ESPONDILODISQUITIS.
Hay muchas patologías que comprometen el disco y las placas terminales y pueden confundirse con infección. Incluyen cambios degenerativos del disco, osteocondrosis, artropatía neuropática, algunos tumores, etc. (31).
La espondilodisquitis corresponde al proceso infeccioso, que afecta el disco intervertebral.
Su clínica es inespecífica y generalmente no se incluye en el diagnóstico diferencial inicial. (32).
Hay 2 picos de aparición, uno en la 2º década y otro entre la 6º y 7º décadas. (32).
Por las características de su distribución vascular, los niños tienen predisposición para desarrollar disquitis y los adultos osteomielitis de las placas terminales. (33).
La principal ruta de diseminación es la hematógena, proveniente de un foco urinario, cutáneo o de tejidos blandos (32) y los cambios empiezan en la región anterolateral del cuerpo, que es la región mas vascularizada. (33, 34).
También hay otros mecanismos como la continuidad o inoculación directa después de cirugía, trauma, punción, etc, siendo el germen mas común es el Estafilococo Aureus. (33).
Es más frecuente en los segmentos lumbares y la afectación de los elementos posteriores es raro. (32).
En el compromiso cervical casi siempre están afectados 3 o mas espacios y en el dorsolumbar generalmente es uno solo, con compromiso de las 2 vértebras adyacentes. (31, 33, 34).
Por imágenes la disminución del espacio intervertebral es un signo temprano de infección, que precede a la erosión de las placas terminales. (34).
La destrucción de las placas terminales es un hallazgo típico de infección. (31). (Fig 138 A y B).
En TAC los cambios iniciales pueden pasar desapercibidos, por el efecto del volumen parcial de los cortes axiales, que se evita realizando reconstrucciones sagitales y coronales. (34).

Fig 138 A. Espondilodisquitis.
A: Rx lateral. Disminución de algunos espacios intervertebrales. En la parte inferior de L3, hay erosión de la placa terminal.
B: TAC axial en ventana de tejido, C: TAC axial en ventano ósea y D: TAC reconstrucción coronal. Destrucción de la placa terminal inferior de L3, con masa de tejidos blandos y que corresponde a espondilodisquitis.

Fig 138 B. Espondilodisquitis.
A: TAC reconstrucción sagital y B: TAC reconstrucción coronal. Disminución del espacio intervertebral, con erosión de las placas terminales.
Con la RM el espacio intervertebral puede ser normal o disminuido. Puede encontrarse aumento, ante la formación de un absceso. (31).
El disco es isointenso en T1, hiperintenso en T2 y con realce periférico del contraste. La ausencia de la hendidura discal es muy sugestiva de infección, sobre todo en el segmento lumbar. (31).
La destrucción y el colapso vertebral, se caracteriza por ser hipointenso en T1 e hiperintenso en T2 y que realza con del contraste. (33). (Fig 139).
Otro signo característico de la espondilodisquitis, es la extensión paraespinal y epidural, de los cambios inflamatorios. La ausencia de estos hallazgos, excluyen la infección. (31, 57). (Fig 140 A y B).

Fig 139. Espondilodisquitis.
A: Rx lateral. Disminución en la amplitud del espacio intervertebral, por espondilodisquitis.
B: RM sagital en T2, C: RM sagital en T1 y D: RM sagital en T1 con contraste. Adicional a la disminución del espacio, se aprecia alteración en la señal de las placas terminales, las cuales son hiperintensas en T2, hipointensas en T1 y realzan con el contraste.

Fig 140 A. Espondilodisquitis.
A: RM axial en T1 y B: RM axial en T1 con contraste. Alteración en la señal del disco por proceso infeccioso, con masa de tejidos blandos, que realzan con el contraste.

Fig 140 B. Espondilodisquitis.
A: RM sagital en T1. Alteración en la señal del disco y las placas terminales, con masa de tejidos blandos que ocupa el canal.
B: RM sagital y C: RM axial en T1 con contraste. Realce oseo y de la masa de tejidos blandos, de forma homogénea, que corresponde a flemón y ocupa el espacio epidural.
El principal diagnóstico diferencial de la espondilodisquitis es la enfermedad degenerativa, con cambios Modic tipo I en las placas terminales, especialmente en pacientes afebriles o cuya información clínica, no lo hace sospechar. Generalmente en la patología degenerativa, el disco es hipointenso y en la disquitis hiperintenso. (57). (Fig 141 A, B y C).
Otros signos secundarios son la estabilidad en el tiempo, la ausencia de cambios inflamatorios en los tejidos blandos y peridural, falta de destrucción de las placas y la ausencia de realce del contraste del disco y las placas terminales. (57).
Encontrar fenómeno del vació hace muy poco probable la presencia de infección, aunque puede verse en casos de la producida por bacterias productoras de gas o fistula entérica asociada. Su desaparición, puede ser la clave diagnosticar una espondilodisquitis. (57). (Fig 141 D y E).
El fenómeno del vacío y la ausencia de erosión en las placas terminales, es mejor vista en TAC, que con RM. (57).

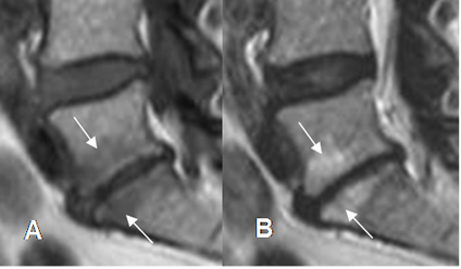
Fig 141 A. Diferencial de espondilodisquitis.
A: RM sagital en T1 y B: RM sagital en T2. Cambios degenerativos Modic tipo 1, en las placas terminales de L5-S1, siendo hipointensas en T1 e hiperintensas en T2. (Flechas delgadas). El disco es hipointenso en T2. (Flecha gruesa).

Fig 141 B. Diferencial de espondilodisquitis.
A: RM sagital en T1, B: RM sagital en T2 y C: RM sagital en STIR. Cambios inflamatorios en las placas terminales de L5-S1, Las cuales son hipointensas en T1 e hiperintensas en T2 y STIR. (Flechas).

Fig 141 C. Diferencial de espondilodisquitis. Igual paciente anterior.
A: RM sagital en T2, B: RM sagital en T1 simple y C: RM sagital en T1 con contraste.
Cambios inflamatorios en la porción anterior del disco, siendo hiperintensa en T2 y con realce del contraste, por espondilodisquitis.

Fig 141 D. Espondilodisquitis. Tomado referencia 57.
A: Rx lateral. Fenómeno del vacío en L4-L5, por degeneración del disco.
B: Rx lateral. Desaparición del aire intervertebral y osteolisis de las placas terminales, por espondilodisquitis.

Fig 141 E. Espondilodisquitis. Tomado referencia 57. Igual paciente anterior.
A: RM sagital en STIR. Edema óseo en los cuerpos vertebrales y liquido sobre el disco intervertebral, por espondilodisquitis.
B: RM sagital en T1 con contraste. Realce de los cuerpos vertebrales, las placas terminales (Flecha delgada) y los tejidos blandos prevertebrales (Flecha gruesa), por proceso infeccioso.
Una lesión epidural es una urgencia Qx, si se acompaña de déficit neurológico. (33).
Diagnosticar el compromiso de la grasa peridural es difícil, si no se realizan secuencias en STIR. El flemón tiene señal heterogénea en T1 y T2 y realza de forma homogénea con el contraste. El absceso tiene realce solo de su periferia. (33). (Fig 142, 142A, 142B, 143A, 143B, 143C, 143D y 144).
Como secuelas se pueden encontrar pérdida del espacio intervertebral, esclerosis y colapso vertebral, cifosis, escoliosis y fusión. (33).

Fig 142. Absceso epidural.
A: RM sagital en T2, B: RM Sagital en STIR y C: RM sagital en T1 con contraste. Pequeña colección hiperintensa en T2 y STIR, con realce heterogéneo del contraste, que comprime anteriormente el saco dural.

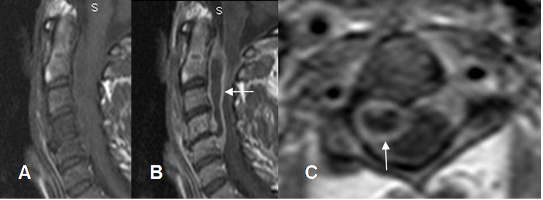
Fig 142 A. Empiema epidural.
A: RM sagital en T2, B: RM sagital en STIR y C: RM axial en T2. Espondilodisquitis C4-C5, con disminución del espacio intervertebral. Se encuentra colección epidural entre C2 y C5 que comprime el saco dural (Flechas delgadas) y prevertebral (Flechas gruesas). Adicionalmente hay hiperintensidad medular, por mielopatía secundaria. (Puntas de flecha).

Fig 142 B. Empiema epidural.
A: RM sagital en T1 simple, B: RM sagital en T1 y C: RM axial en T1 con contraste. Igual paciente anterior. Espondilodisquitis C4-C5, con colección epidural cuyos bordes realzan con el contraste y comprime el saco dural.

Fig 143 A. Osteomielitis aguda.
A: Rx lateral y B: TAC axial. Herida por arma de fuego, con proyectil localizado hacia el lado izquierdo del arco anterior de C1.

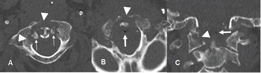
Fig 143 B. Absceso epidural.
A y B: TAC axial. C: TAC reconstrucción coronal. Igual paciente anterior. Mala evolución clínica, con fiebre y sepsis. En el TAC de control se encuentra osteolisis del arco anterior y el lado derecho de C1 y la odontoides, por osteomielitis. (Puntas de flecha). Hay fragmentos óseos libres dentro del canal. (Flechas delgadas). Adicionalmente existen burbujas de aire dentro del canal, por la formación de absceso. (Flechas gruesas).

Fig 143 C. Absceso epidural.
A: RM sagital en T1 y B: RM sagital en T2. Igual paciente anterior. Alteración en la señal del arco anterior de C1 y la odontoides, por osteomielitis. (Flechas delgadas). Se encuentra colección epidural por detrás de la odontoides, que comprime la unión craneoespinal. (Flechas gruesas). Además hay hiperintensidad en T2 del bulbo y la medula, por isquemia. (Puntas de flecha).
C: RM sagital en T1 con contraste. Realce del contraste en el complejo C1-C2, los tejidos blandos prevertebrales, los bordes del empiema epidural y las meninges.

Fig 143 D. Absceso epidural.
A: RM axial en T2, B: RM axial en T1 y C: RM axial en T1 con contraste. Igual paciente anterior. Colección epidural que comprime la parte anterior del saco, hiperintensa en T2, hipointensa en T1 y con realce posterior de las meninges, por empiema. (Flecha delgada).
El principal signo de respuesta al tratamiento, es la disminución de la masa de tejidos blandos. (32). También se observa disminución del realce del contraste, aunque este puede persistir por semanas o meses. (33, 34). (Fig 144).

Fig 144. Seguimiento de espondilodisquitis.
A y B: RM sagital en T1 con contraste. Espondilodisquitis con realce de los cuerpos vertebrales y tejidos blandos, que se extiende al canal medular. Después de 4 semanas, se aprecia disminución del realce del contraste, aunque persiste la lesión peridural, que rodea y comprime la medula.
La progresión en la destrucción ósea o discal, no indica necesariamente falla en el tratamiento. (34).
En la completa curación se recobra la señal ósea o puede aparecer fibrosis, hipointensa en ambas secuencias. También desaparece el realce del contraste. (33).
Diagnóstico diferencial de la espondilodisquitis: (33).

Fig 148. Lesión tumoral.
A: RM sagital en T2, B: RM sagital en T1 y C: RM sagital en T1 con contraste.
Lesión metastásica de neoplasia pulmonar, con placas terminales hipointensas en T1 y T2 y que realzan con el contraste de manera heterogénea (Flechas delgadas). El disco permanece hipointenso en T2 y no realza con el contraste (Flechas gruesas), lo que descarta el compromiso infeccioso.

Fig 149. Cambios degenerativos.
A: RM sagital en T1 y B: RM sagital en T2. Cambios degenerativos en las placas terminales, hipointensos en T1 e hiperintensos en T2. El disco ha perdido altura y es hipointenso.
| Fecha de creación | Marzo 1 de 2011 |
| Fecha de actualización | Septiembre 7, 2013 |