SINDROME FACETARIO.
Las facetas articulares son del tipo sinovial y pueden afectarse por artropatía degenerativa, conocida como artrosis (2, 4).
Los cambios facetarios empiezan en la 2º década (13) y son una respuesta ósea al stress, que puede producir dolor per se o comprimir raíces. (11).
A este nivel puede encontrarse esclerosis, hipertrofia, fenómeno del vacío, quistes subcondrales, calcificación periarticular (Cápsula, ligamento amarillo) y osteofitos. (11).
El mecanismo de dolor facetario puede ser secundario a la compresión directa de las raíces en el receso lateral o los agujeros de conjunción o por irritación de las fibras provenientes de la sinovial y cápsula articular. (1, 4).
Se diagnostican cambios degenerativos, cuando la amplitud del espacio interfacetario en su parte media, es menor de 2 mm. (11). (Fig 65 a 69).
La RM es el estudio de elección para la valoración de la compresión del canal y el estudio de la mielopatía intrínseca por espondilosis o hernia de disco. Tiene la desventaja que no detecta calcificaciones, ni pequeños osteofitos. (13). (Fig 70).

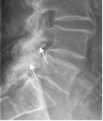
Fig 65. Articulaciones intervertebrales.
Rx lateral. Hipertrofia de facetas articulares, con disminución del espacio y esclerosis.
Fig 66. Articulaciones intervertebrales.
A: RM axial en T1 y B: RM axial en T2. Cambios degenerativos incipientes en la articulación interfacetaria izquierda, con presencia de líquido, hipointenso en T1 e hiperintenso en T2.

Fig 67. Articulaciones intervertebrales.
A: TAC axial. Hipertrofia de articulaciones interfacetarias, con fenómeno del vacío en el lado derecho.

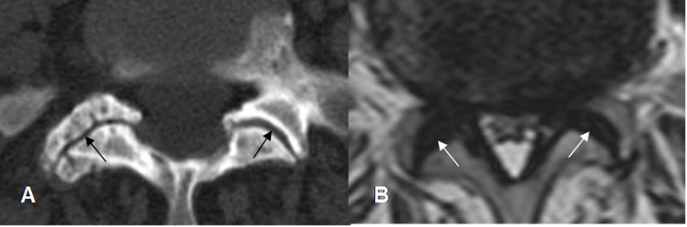
Fig 68. Articulaciones intervertebrales.
A: TAC axial y B: RM axial en T2. Hipertrofia de articulaciones intervertebrales, con disminución de los espacios interfacetarios.

Fig 69. Calcificación de los ligamentos amarillos.
A: TAC axial en ventana de tejido y B: TAC axial en ventana osea. Canal estrecho mixto, con hipertrofia de articulaciones intervertebrales y prominencia de los ligamentos amarillos, los cuales están calcificados.

Fig 70. Mielopatía.
RM sagital en T2. Canal estrecho central cervical, que comprime la medula. Hay zona hiperintensa, por mielopatía.
| Fecha de creación | Marzo 1 de 2011 |
| Fecha de actualización | Septiembre 27, 2011 |