlas y axis, deben estar alineadas. Hasta 3 mm de desplazamiento lateral bilateral puede ser normal en los niños y 2 mm en los adultos. (38). (Fig 190).
Normalmente el espacio atlantoaxial en la proyección lateral, es menor de 6 mm en los niños y de 3 mm en los adultos. (7). (Fig 191, 192 y 193).

Fig 190. Odontoides normal.
A: Rx AP y B: TAC reconstrucción coronal. Odontoides normal, con alineación de las masas laterales de C1 y C2.

Fig 191. Odontoides normal.
Rx lateral. Espacio atlantoaxial normal. Menor de 6 mm en niños y de 3 mm en adultos.

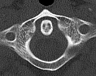
Fig 192. Odontoides normal.
TAC axial. Relación normal entre la odontoides y el arco anterior de C1.

Fig 193. Desalineación de odontoides.
TAC axial. Leve desviación de la odontoides hacia el lado izquierdo, que puede ser un hallazgo normal o secundario a lesión del ligamento alar. Tejidos blandos retrofaringeos de espesor normal.
La fractura de Jefferson se produce por un mecanismo de compresión axial, que rompe el arco anterior y posterior de C1. Necesariamente hay ruptura del ligamento transverso (1, 2).
Se encuentra desplazamiento lateral de las masas de C1, en la proyección de odontoides. Un desplazamiento mayor de 6 mm entre la odontoides y las masas laterales, indican ruptura del ligamento transverso. (2).
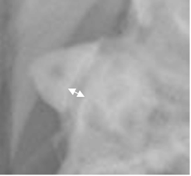
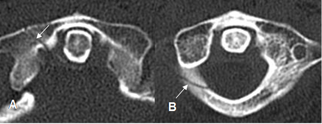
La fractura aislada del arco anterior de C1, es secundaria a la avulsión de la inserción del ligamento Atlanto-odontoideo. (41). En la Rx lateral se aprecia como imagen radiolúcida en la parte anteroinferior, con variable separación de los fragmentos y prominencia de los tejidos blandos. Debe diferenciarse de un núcleo de osificación, por la ausencia de engrosamiento en los tejidos blandos y sus bordes escleróticos. (41). (Fig 194 a 197).

Fig 194. Fractura de C1.
A: Rx lateral. Alteración en la configuración de la articulación atlanto-axoidea.
B: TAC axial y C: TAC reconstrucción sagital. Fractura en el lado izquierdo, del arco anterior de C1.

Fig 195. Fractura de C1.
A y B: TAC axial. Fracturas aisladas y no desplazadas de C1. En A del arco anterior y en B del arco posterior.

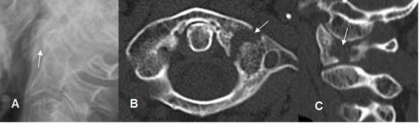
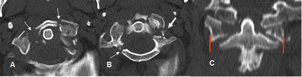
Fig 196. Fractura de Jefferson.
A: Rx lateral y B: TAC reconstrucción sagital. Rectificación cervical, con aumento del espacio retrofaringeo.
El arco anterior de C1 está descendido, en relación con el borde superior de la odontoides, aunque se conserva el espacio normal.

Fig 197. Fractura de Jefferson. Igual paciente anterior.
A y B: TAC axial. Fractura conminuta del arco anterior y de la parte derecha del arco posterior. Existen fragmentos libres dentro del canal y compromiso del agujero vertebral en el lado izquierdo. (Flecha gruesa).
C: TAC reconstrucción coronal. Desalineación entre las masas laterales de C1 y C2.
FRACTURA DE ODONTOIDES:
Se produce por mecanismo de hiperflexión. (1, 2).
Es la fractura mas frecuente de C2 y su detección depende del grado de desplazamiento y la superposición de estructuras. (41).
Según su localización se clasifican en: (1, 2, 41).
Los signos de lesión ligamentaria, son el desplazamiento contra-lateral de la odontoides, sangrado o edema. (44).

Fig 198 A. Fractura de odontoides tipo I.
A: TAC axial y B: TAC reconstrucción lateral. Imagen radiolúcida y en sentido oblicuo, en la parte superior de la odontoides,que corresponde a fractura no desplazada.(Flechas).

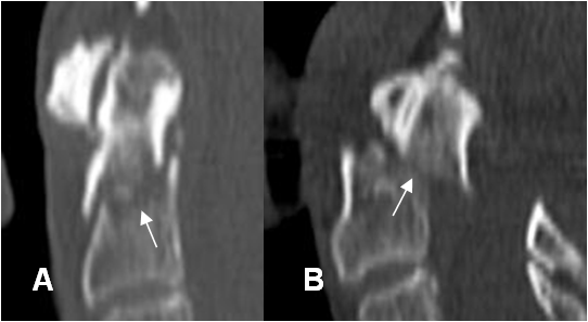
Fig 198 B. Fractura de odontoides tipo II.
A y B: TAC axial. Fracturas en sentido oblicuo, sobre la parte media de la odontoides. En A no desplazada y en B desplazada y con subluxación C1-C2.

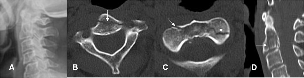
Fig 199. Fractura de odontoides tipo III.
A: Rx AP. No se encuentran alteraciones. B y C: TAC axial y D: TAC reconstrucción sagital. Fractura en sentido oblicuo, sobre el cuerpo de C2, por fractura de la odontoides tipo III. (Flechas).
FRACTURA DEL AHORCADO:
También conocida como fractura de Hagman.
Es una lesión compleja producida por un mecanismo de hiperextensión y tracción. Se produce luxación anterior de C2 y fractura de los pedículos. (1, 2). (Fig 200).

Fig 200. Fractura de Hagman.
Rx lateral. Fractura en los elementos posteriores de C2, con anterolistesis GI de C2, sobre C3.
LESIONES POR HIPEREXTENSIÓN:
Son muy comunes por un mecanismo de latigazo.
La Rx puede ser normal, por la reducción inmediata después del impacto. El ensanchamiento de la parte anterior del espacio intervertebral y la disminución del posterior, con prominencia de tejidos blandos, debe hacer sospechar esta lesión. (41). (Fig 201 A).
La avulsión asociada debe diferenciarse de fractura en lágrima, donde el fragmento suelto tiene mayor diámetro transverso, que vertical. (41). (Fig 201 B).
En casos graves hay luxación transitoria, con ruptura de las estructuras de soporte y déficit neurológico variable. (41).
La lesión ligamentaria, del disco u tejidos blandos, es mejor demostrada con la RM sagital. (41).

Fig 201 A. Lesión por hiperextensión.
A: TAC reconstrucción lateral. Incremento del espacio intervertebral anterior entre C5 y C6.
Fractura no desplazada en los elementos posteriores. (Flecha gruesa).
B: RM sagital en T2. Ruptura del ligamento intervertebral común anterior. Hiperintensidad del cordón medular, por contusión asociada. (Flecha gruesa).

Fig 201 B. Fractura por hiperextensión.
Rx lateral. Fractura en la parte anterior del cuerpo, con fragmento mas ancho, que alto.
LESIONES POR HIPERFLEXION:

Fig 202. Fractura en cuña.
A: Rx lateral. Rectificación y pérdida den la nitidez de los contornos, en lo visualizado del cuerpo de C6.
B: TAC reconstrucción sagital. Fractura con acuñamiento anterior de la vértebra.

Fig 203. Fractura en cuña.
A: Rx lateral. Fractura en la parte anterosuperior del cuerpo.
B: TAC axial y C: TAC reconstrucción sagital. Fractura conminuta, con acuñamiento anterior de la vértebra.

Fig 204. Fractura del paleador.
A: Rx lateral. No se aprecian alteraciones, pero solo son evaluables 5 cuerpos vertebrales.
B: TAC axial y C: TAC reconstrucción sagital. Fracturas no desplazadas en las apófisis espinosas de C6 y C7.

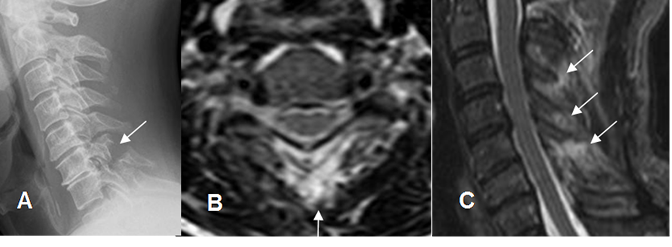
Fig 205. Fractura del paleador.
A: Rx lateral. Fractura desplazada en la apófisis espinosa de C6.
B: RM axial en T2 y C: RM sagital en STIR. Cambios inflamatorios en los tejidos blandos e hiperintensidad, por lesión de los ligamentos interespinosos.

Fig 205 A. Fractura en lágrima.
A y B: Rx lateral. Fracturas complejas con anterolistesis G IV. Se encuentran fragmentos óseos anteriores, alineados con el cuerpo superior. (Flechas).

Fig 206 A. Luxación de facetas.
A: TAC reconstrucción sagital. Anterolistesis post-traumática.
B: TAC axial y C: TAC reconstrucción sagital. Luxación de las articulaciones interapofisiarias, con desplazamiento anterior de las facetas superiores. (Flecha delgada). Facetas normales en el segmento inferior. (Flecha gruesa).

Fig 206 B. Luxación de facetas.
A: RM sagital en T2. Igual paciente anterior. Anterolistesis post-traumática, con sección medular. (Flecha delgada).
Presencia de colección prevertebral. (Flecha gruesa).
B: RM sagital en T2. Luxación de las articulaciones interapofisiarias, con desplazamiento anterior de las facetas superiores. Facetas normales en el segmento inferior. (Flecha gruesa).
FRACTURA DE APOFISIS TRANSVERSAS:
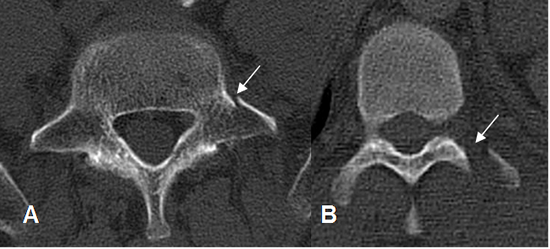
Las fracturas de las apófisis transversas son mejor identificadas en la proyección AP. Lesiones de la arteria vertebral, las raíces nerviosas y del plexo braquial, pueden ser sus complicaciones asociadas. (38). (Fig 207).

Fig 207. Fractura de apófisis transversa.
A y B: TAC axial. Fractura no desplazada de la apófisis transversa en A y desplazada en B.
FRACTURA DE CHANCE:
Es un tipo de fractura transversa, producida por un mecanismo de flexión y distracción, asociada al uso de cinturón de seguridad en los carros. (46).
La mayoría se localizan entre T12 y L2 y aunque son inestables, generalmente no producen déficit neurológico, pero si lesiones intra-abdominales. (46).
En Rx simple se produce el signo del cuerpo vacío, por el desplazamiento de la apófisis transversa y en el TAC el signo de la faceta vacía, por el desplazamiento de los elementos posteriores y la desaparición progresiva de los pedículos. (46). (Fig 207 A y B).

Fig 207 A. Fractura de Chance.
A: Rx lateral. No se identifican alteraciones.
B: TAC reconstrucción lateral y C: TAC axial. Fractura en sentido transverso, que compromete el cuerpo de L1. No existe fragmento retropulsado.

Fig 207 B. Fractura de Chance.
A: RM sagital en T1, B: RM sagital en T2 y C: RM sagital en STIR.. Igual paciente anterior. Fractura en sentido transverso, que compromete el cuerpo de L1. No existe fragmento retropulsado, ni compromiso del complejo ligamentario posterior.
LESIÓN SCIWORA: (Spinal Cord Injury Without Radiographic Abnormality)
Los niños por su gran laxitud ligamentaria, pueden presentar trauma medular sin fractura o luxación persistente, lo que se conoce como SCIWORA (8,12).
Se produce una transitoria deformidad ligamentaria de la columna cervical, que lesiona el cordón medular. (8).
Los hallazgos por RM son similares al edema o contusión medular hemorrágica. (Fig 208 A).

Fig 208 A. Lesión SCIWORA.
A: RM sagital en T1. No se encuentran alteraciones.
B: RM sagital en T2. Sin cambios por fracturas o desalineación. Aumento difuso en la señal de la medula, entre C3 y C5, por edema secundario a lesión SCIWORA.
| Fecha de creación | Marzo 1 de 2011 |
| Fecha de actualización | Abril 20, 2016 |