LESIONES QUISTICAS.
Las lesiones quísticas extramedulares del canal, pueden producir mielopatía y radiculopatía. (55).
Este tipo de lesiones pueden dividirse en grupos: (55).
- Quiste meníngeo: Son conocidos como quistes aracnoideos o meníngeos y pueden ser intra o extradurales.
- Extradurales:
Se producen por herniación de la aracnoides, a través de un defecto de la duramadre. Las maniobras de valsalva o cambios de posición, pueden ocasionar los síntomas. Los casos sintomáticos deber resecarse y la aspiración es de poca utilidad, porque se vuelven a llenar. Los quistes extradurales también pueden contener raíces nerviosas y son conocidos como quistes de Tarlov o perineurales. Se aprecian como imágenes quísticas, con mayor señal que el LCR, por el alto contenido de
proteínas. Pueden ocasionar erosión ósea, compresión del saco y las
raíces o protruir por los agujeros de conjunción. El quiste se llena de
contraste, si se realiza una inyección intratecal. (Fig 226, 227 y 228).
- Intradurales:
Pueden ser congénitos o adquiridos, después de una aracnoiditis de cualquier etiología. En la mielografía aparecen como lesiones intradurales extramedulares, que bloquean el paso del contraste. Su imagen es similar a la de los extradurales y produce compresión de la medula.

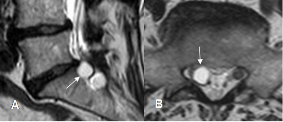
Fig 226. Quiste radicular.
A: RM sagital y B: RM axial en T2. Imagen redondeada y de consistencia líquida, a nivel paramediano derecho, que comprime las raíces.

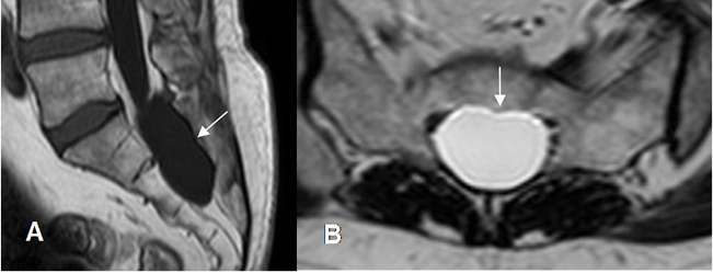
Fig 227. Quiste radicular.
A: RM sagital en T1 y B: RM axial en T2. Lesión ovalada y de consistencia líquida, que ocupa el canal medular a nivel del sacro.
Fig 228. Quiste radicular.
A: TAC axial, B: TAC coronal y C: RM axial en STIR. Gran lesión de consistencia líquida, que ensancha el canal medular y remodela el sacro, que corresponde a quiste radicular.
- Quistes no meníngeos:
Tienen localización epidural e incluyen los quistes yuxta-articulares, sinovitis villonodular, quistes dermoides, quistes radiculares, metástasis, seudomeningoceles por ruptura traumática de raíces, etc. (Fig 229 y 230).
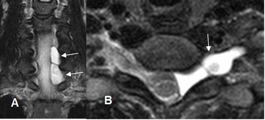
Fig 229. Quiste no meníngeo.
A: RM axial y B: RM sagital en T2. Hipertrofia de articulaciones intervertebrales, con formación de lesión quística yuxta-articular a nivel paramediano derecho, que comprime el saco dural.
Fig 230. Ruptura de raíces.
A: RM coronal y B: RM axial en STIR. Formación de seudomeningocele izquierdo, por avulsión de las raíces.
- Quistes de origen neuroentérico:
Son raros y originados de restos embriológicos. Se asocia a otras malformaciones de las vértebras y se deben incluirse en el diagnóstico diferencial de las lesiones quísticas del mediastino posterior y la pared abdominal.
Se aprecian como lesiones anteriores uni o multilobuladas, de localización
intradural y extramedular.
| Fecha de creación |
Marzo 1 de 2011 |
| Fecha de actualización |
Septiembre 7, 2013 |