LESIONES ASOCIADAS A FRACTURAS.
HERNIA DE DISCO AGUDA:
Pueden aparecer como lesiones aisladas o en asocio con fracturas y luxaciones. (43).
Producen déficit neurológico agudo por compresión de las raíces o el cordón medular. Es importante hacer el diagnóstico precoz, para instaurar el manejo y evitar secuelas mayores. (43). (Fig 209).
Existe alta asociación entre luxación facetaria uni o bilateral y herniación aguda. (43).

Fig 209. Hernia post-trauma.
A: Rx lateral. Pérdida de altura en la placa terminal superior de la vértebra.
B: RM sagital en T2 y C: RM sagital en STIR. Placa superior hiperintensa, por fractura de evolución aguda. (Flechas delgadas). Se aprecia hernia mediana, que indenta el saco dural. (Flechas gruesas).
HEMATOMA EPIDURAL:
El deterioro neurológico progresivo, en un paciente que tiene antecedente de trauma, debe hacer sospechar un hematoma epidural. (43).
Es mas frecuente en los traumas cervicales y se localiza en la parte posterior del canal. Los hallazgos dependen del tiempo de evolución. (43).
LESIONES VASCULARES:
Normalmente la arteria vertebral muestra ausencia de señal en las secuencias de T1 y aumento en GE. (43). (Fig 210).
Las lesiones de la arteria vertebral son mas frecuentes entre los segmentos de C2 y C6. La localización del vaso en las apófisis transversas, facilita su trauma durante los mecanismos de rotación y luxación y se recomienda el screening con AngioRM, en los pacientes con este tipo de lesiones. (43). (Fig 211 A y B).

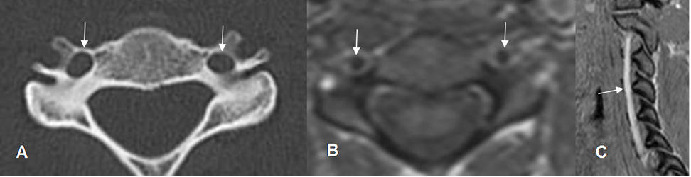
Fig 210. Vertebral normal.
A: TAC axial. Forámenes vertebrales, en las apófisis transversas cervicales.
B: RM axial en T1. Arterias vertebrales normales, con ausencia de señal.
C: RM sagital en GE. Arterias vertebrales hiperintensas, de aspecto normal.

Fig 211 A. Fractura de foramen vertebral.
A y B: TAC axial. Fractura de los agujeros vertebrales a nivel bilateral, con diferente grado de desplazamiento y conminución.

Fig 211 B. Trauma vascular.
TAC axial. Fractura no desplazada de la lámina izquierda. (Flecha delgada). Ausencia de contraste en el foramen vertebral del mismo lado, por lesión vascular asociada. (Flecha gruesa). Arterias carótidas y vertebral derecha, de aspecto normal.
SIRINGOMELIA:
La siringomelia post-traumática, puede aparecer después de una contusión, hemorragia o mielomalacia. (10).
Se desconoce la exacta etiología y es mas frecuente a nivel dorsal. (10). (Fig 212).
El principal síntoma es el dolor, que aumenta con las maniobras de valsalva. El deterioro neurológico es progresivo y aparece después de varios años. (10).

Fig 212. Siringomelia.
A: RM sagital en T1 y B: RM sagital en T2. Atrofia medular, con cavidad central hipointensa en T1 e hiperintensa en T2, que corresponde a siringomelia.
| Fecha de creación | Marzo 1 de 2011 |
| Fecha de actualización | Diciembre 10, 2012 |