TBC ESPINAL O MAL DE POTT.
Es la mas frecuente infección granulomatosa de la columna. (33).
Se produce por diseminación hematógena de un foco pulmonar o genitourinario, el segmento dorsolumbar es el mas afectado y su curso clínico es mas crónico. (33, 34).
Diferenciar por imágenes la espondilodisquitis piógena de la producida por TBC, es imposible, pero hay signos que pueden ayudar. (34).

Fig 145. Mal de Pott.
A: Rx lateral. Defecto en la parte postero-inferior del cuerpo vertebral.
B: TAC reconstrucción sagital y C: TAC axial. Erosión en la parte posterior de la placa inferior (Flechas delgadas) con masa de tejidos blandos (Flechas gruesas), por espondilodisquitis.

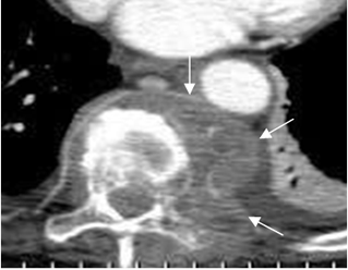
Fig 146. Absceso TBC.
TAC axial. Gran colección paraespinal izquierda, que desplaza la aorta y ensancha el mediastino, por absceso TBC.

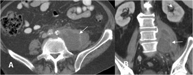
Fig 147 A. Absceso psoas.
A: TAC axial y B: TAC reconstrucción coronal. Colección en el psoas izquierdo, cuyos bordes captan el contraste, por absceso.
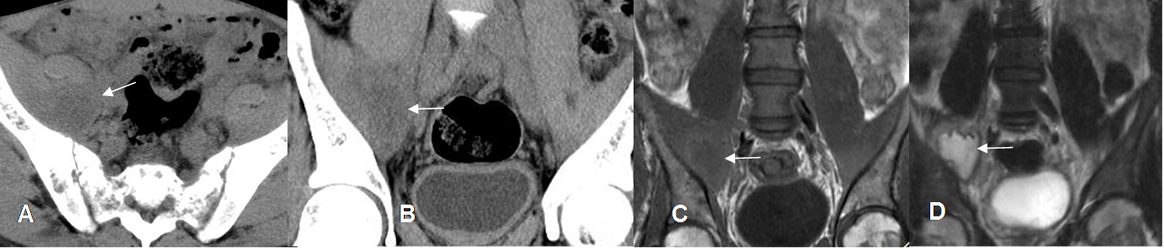
Fig 147 B. Absceso del psoas.
A: TAC axial, B: TAC reconstrucción coronal, C: RM coronal en T2y D: RM coronal en T1. Engrosamiento del músculo iliopsoas, con imagen hipointensa en la TAC, hipointensa en T1 e hiperintensa en T2, que corresponde a absceso del psoas.

Fig 147 C. Espondilodisquitis TBC.
A: Rx lateral. Gran pérdida de altura en el cuerpo de L1.
B: RM sagital en T1 y B: RM sagital en T2. Adicional al aplastamiento de L1, (Flecha delgada), se encuentran cambios inflamatorios en D12, L2 y L3. el compromiso de varios cuerpos hace sospechar etiología TBC, que se confirmó.

Fig 147 D. Espondilodisquitis TBC. Igual paciente anterior.
A: RM axial en T1 simple y B: RM axial en T1 con contraste. Cambios inflamatorios en el cuerpo vertebral, con masas de tejidos blandos paravertebral, las cuales realzan con el contraste, por espondilodisquitis TBC. No hay compromiso del saco dural.
| Fecha de creación | Marzo 1 de 2011 |
| Fecha de actualización | Septiembre 7, 2013 |