TRAUMA CERVICAL.
Hay mucha controversia y discusión sobre el enfoque del trauma cervical y las indicaciones de cada modalidad. (38, 40).
Un grupo de expertos del ACR (Colegio americano de Radiología) recomienda en 2003, que un paciente con sospecha de trauma cervical que está alerta, que nunca ha perdido la conciencia, que no está bajo la influencia del alcohol u otra droga, que no tiene dolor cervical, ni déficit neurológico, no requiere de estudio por imágenes. (40).
Las lesiones cervicales pueden clasificarse por su mecanismo: (41).
En los traumas laterales hay asociado un componente rotacional, que ocasiona fracturas oblicuas o verticales de los pilares. (41).
La Rx simple tiene un valor limitado, ya que depende de la contextura y condición clínica del paciente. Aunque se hace como valoración inicial, se pueden pasar muchas fracturas o son parcialmente visualizadas. (41).
En los pacientes indicados y que colaboran realizar las 3 proyecciones AP, lateral y proyección de odontoides. Hacer otras proyecciones adicionales como oblicuas o de nadador, utilizadas en casos especiales y deacuerdo con la región. (10, 40).
Las anormalidades en la alineación descritas incluyen: interrupción de las líneas intervertebrales anterior y posterior, de la línea espinolaminar, rotación de las apófisis espinosas, ensanchamiento de la distancia interespinosa e interpeduncular. (7, 39). (Fig 164, 165 y 166).

Fig 164. Desalineación.
Rx lateral. Anterolistesis post-traumática, con interrupción en las líneas intervertebral anterior y posterior.

Fig 165. Alteración de apófisis espinosas.
A: Rx AP y B: TAC reconstrucción sagital. No visualización de la apófisis espinosa de C6, por anterolistesis traumática G II.

Fig 167. Aumento del espacio interespinoso.
A: Rx lateral y B: TAC reconstrucción sagital. Aumento del espacio entre las apófisis espinosas de C2 y C3, por anterolistesis post-trauma.
Las alteraciones en el borde posterior de la vértebra pueden ser muy sutiles, pero importantes, como desplazamiento, angulación, rotación, duplicación o ausencia. (7, 39).
Las proyecciones dinámicas en flexión y extensión se utilizan ante la sospecha de lesión ligamentaria. (38). Pueden dar falsos negativos y se usan para confirmar, pero no descartan lesiones. (38).
En la fase aguda son difíciles de realizar por el dolor y espasmo muscular y están contraindicadas en pacientes inconcientes y neurológicamente intactos. (7, 38, 40). En la mayoría de los casos no muestran alteraciones adicionales y las realizadas después de 2 semanas, tienen mas sensibilidad para detectar la inestabilidad. (7, 10). (Fig 168 a 172).
A nivel cervical se puede tolerar hasta 2 mm de desalineación en las líneas posteriores y el espacio intervertebral posterior, no debe ser mas ancho que el anterior. (38). (Fig 169).

Fig 168. Espasmo muscular.
A: Rx lateral en neutro y B: Rx lateral en flexión. Rectificación de la columna cervical, por espasmo muscular, que impide realizar una adecuada flexión.

Fig 169. Inestabilidad.
A: Rx lateral en neutro. Espasmo muscular, sin signos de desalineación. Se aprecian cambios degenerativos en los espacios inferiores.
B: Rx lateral en flexión. Se logra poca flexión por el espasmo, pero se aprecia leve anterolistesis de C4, sobre C5 y aumento del espacio intervertebral posterior, secundario a lesión ligamentaria.

Fig 170. Inestabilidad.
A: Rx lateral en neutro. Espasmo muscular, sin signos de desalineación.
B: Rx lateral en extensión. Existe retrolistesis de C3 sobre C4, por lesión ligamentaria.

Fig 171. Proyecciones dinámicas.
A: Rx lateral. Anterolistesis G1 de C6, sobre C7 y aumento del espacio retroesofágico.
B: Rx lateral en flexión y C: Rx lateral en extensión. Desalineación que no se modifica, con las proyecciones dinámicas.

Fig 172. Falsa lesión ligamentaria.
A: Rx lateral en flexión y B: TAC reconstrucción sagital. Leve anterolistesis de C4, sobre C5.
C: RM sagital en T2. Adecuada alineación, sin signos de lesión ligamentaria.
La TAC es la modalidad de elección en la valoración inicial, de la columna cervical en pacientes politraumatizados y ha demostrado ser costo-efectiva. (38, 41, 42). Es mas sensible que la Rx simple para detectar fracturas y permite realizar reconstrucciones 3D y caracterizar las lesiones. (40, 41). (Fig 173 y 174).

Fig 173. Fractura no vista en Rx.
A: Rx lateral. Rectificación cervical, sin desalineación, ni fracturas. Calcificación en la parte anterior del disco C5-C6.
B: TAC axial. Fractura oblicua y no desplazada en la lámina izquierda de C5, no sospechada con la Rx.

Fig
174. Fractura con TAC.
A: Rx lateral. Aumento del espacio pre-vertebral, no encontrando fracturas, ni desalineación.
B: TAC reconstrucción sagital y C: TAC reconstrucción en 3D. Fractura en la base de la odontoides.
La RM es la modalidad de elección en pacientes con déficit neurológico y hemodinamicámente estables. (41, 43). Permite evaluar los ligamentos, el cartílago, el disco y la medula espinal.
El intervalo óptimo para la valoración ligamentaria son las primeras 72 horas. Después de este lapso disminuye la sensibilidad, por la reducción del edema y el sangrado. (7, 44).
En los casos leves hay aumento de la señal, irregularidad y engrosamiento. (7, 43).
En la ruptura ligamentaria se aprecia discontinuidad, edema, colección de los tejidos blandos y desalineación. (7, 43). (Fig 175, 176 A y B).

Fig 175. Lesión ligamentaria.
A: Rx lateral en flexión. Leve anterolistesis GI de C6, sobre C7.
B: RM sagital en STIR. Contusión del cuerpo vertebral, sin pérdida de altura. (Flecha gruesa). Hay cambios inflamatorios en los tejidos blandos prevertebrales (Flecha delgada), por esguince GI-II.

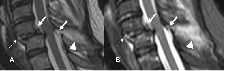
Fig 176 A. Lesión ligamentaria.
A: RM sagital en T2 y B: RM sagital en STIR. Luxación de facetas articulares, con anterolistesis de C5, sobre C6. Ligamento común anterior rodeado por líquido, pero permanece íntegro. (Flechas delgadas). Interrupción de los ligamentos común posterior y amarillo, por ruptura. (Flechas gruesas). Edema en los tejidos blandos posteriores, por lesión de los ligamentos interespinosos.
(Puntas de flecha.). Se aprecia escaso líquido anterior al cuerpo de C6.

Fig 176 B. Lesión ligamentaria.
A: TAC reconstrucción lateral y B: RM sagital en T2. Anterolistesis traumática, con aumento del espacio retrofaringeo y colección anterior. Adelgazamiento del ligamento común anterior (Flechas delgada) y ruptura del posterior. (Flecha gruesa). Adicionalmente hay compresión y alteración en la señal medular, por edema. (Puntas de flecha).
Las secuencias sagitales en T2 y gradiente eco (GE), se utilizan para diferenciar el edema medular, la hemorragia, la sección parcial o completa. (41, 43).
Las contusiones no hemorrágicas son iso o hipointensas en T1, hiperintensas en T2 y STIR. (Fig 177 A y B).
En casos de sangrado, los hallazgos dependen del tiempo de evolución. El agudo entre el 1º y 7º día es hipointenso en T2 y GE. Después de los 7 días es hiperintenso en T1 y T2. (43). (Fig 178 a 181).
Los pacientes con contusión hemorrágica tienen peor pronóstico de recuperación neurológica, que los que presentan edema aislado. (41).

Fig 177 A. Edema medular.
A: RM sagital y B: RM axial en T2. Edema de la medula espinal, con área hiperintensa.

Fig 177 B. Edema medular.
A: TAC reconstrucción lateral y B: RM sagital en GE. Anterolistesis GI de C5, sobre C6 y cambios degenerativos con osteofitos posteriores, que comprimen el saco dural.
C: RM sagital en T2 y D: RM sagital en STIR. Además de la compresión del saco dural, se aprecia hiperintensidad medular entre C5 y C7, por contusión (Flechas delgadas). Existe pequeña colección prevertebral y edema en los tejidos blandos posteriores. (Flechas gruesas).

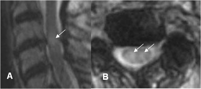
Fig 178. Lesión medular mixta.
A: RM sagital en T1. Fractura vertebral inestable, con fragmento retropulsado. No se detecta alteración en la señal medular.
B: RM sagital en T2. Area de edema medular hiperintensa (Flecha delgada) y otra de sangrado agudo hipointensa. (Flecha gruesa). Existe colección prevertebral.

Fig 179. Sangrado medular.
A: RM sagital en T2 y B: RM sagital en GE. Lesión medular hiperintensa en T2 e hipointensa en GE, por contusión hemorrágica.

Fig 180 A. Lesión medular mixta.
A: RM sagital en T2 y B: RM sagital en STIR. Paciente con canal estrecho y trauma en hiperflexión. Se aprecia la medula engrosada e hiperintensa entre C3 y C6, por edema.
C: RM sagital en GE. En la zona central hay area lineal, hiperintensa en T2 e hipointensa en GE, sugestivas de sangrado.

Fig 180 B. Lesión medular. Igual paciente anterior.
A: RM sagital en T2. Medula engrosada y con zonas hiperintensas, por edema. Hay canal estrecho asociado.
B: RM sagital en T2 y C: RM sagital en T1. Control posterior, donde se aprecia disminución de los cambios inflamatorios. En T1 no hay áreas hiperintensas, con lo que se descarta la contusión hemorrágica.

Fig 181. Sección medular.
A y B: RM sagital en T2. Solución de continuidad en el cordón medular por sección y retracción de los extremos.
Recomendaciones para la valoración de un paciente inconciente.
Inicialmente realizar TAC. Si es normal, se complementa con RM sagital en T1y STIR, para descartar lesión ligamentaria, con lo que se puede retirar el collarín. (40). También se debe hacer RM si permanece inconciente por mas de 72 horas o si se va a ser operado por otra patología. (37).
| Fecha de creación | Marzo 1 de 2011 |
| Fecha de actualización | Agosto 13, 2013 |