HERNIA DE DISCO.
Las lesiones del disco intervertebral, son causas muy frecuentes de dolor de espalda y ciática. (20).
La hernia se define como un desplazamiento localizado del disco, mas allá del espacio intervertebral. (4).
La compresión radicular por hernia de disco, produce dolor lumbar con irradiación a la extremidad, que sigue un dermatoma determinado. (21).
El dolor se aumenta con la flexión y las maniobras de valsalva. La columna se rectifica y pierde movilidad por espasmo muscular. (21). (Fig 81).

Fig 81. Espasmo muscular.
A: Rx lateral cervical y B: Rx lateral lumbar. Pérdida de la lordosis cervical y lumbar, por espasmo muscular.
El verdadero dolor radicular se asocia con parestesias, debilidad muscular e hiporeflexia. (21).
No hay correlación entre el tamaño de la hernia y la magnitud de los síntomas. La amplitud y forma del canal, si se relaciona con el tamaño de la herniación y la severidad de los síntomas. (21).
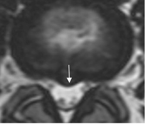
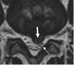
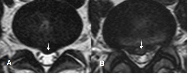
El efecto de masa y la compresión de las raíces nerviosas, no son los únicos responsables de la radiculopatía. La inflamación, factores inmunológicos y cambios vasculares, son factores que contribuyen al dolor. (20). (Fig 82 y 83).

Fig 82. Efecto de hernia.
RM axial en T2. Prominencia asimétrica sin contacto con las raíces y que ¨teóricamente¨, no debe ocasionar síntomas.

Fig 83. Efecto de hernia.
RM axial en T2. Prominencia asimétrica (Flecha gruesa), que desplaza y comprime las raíces posteriormente. (Flecha delgada).
Existen muchas nomenclaturas y clasificaciones de las hernias, que causan confusión y en ocasiones dificultan reproducir los hallazgos por imágenes y quirúrgicos. (22).
Clasificación de las hernias según el contorno del disco y el grado de extensión sobre el reborde vertebral: (4, 22, 23). (Fig 90).

Fig 84. Prominencia del disco.
A: TAC axial y B: TAC reconstrucción sagital. El disco supera los bordes de la vértebra, de forma simétrica, por prominencia.

Fig 85. Prominencia del disco.
A: RM axial y B: RM sagital en T2. Disco hipointenso por degeneración, el cual supera los bordes de la vértebra de forma simétrica, por prominencia.

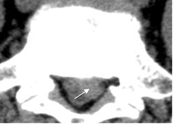
Fig 86. Hernia de disco.
A: TAC axial y B: RM axial en T1. Prominencia asimétrica en contacto con el saco dural, borra la grasa epidural y comprime la raíz, que corresponde a protrusión.

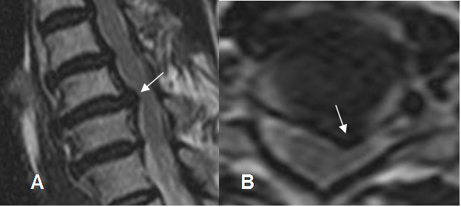
Fig 87. Hernia extruida.
A y B: RM sagital en T2. Protrusiones del disco, con desplazamiento inferior de los fragmentos.

Fig 88. Hernia extruida.
TAC axial: Hernia en el lado izquierdo por debajo del nivel del disco, por fragmento extruido.

Fig 89. Secuestro.
A y B: RM sagital en T2. Fragmentos de hernia sueltos dentro del canal, por secuestro.

Fig 90. Diagrama sobre la patología del disco.
A: Prominencia difusa del disco.
B: Hernia de disco.
C: Fragmento de hernia migrado.
El término herniación incluye la protrusión y la extrusión. (22).
Hay una alta prevalencia de anormalidades en el disco como prominencia, protrusión focal y ruptura del anulus en pacientes asintomáticos. (23).
Cuando la parte anterior del disco no sobrepasa el borde vertebral y el posterior si, no puede catalogarse como prominencia, si no como protrusión. (22).
En la Rx simple puede detectarse una hernia con una placa de excelente calidad, por desplazamiento de la grasa epidural o del ligamento vertebral posterior calcificado. Puede sospecharse una hernia por disminución del espacio intervertebral, en ausencia de otros signos de discopatía crónica. (22). (Fig 91 y 92).

Fig 91. Hernia calcificada.
A: Rx lateral y B: TAC reconstrucción sagital. Prominencia y calcificación en la parte posterior, del disco L4-L5.
C: TAC axial. Prominencia asimétrica que borra la grasa del receso lateral y el agujero de conjunción, por hernia calcificada.

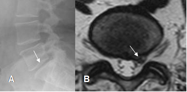
Fig 92. Hernia.
A: Rx lateral. Leve disminución del espacio L5-S1, sin otros cambios degenerativos.
B: RM axial en T2. Hernia que ocupa el receso lateral izquierdo, que desplaza y comprime las raíces.
La hernia de disco desplaza la grasa, el nervio o el saco dural. Tanto la RM como el TAC tienen semejante sensibilidad para su detección. (24).
La TAC permite identificar mejor las calcificaciones del material desplazado y el fenómeno del vacío y la RM es la modalidad no invasiva de elección, ya que permite evaluar mejor las características del disco e incluye vistas sagitales. (22).
En el segmento cervical una hernia produce desplazamiento posterior del ligamento longitudinal posterior y la dura, comprime el saco dural y debe ser diferenciada de un osteofito. (13). (Fig 93 y 94).

Fig 93. Hernia de disco.
A: RM sagital en T2 y B: RM sagital en GE. Protrusiones del disco, que indentan el saco dural. (Flechas gruesas). Adicionalmente se aprecian osteofitos anteriores y posteriores. (Flechas delgadas).

Fig 94. Osteofito cervical.
A: RM axial y B: RM sagital en T2. Ocupación del receso lateral izquierdo, por imagen hipointensa que desplaza la raíz.
C: RM sagital en GE. La compresión es ocasionada por osteofito, pudiendo identificar su cortical.
En un corte axial de TAC o RM, las hernias pueden clasificarse según su localización en: (22).

Fig 95. Hernia mediana.
A y B: TAC axial. Prominencias asimétricas, a nivel central que comprimen el saco dural.

Fig 96. Hernia mediana.
A y B: RM axial en T2. Prominencias asimétricas, a nivel central que comprimen el saco dural.

Fig 97. Hernia mediana.
A: RM axial y B: RM sagital en T2. Prominencia asimétrica central, que indenta el saco dural y corresponde a hernia. (Flecha delgada). Existe canal estrecho asociado y en el segmento inferior, una prominencia difusa del disco. (Flecha gruesa).

Fig 98. Hernia mediana.
A: RM sagital en T2 y B: Mielografía por RM. Hernia mediana (Flecha delgada) y canal estrecho (Flecha gruesa), cuyas compresiones anterior y posterior, se confirman con la mieloRM. El disco afectado ha perdido altura y se asocia a cambios degenerativos en las placas terminales.

Fig 99. Hernia paramediana.
A y B: TAC axial. Imágenes con densidad de tejidos blandos que ocupan el receso lateral, comprimen las raíces nerviosas y corresponden a hernias paramedianas.

Fig 100. Hernia paramediana.
A y B: RM axial en T2. Imágenes con densidad de tejidos blandos que ocupan el receso lateral, comprimen las raíces nerviosas y corresponden a hernias paramedianas.

Fig 101. Hernia paramediana.
A: RM sagital y B: RM axial en T2. Prominencia asimétrica paramediana izquierda, que corresponde a hernia. Adicionalmente hay canal estrecho asociado.

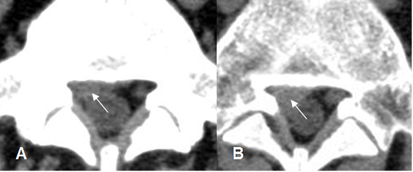
Fig 102. Hernia foraminal.
A y B: TAC axial. Obliteración de la grasa foraminal, con imágenes con densidad de tejido blando, que corresponden a hernias.

Fig 103. Hernia foraminal.
A: RM axial en T2 y B: RM axial en T1. Obliteración de la grasa foraminal, con imágenes con densidad de tejido blando, que corresponden a hernias.

Fig 104. Hernia extraforaminal.
RM axial en T2. Prominencia asimétrica delante del agujero de conjunción, por hernia extraforaminal.

Fig 105. Hernia anterior.
A: RM axial y B: RM sagital en T2. Prominencia asimétrica anterior, que corresponde a hernia.
Es muy importante definir bien la localización, para hacer una buena correlación clínica.
Una hernia cervical en C5-C6 afecta:

Una hernia lumbar en L4-L5, la localización mas frecuente afecta:

La regresión espontánea de las hernias ha sido descrita. Su exacto mecanismo no es bien conocido, pero están implicadas la reabsorción, la deshidratación y la fagocitosis del material del herniado. Se ha visto que las hernias mas grandes, son las que mas regresionan. (25).
Radiológicamente se manifiesta por reaparición de la grasa peridural que rodea el saco dural y las raíces. (21). (Fig 108 a 110).
La fibrosis peritecal es otra complicación de la hernia de disco y se relaciona con la larga compresión de la raíz nerviosa. (25). (Fig 111).
La recurrencia de hernia, es una de las causas mas frecuentes de mal resultado operatorio. Clínicamente hay reaparición del déficit motor y sensitivo. (26). (Fig 112).

Fig 107. Diagrama hernia de disco en el espacio L4-L5.
Rojo: Hernia foraminal, que irrita L4.
Azul: Hernia paramediana derecha, comprimiendo L5.
Amarillo: Hernia mediana, afectando S1.

Fig 108. Regresión de hernia.
A y B: RM sagital en GE. Hernia paramediana derecha. En un control 2 años después, ha disminuido la compresión del saco dural.

Fig 109. Regresión de hernia.
A y B: RM axial en T2. Hernia paramediana derecha. En un control posterior, ha disminuido el tamaño y la compresión de las raíces.

Fig 110. Regresión de hernia.
A y B: RM sagital en T2. Hernia mediana en L3-L4, que después de 7 meses, muestra disminución de su tamaño y menor compresión del saco dural. Cambios degenerativos en las placas terminales de L3-L4 y
L4-L5 y artefactos sobre el cuerpo de L4, ocasionados por materia de fijación posterior. (Puntas de flecha).

Fig 111. Retracción.
RM axial en T2. Laminectomía derecha, con fibrosis y retracción del saco dural y las raíces hacia la izquierda. (Flechas delgadas). Se aprecia engrosamiento de la raíz derecha. (Flecha gruesa).

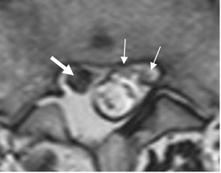
Fig 112. Recidiva de hernia.
A: RM axial en T2. Presencia de hernia paramediana izquierda.
B: RM axial en T2. Laminectomía izquierda, con escasa cantidad de líquido. (Flecha gruesa).
Después de un esfuerzo hay reaparición de los síntomas y formación de una nueva hernia, mas grande que la inicial. (Flecha delgada).
La degeneración del disco según el método de Pfirrmann, se gradúa en T2 así: (26). (Fig 113).
Los discos con una altura normal previa a la cirugía (Grados I a III) tienen mayor riesgo de recurrencia de hernia, que los que tienen cambios degenerativos severos. (Grados IV y V). (26).

Fig 113. Tipos de degeneración del disco.
A: RM axial en T2. Disco con diferenciación entre el núcleo pulposo y el anillo fibroso.
B: RM axial en T2. Disminución en la señal del núcleo pulposo, persistiendo banda hipointensa central.
C: RM axial en T2. Zona central del disco con señal intermedia.
D: RM axial en T2. Disco hipointenso, sin poder diferenciar el núcleo pulposo del anillo fibroso.
E: RM axial en T2. Disco hipointenso, con pérdida del espacio.
En B existe una hernia extruida y en C y D, una hernia central.
| Fecha de creación | Marzo 1 de 2011 |
| Fecha de actualización | Agosto 13, 2013 |